Tốt nghiệp Đại học Y Dược TP. Hồ Chí Minh. Có nhiều năm trong lĩnh vực dược phẩm. Hiện đang là giảng viên cho Dược sĩ tại Nhà thuốc Long Châu.
Chùng Linh
04/10/2024
Mặc định
Lớn hơn
Chụp HRCT (chụp cắt lớp vi tính độ phân giải cao) là một loại hình chụp CT hiển thị hình ảnh chi tiết về phổi của bạn. Phương pháp này thường được dùng để chẩn đoán và theo dõi các bệnh phổi kẽ và các tình trạng ảnh hưởng đến đường hô hấp nhỏ và phế nang (túi khí) của người bệnh. Bài viết bên dưới sẽ giúp bạn tìm hiểu phương pháp HRCT là gì.
Chụp cắt lớp vi tính phổi độ phân giải cao là một phương pháp chẩn đoán hình ảnh tiên tiến sử dụng tia X với cường độ mạnh để chiếu vào nhu mô phổi, giúp thu thập hình ảnh chi tiết về cấu trúc và độ tưới máu của phổi. Kỹ thuật này đóng vai trò quan trọng trong việc hỗ trợ chẩn đoán và theo dõi hiệu quả điều trị các bệnh lý phổi kẽ và bệnh phế quản. Bài viết dưới đây sẽ giới thiệu cho bạn về phương pháp HRCT là gì và ứng dụng của kỹ thuật này.
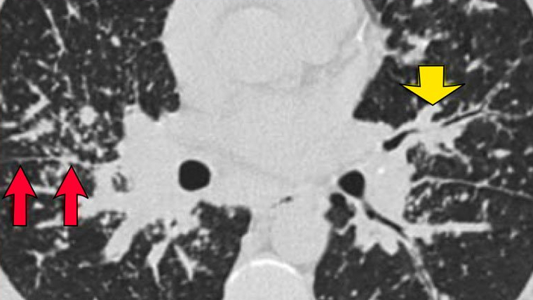
HRCT (High-resolution computed tomography - chụp cắt lớp vi tính độ phân giải cao) là một phương pháp chẩn đoán hình ảnh được sử dụng để tạo ra hình ảnh chi tiết các cơ quan bên trong phổi của bạn. Những hình ảnh này có thể cho thấy những thay đổi về cấu trúc trong phổi, cụ thể là các tình trạng ảnh hưởng túi khí (phế nang), đường hô hấp nhỏ và các mô xung quanh chúng.
Kỹ thuật HRCT cung cấp hình ảnh với độ phân giải cao, cho phép nhìn rõ hơn các chi tiết nhỏ, thường được sử dụng để chẩn đoán các bệnh phổi, các bệnh liên quan đến mô mềm và một số bệnh khác.
Với lợi thế cung cấp hình ảnh sắc nét, chụp CT độ phân giải cao thường được ưu tiên sử dụng trong các trường hợp bệnh lý liên quan đến phổi và hệ thống đường thở. Cụ thể hơn, HRCT được chỉ định khi nghi ngờ mắc các bệnh lý như:
Cụ thể hơn, trong trường hợp bệnh nhân mắc viêm tiểu phế quản hô hấp, chúng ta sẽ quan sát được các nốt có độ mờ kính chiếm ưu thế ở thùy trên trên hình chụp HRCT. Bên cạnh đó, cũng quan sát được dấu hiệu dày thành phế quản. Tiểu thùy thứ cấp có xuất hiện bẫy không khí.

Một số dấu hiệu bất thường thể hiện trên hình ảnh HRCT khi bệnh nhân mắc các bệnh lý này như:
Đối với căn bệnh này, hình chụp HRCT của người bệnh sẽ có sự xuất hiện của nhiều u nang có thành mỏng, được bao quanh bởi nhu mô bình thường. Các u nang có đường kính từ 2 mm đến 5 cm, có hình tròn và ít nhiều đồng đều. Các u nang phân bố rải rác khắp phổi và các thùy trên và dưới có mức độ liên quan tương tự nhau. Độ dày thành của u nang dao động từ rất nhỏ (không nhìn thấy được) cho đến 4 mm.
Hình chụp HRCT cho thấy sự dày lên của vách ngăn nội bào, dày lên các vết nứt và dày lên của mô kẽ mạch máu quanh phế quản (dây quấn phế quản).
Trong trường hợp này sẽ phát hiện trên hình chụp HRCT phổi hoạ tiết các hình lưới bất thường trên nền kính mờ.

Các bước tiến hành chụp HRCT:
Bước 1: Cho người bệnh nằm ngửa trên bàn chụp trong tư thế hai tay giơ cao ngang đầu. Yêu cầu người bệnh điều chỉnh nhịp thở theo chỉ dẫn của kỹ thuật viên phòng chụp (hít vào và thở ra nhịp nhàng nhiều lần tương ứng với từng lát cắt).
Bước 2: Thể hiện khu vực khảo sát bao gồm toàn bộ lồng ngực cho đến dưới cơ hoành, chụp định vị lần đầu.
Bước 3: Tiến hành chụp phổi với từng lát cắt từ đỉnh phổi đến đáy phổi, bao gồm cả góc sườn hoành. Độ dày và khoảng cách giữa các lát cắt thay đổi tùy theo chế độ cài đặt của máy, thông thường khoảng 1 - 2 mm cho mỗi lát cắt và 10 - 15 mm giữa hai lát cắt liên tiếp.
Bước 4: Lần lượt thay đổi các cửa sổ quan sát bao gồm cửa sổ trung thất và cửa sổ nhu mô phổi.
Bước 5: Tiến hành đánh giá và đọc kết quả các hình ảnh chụp được.
Quá trình chụp HRCT diễn ra trong thời gian ngắn, thường kéo dài khoảng 10 phút. Bệnh nhân có thể tốn khoảng 30 phút đến 1 tiếng cho toàn bộ quá trình chụp HRCT.
Vì không sử dụng thuốc đối quang nên phương pháp HRCT được xem là phương pháp khá an toàn và không có chống chỉ định tuyệt đối.
Tuy nhiên, phương pháp này cần thận trọng trong một số trường hợp như:
Phương pháp này không gây ra tai biến nguy hiểm nào. Tuy nhiên, đôi khi phương pháp này có thể gây ra một số khó khăn với những bệnh nhân mắc chứng sợ không gian hẹp hoặc trẻ nhỏ.

Trong trường hợp bệnh nhân không hợp tác, quá kích động, sợ hãi hoặc lo lắng quá mức, hoặc trẻ em khóc và cử động gây ảnh hưởng đến chất lượng hình ảnh, có thể xử lý bằng cách chụp lúc ngủ, dùng thuốc an thần, hoặc trong một số trường hợp cần thiết phải gây mê.
Với những thông tin trong bài viết trên, hy vọng bạn đã có được những thông tin về phương pháp HRCT là gì và ứng dụng của phương pháp này trong y học. Chụp CT phổi độ phân giải cao (HRCT) là phương pháp chẩn đoán hình ảnh mang lại độ chính xác cao trong việc phát hiện các bệnh lý liên quan đến phổi như viêm phổi hay ung thư phổi.
Xem thêm:
Dược sĩ Đại họcNguyễn Vũ Kiều Ngân
Tốt nghiệp Đại học Y Dược TP. Hồ Chí Minh. Có nhiều năm trong lĩnh vực dược phẩm. Hiện đang là giảng viên cho Dược sĩ tại Nhà thuốc Long Châu.