Từng làm ở Viện ISDS, nhiều năm cộng tác với CDC Thái Nguyên triển khai dự án phòng chống HIV/AIDS, 2 năm cộng tác với WHO.
Tuệ Nghi
30/11/2025
Mặc định
Lớn hơn
Sỏi phân là tình trạng phân bị cô đặc và vón cục thành khối cứng trong ruột, thường gây đau bụng, khó đi ngoài hoặc thậm chí tắc ruột. Hiểu rõ sỏi phân là gì, nguyên nhân hình thành và cách điều trị giúp bạn phòng ngừa biến chứng nguy hiểm, bảo vệ sức khỏe tiêu hóa hiệu quả.
Sỏi phân là một trong những hậu quả nghiêm trọng của táo bón kéo dài mà nhiều người ít để ý đến. Khi phân bị tích tụ lâu ngày, mất nước và trở nên rắn chắc như sỏi, chúng có thể gây chèn ép ruột hoặc các cơ quan lân cận. Bài viết này sẽ giúp bạn hiểu rõ sỏi phân là gì, vì sao hình thành, sỏi phân có nguy hiểm không và cách bác sĩ chẩn đoán cũng như điều trị.
Sỏi phân là một tình trạng phổ biến nhưng thường bị bỏ qua trong các vấn đề tiêu hóa, đặc biệt ở những người lớn tuổi hoặc có lối sống ít vận động. Vậy sỏi phân là gì?
Sỏi phân là hiện tượng phân bị nén chặt và khô cứng trong ruột, tạo thành khối rắn giống viên sỏi. Các khối này thường xuất hiện ở đại tràng, trực tràng hoặc đôi khi ở ruột thừa, hình thành do phân bị giữ lại quá lâu trong hệ tiêu hóa, dẫn đến mất nước dần dần và vón cục.
Theo các tài liệu y khoa, sỏi phân không chỉ là phân cứng thông thường mà là một khối đặc quánh có thể đạt kích thước từ vài cm đến lớn hơn, gây cản trở dòng chảy của phân mới.

Nhận biết sớm sỏi phân rất quan trọng vì triệu chứng ban đầu có thể giống với táo bón thông thường nhưng nếu bỏ qua, chúng có thể dẫn đến biến chứng nguy hiểm. Các dấu hiệu phổ biến của sỏi phân bao gồm:

Những dấu hiệu này thường xuất hiện dần dần nhưng ở người cao tuổi hoặc bệnh nhân nằm viện, chúng có thể tiến triển nhanh chóng. Nếu bạn trải qua hai hoặc nhiều triệu chứng trên, đặc biệt kèm theo mệt mỏi hoặc giảm cân không rõ lý do, hãy ghi chép lại để chia sẻ với bác sĩ. Việc nhận biết sớm sỏi phân có thể ngăn chặn các vấn đề nghiêm trọng hơn, giúp duy trì sức khỏe tiêu hóa ổn định.
Sỏi phân không hình thành ngẫu nhiên mà là kết quả của sự tích tụ phân lâu ngày, mất nước và thiếu kích thích cho nhu động ruột. Có nhiều yếu tố góp phần tạo ra sỏi phân, từ thói quen ăn uống đến các vấn đề y tế. Dưới đây là các nguyên nhân phổ biến nhất:

Mặc dù ban đầu sỏi phân chỉ gây khó chịu và bất tiện nhưng nếu không được xử lý kịp thời, nó có thể dẫn đến một loạt các biến chứng nghiêm trọng, ảnh hưởng đến toàn bộ hệ tiêu hóa và thậm chí đe dọa tính mạng.
Một số vấn đề sức khỏe có liên quan đến sỏi phân bao gồm:

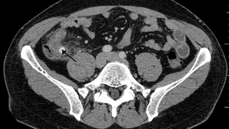
Việc chẩn đoán và điều trị sỏi phân là một quy trình nhanh chóng, kết hợp giữa khám lâm sàng và kỹ thuật hình ảnh để xác định chính xác vị trí và mức độ nghiêm trọng của khối phân rắn. Cụ thể:
Để chẩn đoán sỏi phân, bác sĩ sẽ khai thác lịch sử bệnh (thói quen đại tiện, chế độ ăn, thuốc đang dùng) và khám bụng để phát hiện các khối cứng hoặc chướng hơi.
Để đánh giá mức độ và loại trừ biến chứng, bác sĩ sẽ chỉ định làm thêm các thăm dò cận lâm sàng như chụp X quang bụng, siêu âm hoặc CT scan, nội soi đại tràng… Tùy thuộc vào nhận định ban đầu, bác sĩ sẽ chỉ định phương pháp phù hợp.
Mục tiêu điều trị là loại bỏ khối sỏi phân một cách an toàn và thiết lập lại nhu động ruột bình thường, dựa trên kích thước và vị trí của khối sỏi. Các hướng điều trị sỏi phân bao gồm:
Sau điều trị, bệnh nhân cần được theo dõi sát sao ít nhất một tuần và duy trì chế độ ăn uống khoa học để đảm bảo chức năng ruột hồi phục hoàn toàn và ngăn ngừa nguy cơ tái phát.

Sỏi phân là tình trạng phân bị cô đặc và vón cục lâu ngày trong ruột, gây đau bụng, khó đi ngoài và có thể dẫn đến tắc ruột nếu không điều trị. Dù nghe có vẻ đơn giản nhưng đây là vấn đề tiêu hóa nghiêm trọng cần được phát hiện sớm. Việc ăn uống đủ chất xơ, uống nước, vận động hợp lý là biện pháp hiệu quả nhất để phòng ngừa sỏi phân. Nếu xuất hiện các triệu chứng nặng, người bệnh nên đi khám chuyên khoa tiêu hóa để được chẩn đoán và điều trị kịp thời.
Dược sĩ Đại học Nguyễn Tuấn Trịnh
Từng làm ở Viện ISDS, nhiều năm cộng tác với CDC Thái Nguyên triển khai dự án phòng chống HIV/AIDS, 2 năm cộng tác với WHO.