Tốt nghiệp Khoa Dược trường Đại học Nam Cần Thơ. Có nhiều năm kinh nghiệm công tác trong lĩnh vực Dược phẩm. Hiện đang giảng viên cho Dược sĩ tại Nhà thuốc Long Châu.
Thị Hằng
12/07/2024
Mặc định
Lớn hơn
Vì sao chân răng nổi cục trắng và hiện tượng trên có thực sự đáng ngại? Làm thế nào để ngăn ngừa tình trạng này? Bài viết dưới đây của Nhà thuốc Long Châu sẽ giúp bạn làm rõ những nghi vấn vừa nêu.
Chân răng nổi cục trắng là một hiện tượng bất thường về răng miệng và có thể kéo theo nhiều hệ lụy nếu không được can thiệp sớm. Vậy bạn nằm lòng nguyên nhân phát sinh, mối nguy hại đi kèm và cách ngăn ngừa hiệu quả vấn đề sức khỏe nói trên hay chưa?
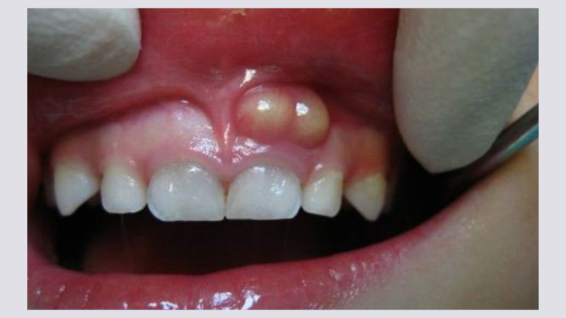
Chân răng nổi cục trắng là hiện tượng phần nướu liền kề với răng xuất hiện u cục nổi hẳn lên trên bề mặt và vùng trung tâm thường có màu sắc sáng hơn các khu vực lân cận. Tùy từng trường hợp mà chúng có thể có kích thước từ vài mm đến vài cm.

Cục trắng ở chân răng có thể xuất hiện độc lập hoặc đi kèm các dấu hiệu khác, điển hình là:
Hiện tượng nổi cục trắng ở khu vực chân răng có thể xuất hiện do những nguyên nhân dưới đây:
Sâu răng phát sinh do sự tấn công của vi khuẩn gây hại lên men răng. Từ đó ảnh hưởng đến ngà răng, lợi và các khu vực nằm liền kề. Hệ quả là có thể làm xuất hiện các cục màu trắng ở khu vực chân răng. Nếu không can thiệp nhanh để xử lý ổ viêm thì rất dễ dẫn đến viêm tủy răng ở mức độ nghiêm trọng.

Khi lợi bị viêm do nhiễm trùng, chúng không chỉ gây sưng tấy, đau nhức mà còn có thể biến đổi kết cấu và làm xuất hiện cục màu trắng ngay ở vị trí tổn thương. Trong một số trường hợp, cục trắng này còn bị xung huyết, loét bề mặt và đi kèm nhiều diễn tiến đáng ngại khác.
U nang răng là trường hợp chân răng nổi cục do xuất hiện bong bóng nhỏ chứa đầy chất dịch mềm. Chúng thường xuất hiện khi chân răng gãy, tạo áp lực lên ổ xương răng hoặc hệ quả của sâu răng lâu năm, nhiễm trùng tái diễn. Đây là một vấn đề lành tính, can thiệp dễ dàng nên chỉ cần xử lý tại phòng khám chuyên khoa là có thể điều trị dứt điểm.
Khi vi khuẩn xâm nhập vào răng hay vùng nướu gần chân răng, chúng có thể gây viêm nhiễm, sưng tấy và hình thành ổ mủ. Từ đó dẫn đến tình trạng nổi cục trắng ở khu vực này. Nếu tổ chức trên bị vỡ ra thì vừa gây hôi miệng, vừa lây lan vi khuẩn sang các khu vực lân cận. Hệ quả là gây viêm xoang, viêm não, viêm xương hàm,...
Vệ sinh răng miệng sai cách thường dẫn đến hai hệ lụy. Thứ nhất là gây tụt lợi, tổn thương nướu và khiến vi khuẩn có cơ hội hoành hành. Thứ hai là không làm sạch được mảng bám, khiến chúng bám dính "cố thủ” ở đường viền của chân răng và dễ gây viêm nhiễm. Cả hai điều này đều có thể là nguyên nhân khiến chân răng xuất hiện cục trắng.
Nếu bạn sử dụng đồ ngọt hoặc thực phẩm chứa nhiều axit, môi trường khoang miệng sẽ có pH thấp, gây hủy hoại lớp men răng và lớp bảo vệ bên ngoài phần lợi. Khi đó các tổ chức này sẽ nhạy cảm hơn, dễ bị vi khuẩn xâm lấn và gây ra những tổn thương dạng u cục.
Cồn là thành phần có khả năng gây kích ứng và bào mòn cực mạnh. Chúng tác động tiêu cực đến niêm mạc lợi và dẫn đến tình trạng đau nhức, sưng tấy. Thậm chí còn có thể xuất hiện những cục nhỏ màu trắng ở ngay dưới chân răng.
Khi bạn chăm sóc, can thiệp thẩm mỹ ở phòng khám nha khoa chất lượng kém thì các đồ dùng sử dụng có thể chưa được tiệt trùng đúng cách. Vậy nên bạn rất dễ bị lây nhiễm chéo vi khuẩn và làm phát sinh vấn đề nói trên cùng nhiều bệnh lý về răng miệng khác.
Nếu không được điều trị sớm thì hiện tượng chân răng nổi cục trắng có thể dẫn đến những biến chứng sau đây:

Để ứng phó với tình trạng chân răng xuất hiện cục trắng thì bạn hãy làm theo hướng dẫn sau:

Trên đây là những chia sẻ của Nhà thuốc Long Châu xoay quanh chủ đề chân răng nổi cục trắng. Qua bài viết, hẳn bạn đã nắm rõ nguyên nhân làm phát sinh thực trạng trên, những hệ lụy đi kèm và cách can thiệp hiệu quả rồi phải không? Sau cùng, hy vọng rằng bạn có thể ngăn ngừa vấn đề này từ giai đoạn sớm để bảo vệ sức khỏe răng miệng của bản thân! Trân trọng!
Xem thêm:
Dược sĩ Đại họcNguyễn Thị Thảo Nguyên
Tốt nghiệp Khoa Dược trường Đại học Nam Cần Thơ. Có nhiều năm kinh nghiệm công tác trong lĩnh vực Dược phẩm. Hiện đang giảng viên cho Dược sĩ tại Nhà thuốc Long Châu.