Hoàn thành chương trình Thạc sĩ Y học cổ truyền tại Học viện Y dược học cổ truyền Việt Nam. Có nhiều năm kinh nghiệm làm việc trong lĩnh vực Cơ - Xương - Khớp và lĩnh vực Xét nghiệm.
:format(webp)/nen_xuong_s2_55529d727d.jpeg)
:format(webp)/nen_xuong_s2_55529d727d.jpeg)
Thạc sĩ - Bác sĩTrần Thị Mỹ Linh
Hoàn thành chương trình Thạc sĩ Y học cổ truyền tại Học viện Y dược học cổ truyền Việt Nam. Có nhiều năm kinh nghiệm làm việc trong lĩnh vực Cơ - Xương - Khớp và lĩnh vực Xét nghiệm.
Bệnh nến xương là một tình trạng bệnh lý hiếm gặp ảnh hưởng đến xương tứ chi. Trong bệnh lý này mô xương mới phát triển bên trên xương khỏe mạnh dẫn đến sự dày lên không đều theo chiều dài xương. Người mắc bệnh có thể bị đau, hạn chế cử động, thay đổi da,... Không có cách chữa trị đặc hiệu cho bệnh nến xương nhưng việc điều trị hỗ trợ có thể giúp người mắc bệnh có chất lượng cuộc sống tốt hơn.
Bệnh nến xương (Melorheostosis) hay bệnh Leri lần đầu tiên được nhà thần kinh học người Pháp Andre Leri (1875-1930) và J Joanny trình bài vào năm 1922. Tên gọi bắt nguồn từ tiếng Hy Lạp với “melos” nghĩa là chi và “rhein” nghĩa là chảy do bệnh lý này đặc trưng bởi hình ảnh tăng sinh xương nhìn như kiểu nến chảy trên phim x-quang.
Bệnh nến xương là một loại loạn sản xương rất hiếm gặp ảnh hưởng đến khoảng 1 trên 1 triệu người. Đến nay có khoảng 400 trường hợp đã được báo cáo trên toàn thế giới. Mặc dù những thay đổi của bệnh xảy ra ở thời thơ ấu nhưng tuổi biểu hiện bệnh thường muộn hơn và tình trạng này thường tiến triển tiềm ẩn cho đến cuối tuổi thiếu niên hoặc đầu tuổi trưởng thành. Chỉ có khoảng một nửa số trường hợp được chẩn đoán trước 20 tuổi mặc dù trong một số trường hợp độ tuổi biểu hiện lâm sàng đầu tiên rất khác nhau từ 3 tuổi đến 61 tuổi.
Bệnh nến xương có sự phân bổ giới tính đồng đều về mặc giới tính. Bệnh thường xuất hiện ở xương dài chi trên, chi dưới và hiếm khi liên quan đến trục xương như xương cột sống hay xương chậu. Bệnh có thể gặp ở một xương (monostotic), một chi (monomelic) hay nhiều xương (polyostotic).
Nếu tình trạng khởi phát sớm có thể dẫn đến bệnh lùn vì xương không tiếp tục phát triển dài ra thêm. Cử động của chi có thể bị giảm do cứng khớp hoặc liên quan đến tổn thương cơ hoặc cả hai. Diễn biến thông thường của căn bệnh này diễn ra âm thầm và chậm rãi với các đợt biểu hiện trầm trọng định kỳ và cuối cùng là sự co rút mô mềm, xơ hóa và thậm chí cốt hóa mô.
:format(webp)/benh_nen_xuong_1_adeff8875d.png)
:format(webp)/benh_nen_xuong_2_7c6424be32.png)
:format(webp)/benh_nen_xuong_3_3a6bce00d1.png)
:format(webp)/benh_nen_xuong_4_d48773fc66.png)
:format(webp)/benh_nen_xuong_5_20e1dd2a9a.png)
:format(webp)/benh_nen_xuong_6_11c56ec3ce.png)
:format(webp)/benh_nen_xuong_7_6a032c5fce.png)
:format(webp)/benh_nen_xuong_1_adeff8875d.png)
:format(webp)/benh_nen_xuong_2_7c6424be32.png)
:format(webp)/benh_nen_xuong_3_3a6bce00d1.png)
:format(webp)/benh_nen_xuong_4_d48773fc66.png)
:format(webp)/benh_nen_xuong_5_20e1dd2a9a.png)
:format(webp)/benh_nen_xuong_6_11c56ec3ce.png)
:format(webp)/benh_nen_xuong_7_6a032c5fce.png)
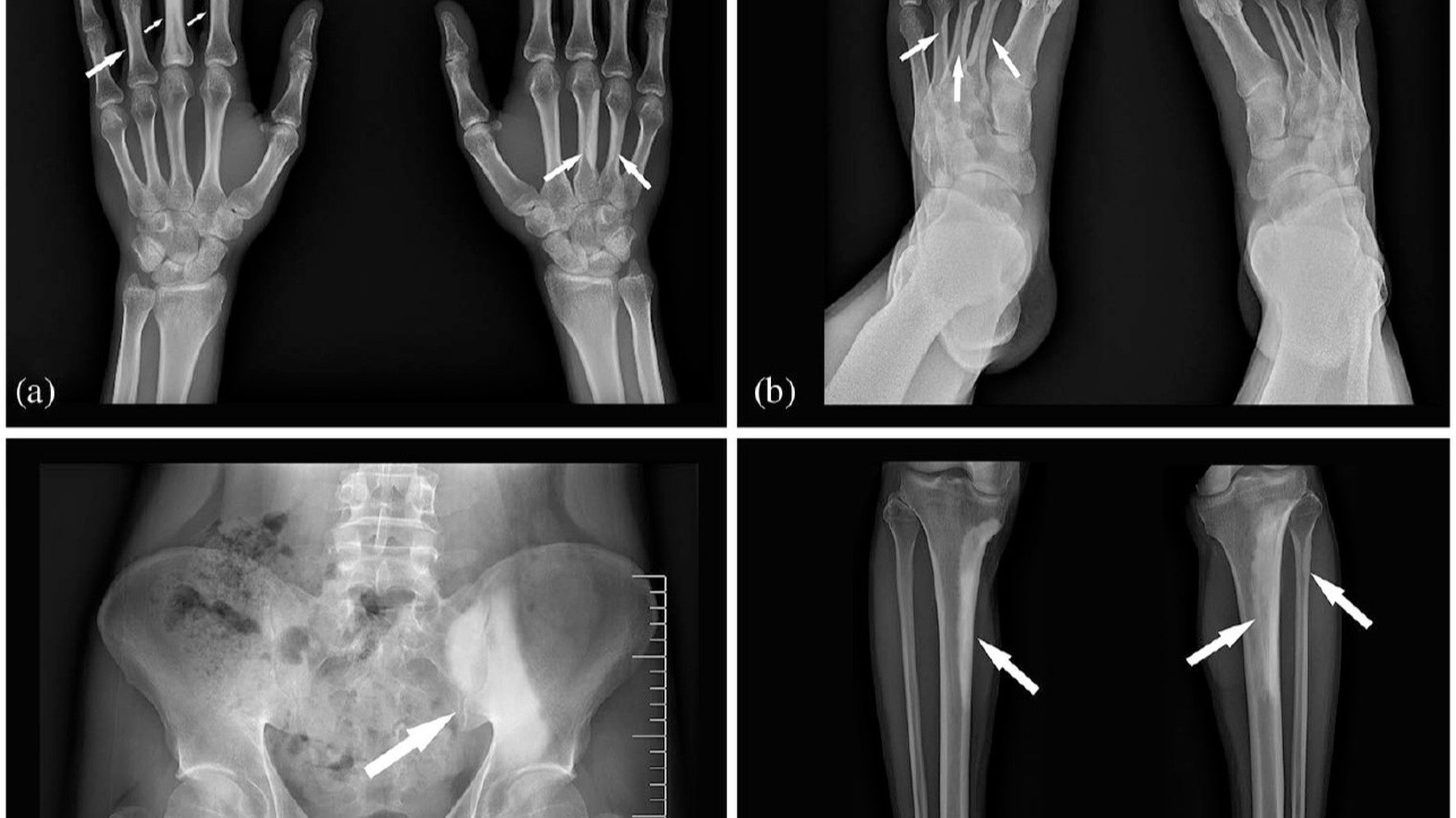
Ở trẻ em thường không có triệu chứng, bệnh chỉ được chẩn đoán khi được phát hiện tình cờ trên x-quang với dấu hiệu “nến chảy”. Trong đó dấu hiệu “nến chảy” là hình ảnh phì đại vỏ xương không đồng đều, thường xảy ra ở một phía của xương bị tổn thương, giống như hình ảnh nến chảy một bên của đèn cầy.
Bệnh ảnh hưởng đến mô mềm và xương dẫn đến dị tật, cứng khớp thường thấy ở phần dưới tứ chi và hiếm khi ở hộp sọ, xương sườn, bàn tay và cột sống. Khi bệnh nến xương biểu hiện trên lâm sàng thì các triệu chứng phổ biến nhất là co rút khớp, đau khớp và các triệu chứng này thường gặp ở người lớn hơn ở trẻ em.
Đau là một triệu chứng không phổ biến ở trẻ em và nếu có đau thì thường nhẹ. Trong một nghiên cứu về bệnh nến xương ở trẻ em khoảng thời gian trung bình từ khi bắt đầu có dấu hiệu lâm sàng đến khi chẩn đoán là 6 năm.
Những thay đổi về da có thể được nhìn thấy trong khoảng 17% trường hợp có thể bao gồm tăng sắc tố ở da và xơ cứng bì. Tóm lại các triệu chứng trong bệnh nến xương bao gồm các biến đổi về xương và về da như sau:

Khi mắc bệnh nến xương các xương dày lên hay to ra bất thường có thể hạn chế cử động chi, biến dạng khớp, biến đổi da, đau đớn và hạn chế vận động,... Đau có thể trầm trọng hơn và gây suy nhược cơ thể ở người lớn. Bệnh nến xương không lan sang các xương khác nhưng nó có thể trở nên trầm trọng hơn theo thời gian.
Liệt dây thần kinh sọ như liệt dây thần kinh số VII, liệt dây thần kinh số III, cốt hóa mô, tăng mật độ khoáng xương, phì đại xương, teo cơ xương và mất cân đối ở chi dưới và chi trên là những biến chứng có thể xảy ra ở người mắc bệnh này nếu không được phát hiện sớm.
Bạn nên đến khám bác sĩ cơ xương khớp ngay khi bạn có bất kỳ dấu hiệu đau đớn hay hạn chế vận động khớp đã nêu ở trên để được thăm khám kỹ càng, chẩn đoán sớm bệnh và có hướng điều trị thích hợp.
Cho đến nay, nguyên nhân chính xác của hội chứng bất thường này vẫn chưa được biết rõ nhưng có nhiều cơ chế giải thích bệnh bao gồm suy mạch máu, viêm hoặc thoái hóa các mô liên kết và sự phát triển bất thường của dây thần kinh đặc biệt là yếu tố di truyền.
Gần đây có một số nghiên cứu chỉ ra mối liên hệ giữa bệnh nến xương và hội chứng Buschke-Ollendorff (bệnh nến xương kết hợp với nevi mô liên kết lan tỏa) đã hỗ trợ giả thuyết cho rằng bệnh nến xương và một số loạn sản xơ xương khác có thể có chung nguồn gốc.
Nguyên nhân di truyền được đa số các nhà nghiên cứu ủng hộ. Các đột biến trong gen MAP2K1 được ước tính là nguyên nhân gây ra khoảng một nửa số trường hợp mắc bệnh. Gen MAP2K1 mã hóa cho một protein được gọi là protein kinase MEK1. Protein này được tìm thấy trong nhiều loại tế bào, bao gồm cả tế bào xương. Nó là một thành phần của đường truyền tín hiệu RAS/MAPK.
Hệ thống tín hiệu này điều chỉnh sự tăng sinh, biệt hóa và di chuyển của tế bào. Tín hiệu RAS/MAPK cần thiết cho sự phát triển và hình thành xương. Các đột biến dẫn đến việc tạo ra một phiên bản hoạt động quá mức của protein kinase MEK1, giúp tăng cường tín hiệu RAS/MAPK trong mô xương.
Tín hiệu tăng lên ảnh hưởng đến việc điều hòa sự tăng sinh tế bào xương làm xương phát triển bất thường. Sự thay đổi gen này là một đột biến ngẫu nhiên không được truyền lại.

Bệnh nến xương là có thể không có triệu chứng hoặc có triệu chứng co cứng khớp hoặc đau mãn tính. Các biểu hiện liên quan phổ biến khác bao gồm phù nề, các mảng da tăng sắc tố, xơ cứng bì, khối u mạch máu,...
Nguyên nhân gây bệnh nến xương chưa được biết rõ và được cho là khiếm khuyết di truyền. Bệnh lý về cơ bản là sự tăng sinh bất thường của xương làm biến dạng đường viền của bề mặt màng xương.
Chẩn đoán được thực hiện trên phim chụp X-quang với hình ảnh "sáp nến chảy nhỏ giọt" cùng tình trạng tăng sinh xương dày đặc chạy dọc theo vỏ xương.
Bệnh nến xương do đột biến ngẫu nhiên xảy ra trong quá trình phát triển của thai nhi, vì vậy tất cả thai phụ đều có nguy cơ mang thai bị bệnh. Do đó sàng lọc phát hiện bệnh sớm vô cùng quan trọng và cần thiết cho mọi thai phụ.
Bệnh nến xương không phải ung thư, nhưng thường dẫn đến hạn chế chức năng nghiêm trọng như đau mãn tính; co cứng khớp và/hoặc cứng cơ, gân hoặc dây chằng và biến dạng chân tay, bàn tay hoặc bàn chân.
Hỏi đáp (0 bình luận)