Tốt nghiệp Đại học Dược Hà Nội, với hơn 10 năm kinh nghiệm trong lĩnh vực Dược phẩm. Hiện là giảng viên giảng dạy các môn Dược lý, Dược lâm sàng,...
Thị Diểm
16/01/2026
Mặc định
Lớn hơn
Áp xe nướu răng xuất phát từ sâu răng hoặc viêm tủy, thường gây đau nhức dữ dội. Bệnh có thể để lại nhiều biến chứng nghiêm trọng, hãy cùng Long Châu tìm hiểu kĩ hơn về vấn đề này thông qua bài viết dưới đây nhé.
Áp xe nướu răng không chỉ là một vấn đề nha khoa thông thường mà còn có thể gây ra những hậu quả nghiêm trọng cho sức khỏe răng miệng. Hãy cùng tìm hiểu cách giữ gìn sức khỏe răng miệng để tránh áp xe nướu răng và bảo vệ nụ cười của chúng ta nhé.
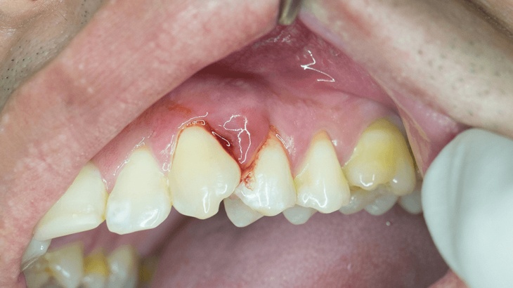
Áp xe nướu răng là một dạng nhiễm trùng xuất phát từ biến chứng của sâu răng hoặc nứt răng do tác động mạnh từ bên ngoài. Những tình trạng này dẫn đến sự xâm nhập của vi khuẩn sâu vào tủy răng, gây ra nhiều biến chứng, trong đó nổi bật nhất là chết tủy.

Áp xe xảy ra khi có sự tích tụ mủ tại vị trí bị viêm dưới mép nướu, tạo thành túi mủ. Nếu túi áp xe nướu không được phát hiện và điều trị kịp thời, có thể dẫn đến nguy cơ vỡ túi mủ, gây ra nhiễm trùng nặng nề, hủy hoại cấu trúc xương hàm, răng và các mô mềm trong miệng.
Có nhiều nguyên nhân khác nhau dẫn đến tình trạng áp xe nướu răng, bao gồm:
Áp xe nướu răng không phải là một bệnh hiếm gặp, nếu bạn đang gặp một trong những triệu chứng dưới đây, hãy đến thăm khám nha sĩ để được kiểm tra xem mình có bị áp xe răng không nhé.

Khi phát hiện các dấu hiệu của áp xe răng, điều quan trọng là tìm đến các cơ sở y tế hoặc bệnh viện để kiểm tra ngay lập tức.
Nếu không chủ động điều trị áp xe răng kịp thời, có thể phát sinh các túi mủ xung quanh cơ răng, gây tổn thương tủy răng và xuất hiện nhiều biến chứng như viêm tủy, viêm xương, mất răng, viêm hạch và giảm mật độ xương hàm. Những biến chứng này cũng có thể lan rộng đến khu vực tai hoặc cổ.
Áp xe răng được coi là một trong những vấn đề nghiêm trọng ảnh hưởng đến sức khỏe toàn diện và hoạt động hàng ngày của người mắc bệnh. Nó sẽ không tự nhiên mà khỏi và cần có sự tư vấn tận tình và điều trị kịp thời từ các bác sĩ.
Lưu ý rằng quá trình điều trị áp xe nướu răng đòi hỏi kỹ năng chuyên môn cao từ phía bác sĩ và vì vậy, mọi người cần lựa chọn cơ sở nha khoa uy tín với đội ngũ chuyên gia có kinh nghiệm, cũng như trang thiết bị hiện đại để đảm bảo quá trình điều trị diễn ra hiệu quả và an toàn.

Để ngăn chặn tình trạng áp xe nướu răng, bạn cần duy trì một chế độ chăm sóc răng miệng khoa học và sạch sẽ. Dưới đây, Long Châu sẽ liệt kê cho bản những điều cần thực hiện:
Thường xuyên theo dõi sức khoẻ nướu, răng miệng để kịp thời phát hiện các bệnh liên quan như áp xe nướu răng, từ đó chúng ta có thể tránh được những biến chứng nghiêm trọng cũng như duy trì sức khỏe nướu, răng miệng một cách hiệu quả bạn nhé.
Xem thêm:
Dược sĩ Đại họcNguyễn Thanh Hải
Tốt nghiệp Đại học Dược Hà Nội, với hơn 10 năm kinh nghiệm trong lĩnh vực Dược phẩm. Hiện là giảng viên giảng dạy các môn Dược lý, Dược lâm sàng,...