• Thực phẩm chức năng

  • Dược mỹ phẩm

  • Thuốc

  • Chăm sóc cá nhân

  • Thiết bị y tế

  • Tiêm chủng

  • Bệnh & Góc sức khỏe

  • Hệ thống nhà thuốc

    1. /
    2. Bệnh lý/
    3. Cơ - Xương - Khớp/
    4. Bệnh khớp do thần kinh

    Bệnh khớp do thần kinh là gì? Nguyên nhân gây bệnh, phương pháp điều trị và nguyên tắc phòng ngừa

    29/08/2025

    Bác sĩNguyễn Lê Băng Giang

    Đã kiểm duyệt nội dung

    Tốt nghiệp ngành Y học cổ truyền tại Đại học Y dược Thành phố Hồ Chí Minh. Có nhiều năm kinh nghiệm làm việc tại các bệnh viện và phòng khám chuyên khoa Y học cổ truyền. Với phương châm lấy người bệnh làm trung tâm, bác sĩ luôn giúp đỡ người bệnh, mang những kiến thức và kinh nghiệm để chia sẻ với mọi người, góp phần nâng cao hiểu biết về sức khỏe cho cộng đồng.

    Xem thêm thông tin

    Bệnh khớp có thể là hậu quả của các rối loạn tiềm ẩn khác nhau, phổ biến nhất là bệnh tiểu đường và đột quỵ. Các biểu hiện thường gặp bao gồm sưng khớp, tràn dịch, biến dạng, không ổn định. Đau có thể ở mức độ nhẹ không cân xứng do bệnh lý thần kinh tiềm ẩn.

    Nội dung chính

    Tìm hiểu chung bệnh khớp do thần kinh

    Bệnh khớp do thần kinh là gì?

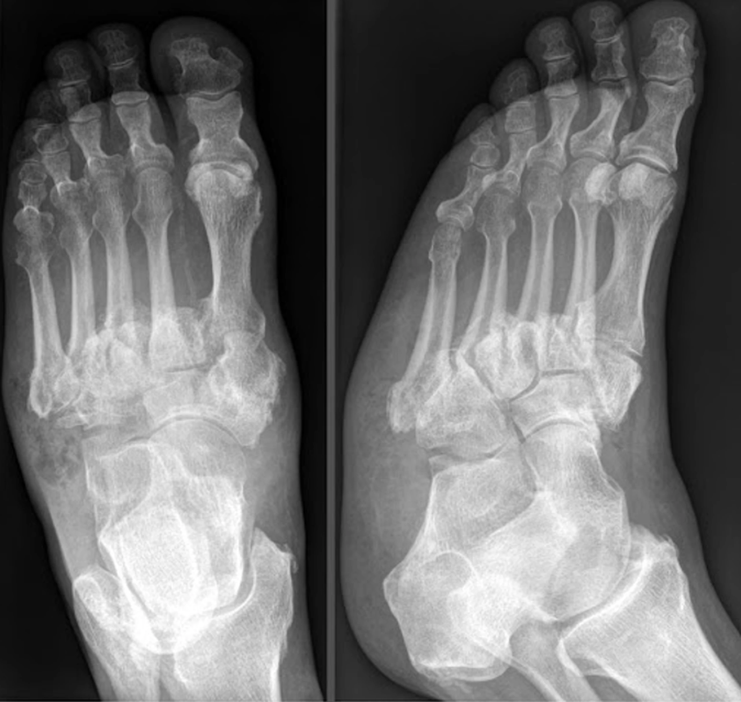
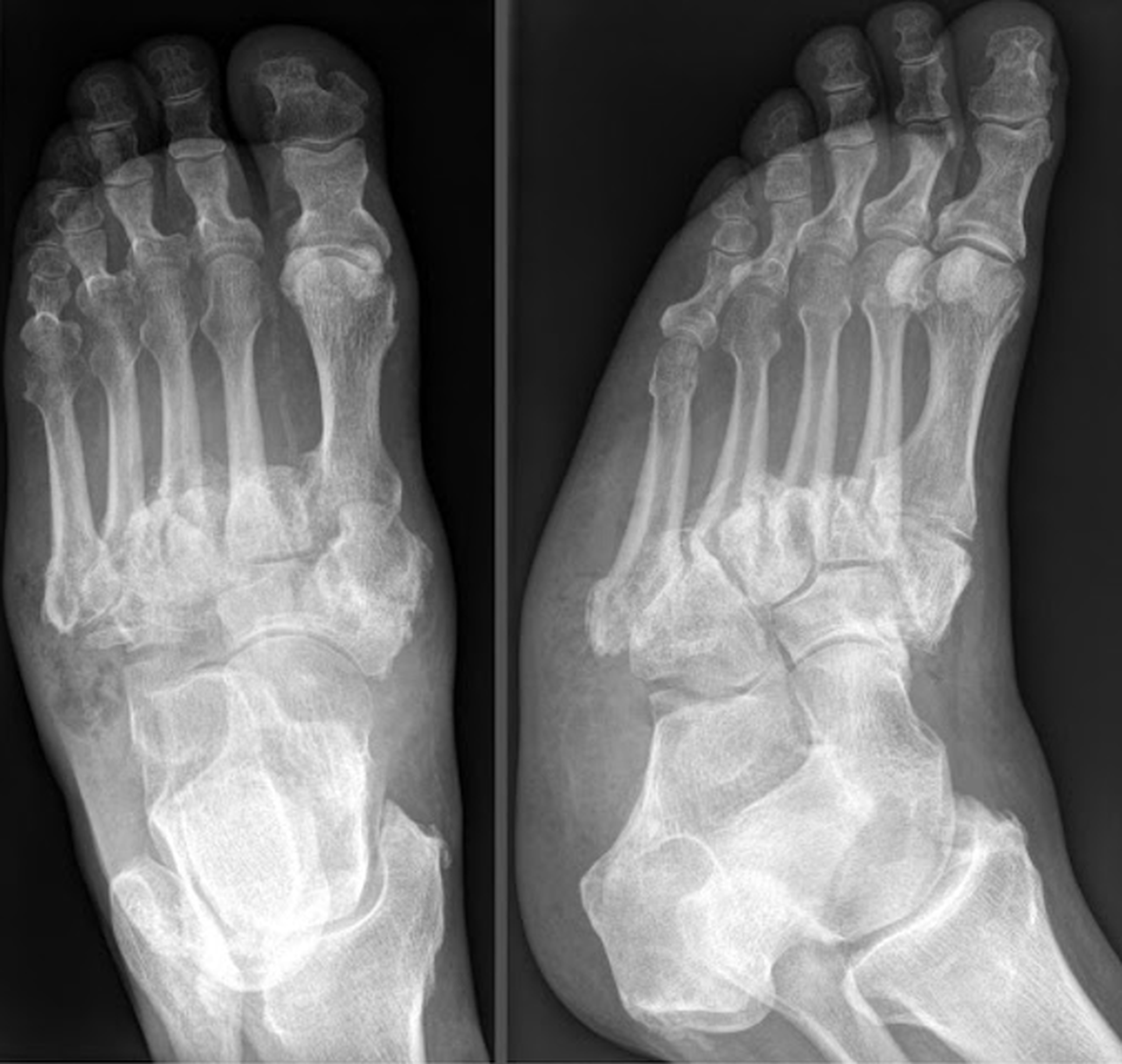
    Bệnh khớp do thần kinh (hay còn gọi là bệnh Charcot) là những thay đổi về xương và khớp xảy ra thứ phát do mất cảm giác và thường liên quan nhất đến bệnh đái tháo đường, giang mai, sa xương sống, nứt đốt sống, chấn thương tủy sống và bệnh phong. Những thay đổi trên X-quang của bệnh lý này bao gồm phá hủy bề mặt khớp, xương dưới sụn mờ đục, mảnh vỡ khớp, biến dạng và trật khớp.

    Bệnh phong là một trong nhiều nguyên nhân gây ra bệnh khớp thần kinh. Các biểu hiện khớp của bệnh này bao gồm các dấu hiệu của bệnh khớp do thần kinh tiến triển mặc dù đã được điều trị. Bệnh khớp do thần kinh liên quan đến bệnh đái tháo đường, giang mai, bệnh phong và rối loạn mô liên kết phổ biến hơn ở người cao tuổi.

    Triệu chứng bệnh khớp do thần kinh

    Những dấu hiệu và triệu chứng của bệnh khớp do thần kinh

    Bệnh khớp thường không phát triển cho đến nhiều năm sau khi khởi phát bệnh lý thần kinh, nhưng sau đó có thể tiến triển nhanh chóng và dẫn đến mất tổ chức khớp hoàn toàn trong vài tháng. Đau là một triệu chứng ban đầu phổ biến.

    Tuy nhiên, do khả năng cảm nhận cơn đau bị suy giảm nên mức độ đau thường nhẹ hơn nhiều so với mức độ tổn thương khớp. Nổi bật, thường xuất huyết, tràn dịch, trật khớp nhẹ và không ổn định của khớp thường xuất hiện trong giai đoạn đầu. Trật khớp cấp tính đôi khi cũng xảy ra.

    Trong các giai đoạn sau, cơn đau có thể trầm trọng hơn nếu bệnh đã gây phá hủy khớp nhanh chóng (ví dụ: Gãy quanh khớp hoặc tụ máu). Trong giai đoạn nặng, khớp bị sưng do xương phát triển quá mức và tràn dịch khớp lớn. Biến dạng là kết quả của trật khớp và gãy xương gây di lệch. Gãy xương và quá trình lành xương có thể tạo ra nhiều mảnh sụn hoặc xương lỏng lẻo dính vào khớp, gây ra tiếng kêu lọc cọc, cọ xát, thường khó nghe thấy đối với người quan sát hơn là với bệnh nhân. Khớp có thể giống như một “túi xương”.

    Mặc dù nhiều khớp có thể bị ảnh hưởng, nhưng thường gặp nhất ở đầu gối và mắt cá chân thường. Sự phân bố phụ thuộc phần lớn vào bệnh căn nguyên, như: Giang mai gây biến chứng thần kinh (tabes dorsalis) ảnh hưởng đến đầu gối và hông, và bệnh đái tháo đường ảnh hưởng đến bàn chân và mắt cá chân. Bệnh rỗng tủy xương (Syringomyelia) thường ảnh hưởng đến cột sống và các khớp chi trên, đặc biệt là khuỷu tay và vai. Thông thường, chỉ có một khớp bị ảnh hưởng và không quá hai hoặc ba (ngoại trừ các khớp nhỏ của bàn chân), phân bố không đối xứng.

    Viêm khớp nhiễm trùng có thể xuất hiện kèm theo hoặc không có triệu chứng toàn thân (ví dụ: Sốt, khó chịu), đặc biệt là với bệnh đái tháo đường và cần có chỉ số nghi ngờ cao. Các cấu trúc như mạch máu, dây thần kinh và tủy sống có thể bị chèn ép do mô phát triển quá mức.

    Biến chứng có thể gặp khi mắc bệnh bệnh khớp do thần kinh

    Bệnh nhân khớp do thần kinh có thể gặp các biến chứng sau đây:

    • Bàn chân bị mất hình dạng: Vòm ở giữa bàn chân hạ xuống cho đến khi xương thấp hơn gót chân hoặc ngón chân.
    • Các ngón chân bị cong.
    • Mắt cá chân bị trẹo và không vững.
    • Xương đè lên giày có thể gây ra các vết loét hở trên da và có thể bị nhiễm trùng. Lưu lượng máu kém là một biến chứng thường gặp của bệnh tiểu đường, khiến nhiễm trùng khó lành. Nếu không được điều trị kịp thời có thể phải cắt cụt chi.

    Khi nào cần gặp bác sĩ?

    Nếu có bất kỳ triệu chứng nào nêu trên xảy ra, bạn nên liên hệ ngay với bác sĩ để được kiểm tra và tư vấn. Chẩn đoán và điều trị sớm sẽ giảm nguy cơ tăng nặng của bệnh và giúp bạn mau chóng hồi phục sức khỏe.

    Nguyên nhân bệnh khớp do thần kinh

    Nguyên nhân dẫn đến bệnh khớp do thần kinh

    Các nguyên nhân thường gặp gây bệnh khớp do thần kinh bao gồm:

    • Bệnh thần kinh amyloid (bệnh amyloid thứ phát).
    • Dị tật Arnold - Chiari.
    • Vô cảm bẩm sinh với đau.
    • Bệnh thoái hóa cột sống có chèn ép rễ thần kinh.
    • Đái tháo đường.
    • Bệnh thần kinh di truyền gia đình.
    • Bệnh đa dây thần kinh amyloid gia đình.
    • Rối loạn chuyển hóa máu trong gia đình (hội chứng Riley - Day).
    • Bệnh thần kinh cảm giác di truyền.
    • Bệnh thần kinh kẽ phì đại (bệnh Dejerine - Sottas).
    • Teo cơ quanh miệng (bệnh Charcot-Marie-Tooth).
    • Bệnh khổng lồ kèm bệnh thần kinh phì đại.
    • Bệnh phong.
    • Nứt đốt sống có thoát vị màng não tuỷ (ở trẻ em).
    • Đột quỵ.
    • Thoái hóa kết hợp bán cấp của tủy sống.
    • Bệnh rỗng tủy sống hậu chấn thương.
    • Đau lưng.
    • Khối u và chấn thương dây thần kinh ngoại và tủy sống.

    Suy giảm cảm giác đau sâu hoặc khả năng nhận thức ảnh hưởng đến phản xạ bảo vệ bình thường của khớp, thường kiến cho bệnh nhân không phát hiện ra chấn thương (đặc biệt là các đợt nhỏ lặp đi lặp lại) và gãy xương quanh khớp nhỏ. Tăng lưu lượng máu đến xương do phản xạ giãn mạch, dẫn đến quá trình tiêu xương tích cực, góp phần làm tổn thương xương và khớp.

    Mỗi chấn thương mới của khớp gây ra biến dạng nhiều hơn khi nó lành lại. Tràn dịch khớp xuất huyết và nhiều gãy xương nhỏ xảy ra và đẩy nhanh tiến triển của bệnh. Sự lỏng lẻo của dây chằng, giảm trương lực cơ và sự phá hủy nhanh chóng của sụn khớp là những yếu tố phổ biến dẫn đến trật khớp và cũng là nguyên nhân đẩy nhanh sự tiến triển của bệnh. Bệnh khớp thần kinh tiến triển có thể gây ra những thay đổi phì đại, những thay đổi phá hủy hoặc cả hai.

    Chia sẻ:

    Có thể bạn quan tâm

    Nguồn tham khảo

    Câu hỏi thường gặp về bệnh bệnh khớp do thần kinh

    Bệnh khớp do thần kinh có nguy hiểm không?

    Bệnh khớp do thần kinh có thể nguy hiểm nếu không được điều trị kịp thời. Tình trạng này gây tổn thương nặng nề đến khớp, dẫn đến biến dạng, mất chức năng khớp và tăng nguy cơ loét hoặc nhiễm trùng.

    Dấu hiệu nhận biết bệnh khớp do thần kinh?

    Bệnh khớp do thần kinh có điều trị khỏi được không?

    Bị bệnh khớp do thần kinh có kiêng cữ gì không?

    Bệnh khớp do thần kinh xuất phát từ đâu?

    Hỏi đáp (0 bình luận)

    Hỏi đáp (0 bình luận)