Tốt nghiệp Đại học Dược Hà Nội, với hơn 10 năm kinh nghiệm trong lĩnh vực Dược phẩm. Hiện là giảng viên giảng dạy các môn Dược lý, Dược lâm sàng,...
Thị Diểm
16/01/2026
Mặc định
Lớn hơn
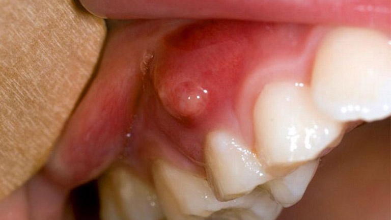
Áp xe quanh chóp răng được xem là một trong những vấn đề nha khoa không thể xem nhẹ. Nếu không được phát hiện và chữa trị kịp thời, bệnh nhân có thể phải đối mặt với nguy cơ mất răng và nhiều vấn đề biến chứng nguy hiểm khác.
Áp xe quanh chóp răng có thể gây ra những cơn đau từ trung bình đến nặng, ảnh hưởng đến khả năng ăn uống và giấc ngủ của bạn. Đôi khi, cơn đau có thể lan ra tai hoặc cổ, tạo ra tình trạng đau nhức đáng kể. Nếu không có biện pháp khắc phục kịp thời, tình trạng này có thể dẫn đến những biến chứng nguy hiểm.
Áp xe quanh chóp răng xuất phát từ buồng tủy bên trong răng, được biết đến với tên gọi "buồng tủy". Trong buồng tủy chứa các mạch máu và dây thần kinh, tổng hợp gọi là "tủy răng". Trước khi xuất hiện áp xe, răng thường mất khả năng chống nhiễm trùng, cho phép vi khuẩn xâm nhập buồng tủy và phát triển. Vi khuẩn này thường lan ra từ buồng tủy và tiếp tục ra khỏi chóp của chân răng, xâm nhập vào xương. Áp xe là một tập hợp của mủ, được tạo thành từ tế bào bạch cầu chết, mảnh vụn mô và vi khuẩn.

Khác với áp xe nướu hay áp xe nha chu có nguồn gốc từ nhiễm trùng ban đầu, áp xe quanh chóp răng (periapical abscess) xuất phát từ buồng tủy và lan ra khỏi răng tại chóp của chân răng. Trong khi đó, áp xe nướu (gum abscess) hay áp xe nha chu (periodontal abscess) bắt nguồn từ túi nướu hoặc vùng xung quanh răng, có nguồn gốc từ bệnh vực xung quanh và lợi răng.
So với các vấn đề răng miệng thông thường, áp xe quanh chóp răng mang đến nhiều triệu chứng nghiêm trọng hơn, có thể nhận diện qua các dấu hiệu sau:

Lưu ý: Trong trường hợp tủy răng đã hoại tử, bệnh nhân có thể không cảm nhận được đau nhức. Tuy nhiên, tình trạng viêm nhiễm vẫn có thể tiến triển và tăng nguy cơ phát sinh các biến chứng nguy hiểm. Người bệnh có thể đối mặt với nguy cơ mất răng vĩnh viễn và nhiễm trùng có thể lan ra các khu vực khác, đe dọa đến sức khỏe và tính mạng.
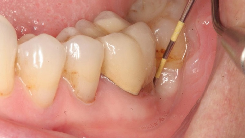
Ở răng trưởng thành, phương pháp điều trị thường bắt đầu bằng việc loại bỏ nhiễm trùng một cách toàn diện. Quy trình này phụ thuộc vào mức độ lan rộng của nhiễm trùng trong răng. Thông thường, việc sử dụng kháng sinh qua đường uống như penicillin là phần quan trọng của quá trình điều trị. Răng sẽ được mở để loại bỏ mô nhiễm khuẩn trong buồng tủy. Nếu cần, có thể thực hiện chích rạch và dẫn lưu trong mô mềm để giảm áp lực của nhiễm trùng.
Trong những tình huống khẩn cấp, khi nhiễm trùng có thể lây lan nhanh chóng, người bệnh cần đến phòng cấp cứu nếu gặp phải các triệu chứng như sốt, sưng mặt hoặc hàm. Nếu có khó thở hoặc gặp khó khăn khi nuốt, việc thăm khám cấp cứu là điều bắt buộc.
Sau khi nhiễm trùng được kiểm soát và răng được phục hồi, quá trình điều trị tủy răng sẽ được thực hiện. Điều trị này liên quan đến việc làm sạch toàn bộ không gian bên trong răng (buồng tủy và các ống tủy) và thay thế chúng bằng một vật liệu cao su trơ gọi là gutta-percha. Quá trình này giúp bảo vệ răng khỏi sự xâm nhập của nhiễm trùng. Nếu mất quá nhiều cấu trúc răng hoặc xương xung quanh do sâu răng và nhiễm trùng, có thể cần nhổ răng.

Trong trường hợp răng sữa của trẻ em, nếu bị áp xe, khả năng cứu răng giảm đi đáng kể. Nếu nhiễm trùng đã phát triển và không thể loại bỏ hoàn toàn, việc nhổ răng sữa là lựa chọn thực tế. Loại bỏ hoàn toàn răng sữa cũng rất quan trọng để tránh nhiễm trùng kéo dài, có thể gây hại cho răng trưởng thành đang phát triển bên dưới. Việc sử dụng kháng sinh qua đường uống có thể được xem xét tùy thuộc vào mức độ nhiễm trùng.
Trong thời kỳ mang thai, việc xử lý ngay lập tức áp xe răng giúp giảm nguy cơ lây lan nhiễm trùng.
Trên đây là các thông tin về bệnh áp xe quanh chóp răng. Bệnh này có thể trở nên nguy hiểm nếu không được điều trị đúng đắn. Do đó, tốt nhất là bắt đầu từ bây giờ, hãy chú trọng đến việc chăm sóc răng miệng của bạn một cách đầy đủ và kịp thời.
Xem thêm:
Dược sĩ Đại họcNguyễn Thanh Hải
Tốt nghiệp Đại học Dược Hà Nội, với hơn 10 năm kinh nghiệm trong lĩnh vực Dược phẩm. Hiện là giảng viên giảng dạy các môn Dược lý, Dược lâm sàng,...