Kim Sa
13/10/2024
Mặc định
Lớn hơn
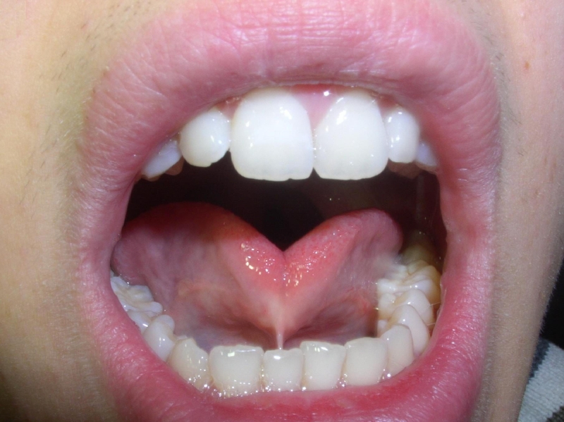
Hình ảnh dính thắng lưỡi ở trẻ em là một bệnh lý bẩm sinh ngày càng thu hút sự quan tâm của các bậc phụ huynh. Đây không chỉ là một vấn đề tác động đến chất lượng cuộc sống mà còn tác động đến sự phát triển toàn diện của trẻ. Vậy hình ảnh dính thắng lưỡi là gì? Hãy cùng chúng tôi tìm hiểu rõ ràng hơn về vấn đề này nhé!
Dính thắng lưỡi là một bệnh lý thường gặp ở trẻ sơ sinh, có thể nhận biết qua mắt thường. Dính thắng lưỡi không gây nguy hiểm cho trẻ tuy nhiên việc dính thắng lưỡi mang lại sự khó chịu về mặt vật lý, có thể gây ảnh hưởng tiêu cực đến khía cạnh tâm lý và tinh thần của trẻ nhỏ, ảnh hưởng đến quá trình học tập và giao tiếp xã hội cũng như gây khó khăn trong hoạt động sinh hoạt hằng ngày của trẻ. Bài viết này sẽ cung cấp hình ảnh dính thắng lưỡi, nguyên nhân cũng như giải pháp về bệnh lý này nhé!
Dính thắng lưỡi là một loại dị tật bẩm sinh xảy ra khi tình trạng phần mô ở dưới đầu lưỡi gắn với sàn miệng quá ngắn, quá dày hoặc dính quá chặt khiến cho cử động của đầu lưỡi bị bất thường. Sự hình thành hình ảnh dính thắng lưỡi có liên quan đến yếu tố di truyền từ ông bà, cha mẹ.

Trong những năm đầu đời, phần đầu lưỡi sẽ dần dần tự tách ra như bình thường và không gây ra vấn đề gì. Tuy nhiên cũng có trường hợp phần đầu lưỡi không trở nên bình thường mà ảnh hưởng đến khả năng ăn và nói của trẻ. Dưới đây là một số dấu hiệu cho thấy bé bị dính thắng lưỡi mà các bậc cha mẹ cần chú ý:
Mặc dù dính thắng lưỡi ở trẻ không gây nguy hiểm đến tính mạng nhưng nó gây ra những khó khăn, cản trở trong các hoạt động sinh hoạt, vui chơi của bé. Sau đây là những ảnh hưởng mà tật dính thắng lưỡi gây nên ở trẻ.
Đối với trẻ đang trong giai đoạn bú sữa mẹ, bé gặp khó khăn trong việc ngậm núm vú mẹ đúng cách, từ đó dẫn đến bé quấy khóc cắn mẹ thay vì mút vú gây đau núm vú mẹ. Nếu để tình trạng này kéo dài, bé sẽ không đủ dưỡng chất cho sự phát triển toàn diện dẫn đến bé biếng ăn, tăng cân chậm hoặc không tăng cân nguy cơ mắc các bệnh suy dinh dưỡng cao.

Lưỡi đóng một vai trò quan trọng trong việc nhai, nuốt thức ăn, phát ra âm thanh, nói chuyện giao tiếp. Tuy nhiên những em bé mắc tật dính lưỡi gặp khó khăn trong việc cử động lưỡi một cách linh hoạt vì vậy bé sẽ khó có thể phát âm chuẩn những từ cần uốn cong lưỡi hoặc lè lưỡi như “r, l, t, ch,...”. Đặc biệt khi trẻ cần diễn đạt một câu dài, phức tạp, bé không có khả năng nói một cách rõ ràng, khi nói hơi sẽ luồn sang hai bên má.
Phanh lưỡi ngắn có thể gây co kéo dễ tụt lợi và gây viêm ở mặt trong răng cửa hàm dưới. Trong giai đoạn mọc răng, dính thắng lưỡi có thể gây hở kẽ răng cửa trên hoặc làm nghiêng răng cửa dưới. Bên cạnh đó, trẻ mắc tật dính thắng lưỡi dễ mắc các bệnh về răng miệng như sâu răng, viêm nướu, viêm tủy răng, răng dễ bị ố vàng,... bởi lưỡi trẻ ngắn gặp khó khăn trong việc dùng lưỡi làm sạch các mảnh vụn thức ăn còn sót trên răng.

Khi trẻ mắc tình trạng dính thắng lưỡi không chỉ gây cảm giác khó chịu về mặt thể chất mà còn là mối quan tâm lớn của bậc phụ huynh. Tình trạng này không chỉ ảnh hưởng đến khả năng nói và ăn của trẻ mà còn có thể tác động đến sự phát triển toàn diện của bé. Sau đây là một số giải pháp điều trị tật dính thắng lưỡi mà các bậc cha mẹ cần lưu ý.
Giải pháp này được khuyến cáo trong trường hợp thắng lưỡi quá dày. Bước đầu tiên bác sĩ thực hiện gây mê toàn thân, giải phóng thắng lưỡi và cuối cùng khâu vết thương lại bằng chỉ tan. Phẫu thuật tạo hình này cũng có thể gây chảy máu, nhiễm trùng, tổn thương tuyến nước bọt cũng như tổn thương lưỡi.
Phẫu thuật cắt thắng lưỡi là một phương pháp đơn giản hiệu quả giúp điều trị hiệu quả dị tật bẩm sinh này có thể gây tê hoặc không, không gây biến chứng cho trẻ. Phẫu thuật này diễn ra khá nhanh chóng trong thời gian khoảng 5 phút, ít gây khó chịu cho bé bởi trong thắng lưỡi của bé không chứa nhiều mạch máu cũng như dây thần kinh. Bé có thể bú ngay sau khi phẫu thuật. Cũng tương tự như tạo hình thắng lưỡi, cắt thắng lưỡi cũng gây nên nhiễm trùng, tổn thương lưỡi, tuyến nước bọt, thậm chí trong vài trường hợp có thể để lại sẹo.

Phương pháp điều trị dính thắng lưỡi ở trẻ em tùy thuộc vào mức độ nghiêm trọng của tình trạng và tuổi của trẻ. Hiện nay, cắt thắng lưỡi được xem là giải pháp hiệu quả nhất để điều trị tật bẩm sinh này. Bác sĩ sẽ sử dụng các kỹ thuật và phương pháp phù hợp để thực hiện quá trình cắt thắng lưỡi cho từng độ tuổi khác nhau.
Sau khi trải qua phẫu thuật cắt thắng lưỡi, việc chăm sóc bé một cách đúng đắn là yếu tố quan trọng để đảm bảo quá trình hồi phục diễn ra suôn sẻ và an toàn. Đây không chỉ là một bước quan trọng trong hành trình chăm sóc sức khỏe của bé mà còn đòi hỏi sự hiểu biết sâu sắc về cách chăm sóc vùng phẫu thuật và tạo điều kiện thuận lợi cho quá trình phục hồi. Chúng ta sẽ cùng nhau tìm hiểu về các phương pháp chăm sóc bé đúng cách sau khi phẫu thuật cắt thắng lưỡi, nhằm mang lại sự an tâm và chăm sóc tối ưu cho sự phục hồi của bé:

Trong bài viết này, chúng ta đã tìm hiểu về hình ảnh dính thắng lưỡi ở trẻ em, từ việc định nghĩa đến những ảnh hưởng mà nó gây ra. Dính thắng lưỡi không chỉ là một vấn đề ảnh hưởng về mặt thể chất mà còn ảnh hưởng về sức khỏe tâm lý và phát triển tổng thể của trẻ. Mặc dù không đe dọa tính mạng, nhưng nó có thể tạo ra những thách thức đáng kể đối với chất lượng cuộc sống hàng ngày của trẻ. Quan trọng nhất là sự chăm sóc đúng đắn và hiệu quả, hỗ trợ từ phía gia đình, sẽ giúp trẻ vượt qua những khó khăn và phục hồi một cách toàn diện.
Xem thêm: Dấu hiệu phân biệt lưỡi bình thường và dính thắng lưỡi