• Thực phẩm chức năng

  • Dược mỹ phẩm

  • Thuốc

  • Chăm sóc cá nhân

  • Thiết bị y tế

  • Tiêm chủng

  • Bệnh & Góc sức khỏe

  • Hệ thống nhà thuốc

    1. /
    2. Góc sức khỏe/
    3. Phòng bệnh & Sống khoẻ/
    4. Kiến thức y khoa

    Hình ảnh viêm tụy cấp trên CT và những điều bạn cần biết

    Thùy Linh

    18/02/2025

    Kích thước chữ

    Viêm tụy cấp là một bệnh lý nghiêm trọng, có thể gây ra các biến chứng nguy hiểm nếu không được chẩn đoán và điều trị kịp thời. Một trong những phương pháp quan trọng giúp xác định mức độ tổn thương của tuyến tụy là chụp cắt lớp vi tính (CT). Nhờ vào hình ảnh viêm tụy cấp trên CT, bác sĩ có thể đánh giá chính xác tình trạng viêm, mức độ tổn thương và có hướng điều trị phù hợp nhất.

    Hình ảnh CT không chỉ giúp phân biệt viêm tụy cấp với các bệnh lý khác mà còn hỗ trợ phát hiện các biến chứng như hoại tử tụy, áp xe hoặc tràn dịch trong ổ bụng. Trong bài viết này, chúng ta sẽ tìm hiểu chi tiết về cách hình ảnh viêm tụy cấp trên CT giúp bác sĩ chẩn đoán, những đặc điểm điển hình trên phim chụp, cũng như các phương pháp hỗ trợ điều trị bệnh lý này.

    Nguyên nhân gây viêm tụy cấp

    Viêm tụy cấp xảy ra khi tuyến tụy bị viêm đột ngột do nhiều nguyên nhân khác nhau. Một số nguyên nhân phổ biến có thể kể đến như sỏi mật, lạm dụng rượu bia, tăng triglyceride máu, tăng calci máu, tác dụng phụ của một số loại thuốc, nhiễm trùng một số virus và vi khuẩn (virus quai bị, Cytomegalovirus (CMV), virus viêm gan, vi khuẩn Mycoplasma pneumoniae), tắc nghẽn ống tụy, chấn thương,...

    Hình ảnh viêm tụy cấp trên CT và những điều bạn cần biết 1
    Sỏi mật là một trong những nguyên nhân phổ biến gây viêm tụy cấp

    Tình trạng viêm tụy cấp có thể nhẹ hoặc nặng, tùy vào mức độ tổn thương và biến chứng kèm theo. Theo Hướng dẫn của Hội Tiêu hóa Hoa Kỳ (ACG) năm 2013, siêu âm bụng là phương pháp hình ảnh đầu tay để phát hiện nguyên nhân (như sỏi mật), trong khi CT được sử dụng khi có dấu hiệu nặng lên hoặc nghi ngờ hoại tử tụy.

    Theo Tạp chí Tạp chí X-quang học Hoa Kỳ (American Journal of Roentgenology - AJR), tỷ lệ mắc viêm tụy cấp tính là khoảng 5-70 trường hợp trên 100.000 người mỗi năm. Sỏi mật và rượu là nguyên nhân gây ra khoảng 70% các trường hợp. Trong số những bệnh nhân bị sỏi mật, viêm tụy cấp tính có tỷ lệ mắc ở nam giới cao hơn ở nữ giới, nhưng nhìn chung, viêm tụy cấp tính do sỏi mật thường gặp nhất ở phụ nữ (thường ở độ tuổi từ 40 đến 50).

    Sỏi mật và nghiện rượu có liên quan đến sự phát triển của các cơn viêm tụy cấp tính tái phát. Người ta đã quan sát thấy trong một nhóm đối tượng rằng chỉ những bệnh nhân nghiện rượu mới tiến triển từ viêm tụy cấp tính sang mãn tính. Trong nhóm này, cơn viêm tụy cấp tính thứ hai có liên quan đến tỷ lệ mắc viêm tụy mãn tính là 38%. Tỷ lệ viêm tụy cấp đang gia tăng và số ca nhập viện đã tăng 100% trong hai thập kỷ qua đã được ghi nhận tại Hoa Kỳ. Xu hướng này có thể là do tuổi tác ngày càng tăng của dân số và mức tiêu thụ rượu ngày càng tăng, nhưng tỷ lệ tử vong đã dần ổn định hơn.

    Hình ảnh viêm tụy cấp trên CT và những điều bạn cần biết 2
    Nghiện rượu có liên quan đến sự phát triển của các cơn viêm tụy cấp tính tái phát

    Hình ảnh viêm tụy cấp trên CT trông như thế nào?

    Chụp cắt lớp vi tính (CT scan) được coi là phương pháp hiệu quả nhất trong chẩn đoán viêm tụy cấp. Hình ảnh viêm tụy cấp trên CT thường có những đặc điểm điển hình sau:

    Dấu hiệu viêm tụy cấp trên CT không cản quang:

    • Tuyến tụy sưng to: Một trong những dấu hiệu sớm của viêm tụy cấp là kích thước tuyến tụy lớn hơn bình thường.
    • Giảm đậm độ nhu mô tụy: Trong viêm tụy cấp, nhu mô tụy có thể bị phù nề, làm giảm đậm độ trên hình ảnh CT.
    • Mỡ quanh tụy bị viêm: Có thể thấy mỡ xung quanh tụy trở nên mờ hoặc có dấu hiệu thâm nhiễm.

    Dấu hiệu viêm tụy cấp trên CT có cản quang:

    • Mất sự bắt thuốc của nhu mô tụy: Nếu có vùng không bắt thuốc cản quang, đó có thể là dấu hiệu của hoại tử tụy.
    • Dịch tụ hoặc tụ dịch quanh tụy: CT có thể cho thấy sự xuất hiện của dịch tự do xung quanh tuyến tụy, trong khoang sau phúc mạc hoặc ổ bụng.
    • Hình ảnh viêm lan rộng: Viêm tụy cấp nặng có thể dẫn đến tổn thương lan tỏa, gây ảnh hưởng đến các cơ quan lân cận.
    Hình ảnh viêm tụy cấp trên CT và những điều bạn cần biết 3
    Hình ảnh CT của một người đàn ông 35 tuổi bị viêm tụy cấp tính trên nền mạn tính do lạm dụng rượu

    Ở hình bên trái, hình ảnh CT pha đối chứng cho thấy một số vôi hóa ở đầu tụy (mũi tên) gợi ý viêm tụy mãn tính.

    Ở hình bên phải, hình ảnh CT tăng cường độ tương phản (giai đoạn nhu mô tụy) cho thấy sự tăng cường không đồng nhất của tụy, và đầu tụy có vẻ phù nề với sự kết dính của mỡ quanh tụy. Có các tập hợp dịch quanh tụy nhỏ (tập hợp dịch tụy cấp tính) (mũi tên).

    Phân loại viêm tụy cấp theo hình ảnh CT:

    Dựa trên hình ảnh viêm tụy cấp trên CT, bệnh có thể được chia thành các mức độ khác nhau theo thang điểm Balthazar, bao gồm:

    • Độ A: Tụy có hình dạng bình thường, không có dấu hiệu viêm.
    • Độ B: Tụy to hơn bình thường, có dấu hiệu phù nề nhẹ.
    • Độ C: Xuất hiện viêm mỡ quanh tụy.
    • Độ D: Có một hoặc nhiều ổ dịch quanh tụy.
    • Độ E: Xuất hiện nhiều ổ dịch lớn hoặc hoại tử tụy (> 50%).

    Nhờ vào phân loại này, bác sĩ có thể đánh giá mức độ nghiêm trọng của bệnh và có hướng điều trị phù hợp.

    Biến chứng của viêm tụy cấp có thể thấy trên CT

    Nếu không được điều trị kịp thời, viêm tụy cấp có thể dẫn đến nhiều biến chứng nguy hiểm, trong đó có thể phát hiện được trên hình ảnh CT như:

    • Hoại tử tụy: Một vùng tụy bị mất tưới máu và hoại tử, không bắt thuốc cản quang trên CT.
    • Áp xe tụy: Hình ảnh CT có thể cho thấy một khối áp xe với dịch và mô hoại tử trong tụy.
    • Tụ dịch quanh tụy: Hình thành ổ dịch lớn có thể gây chèn ép các cơ quan lân cận.
    • Xuất huyết tụy: Có thể xuất hiện hình ảnh tụ máu hoặc thoát mạch trên CT.

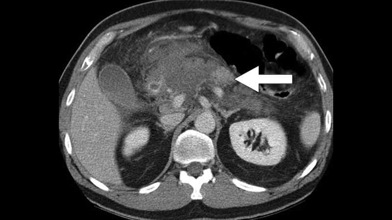
    Dưới đây là hình ảnh viêm tụy cấp có biến chứng hoại tử trên CT của một người đàn ông 45 tuổi. Trên hình ảnh CT, phần lớn tuyến tụy không tăng sáng ngoại trừ một phần nhỏ thân tụy (mũi tên). Bệnh nhân này có nguy cơ bị ngắt kết nối ống tụy vì mô tụy sống bị tách khỏi đường tiêu hóa bởi mô hoại tử.

    Hình ảnh viêm tụy cấp trên CT và những điều bạn cần biết 4
    Hình ảnh viêm tụy cấp có biến chứng hoại tử trên CT của một người đàn ông 45 tuổi

    Dưới đây là hình ảnh CT tĩnh mạch cửa bụng của một phụ nữ 75 tuổi bị viêm tụy cấp có nhiễm trùng huyết nặng. Có khối u giảm đậm độ thay thế cổ tụy (mũi tên) bằng mô mỡ quanh tụy. Lưu ý thành dày bao quanh khối u, chọc hút xác nhận đây là áp xe.

    Hình ảnh viêm tụy cấp trên CT và những điều bạn cần biết 5
    Hình ảnh CT tĩnh mạch cửa bụng của một phụ nữ 75 tuổi bị viêm tụy cấp có nhiễm trùng huyết nặng

    Khi nào cần chụp CT để chẩn đoán viêm tụy cấp?

    Không phải bệnh nhân nào nghi ngờ viêm tụy cũng cần chụp CT ngay lập tức. Theo các hướng dẫn y khoa, CT thường được chỉ định trong các trường hợp sau:

    • Khi bệnh nhân có triệu chứng viêm tụy cấp nhưng chưa rõ nguyên nhân.
    • Khi viêm tụy cấp kéo dài trên 48 giờ và có dấu hiệu nặng lên (không nên chụp CT sớm dưới 48 giờ ở bệnh nhân viêm tụy cấp nhẹ, vì hình ảnh có thể chưa phản ánh đầy đủ tổn thương).
    • Khi bác sĩ nghi ngờ có biến chứng như hoại tử tụy, áp xe, xuất huyết hoặc tràn dịch ổ bụng.
    • Khi các xét nghiệm khác không đủ để khẳng định chẩn đoán.

    CT scan không chỉ giúp chẩn đoán viêm tụy cấp mà còn hỗ trợ phát hiện các biến chứng nguy hiểm, giúp bác sĩ đưa ra hướng điều trị phù hợp.

    Hướng điều trị viêm tụy cấp dựa trên hình ảnh CT

    Sau khi có kết quả hình ảnh CT, bác sĩ sẽ đưa ra hướng điều trị phù hợp, bao gồm:

    • Điều trị nội khoa: Dành cho trường hợp viêm tụy nhẹ, bao gồm nhịn ăn tạm thời, truyền dịch, giảm đau và kiểm soát nguyên nhân gây bệnh.
    • Can thiệp xâm lấn: Nếu có biến chứng nặng như hoại tử tụy hoặc áp xe, bác sĩ có thể chỉ định phẫu thuật hoặc dẫn lưu dịch qua da.
    • Điều trị hỗ trợ: Kiểm soát tình trạng mất nước, rối loạn điện giải và sử dụng thuốc giảm viêm nếu cần.
    Hình ảnh viêm tụy cấp trên CT và những điều bạn cần biết 6
    Sau khi có kết quả hình ảnh CT, bác sĩ sẽ đưa ra hướng điều trị phù hợp

    Hình ảnh viêm tụy cấp trên CT đóng vai trò quan trọng trong việc chẩn đoán và đánh giá mức độ tổn thương tụy. Nhờ vào CT scan, bác sĩ có thể phân biệt viêm tụy cấp với các bệnh lý khác, xác định biến chứng và có phương án điều trị hiệu quả. Nếu có dấu hiệu nghi ngờ viêm tụy cấp, bạn cần đi khám ngay để được chẩn đoán và can thiệp kịp thời, tránh nguy cơ biến chứng nguy hiểm.

    Thông tin và sản phẩm gợi ý trong bài viết chỉ mang tính chất tham khảo, vui lòng liên hệ với Bác sĩ, Dược sĩ hoặc chuyên viên y tế để được tư vấn cụ thể. Xem thêm

    Dược sĩ Đại họcTrần Huỳnh Minh Nhật

    Đã kiểm duyệt nội dung

    Dược sĩ chuyên khoa Dược lý - Dược lâm sàng. Tốt nghiệp 2 trường đại học Mở và Y Dược TP. Hồ Chí Minh. Có kinh nghiệm nghiên cứu về lĩnh vực sức khỏe, đạt được nhiều giải thưởng khoa học. Hiện là Dược sĩ chuyên môn phụ trách xây dựng nội dung và triển khai dự án đào tạo - Hội đồng chuyên môn tại Nhà thuốc Long Châu.

    Xem thêm thông tin