Hoàn thành chương trình Thạc sĩ Y học cổ truyền tại Học viện Y dược học cổ truyền Việt Nam. Có nhiều năm kinh nghiệm làm việc trong lĩnh vực Cơ - Xương - Khớp và lĩnh vực Xét nghiệm.
:format(webp)/liet_day_than_kinh_so_III_nguyen_nhan_trieu_chung_va_dieu_tri_3_1_a42b19aa32.png)
:format(webp)/liet_day_than_kinh_so_III_nguyen_nhan_trieu_chung_va_dieu_tri_3_1_a42b19aa32.png)
Ngọc Châu
30/05/2025
Thạc sĩ - Bác sĩTrần Thị Mỹ Linh
Hoàn thành chương trình Thạc sĩ Y học cổ truyền tại Học viện Y dược học cổ truyền Việt Nam. Có nhiều năm kinh nghiệm làm việc trong lĩnh vực Cơ - Xương - Khớp và lĩnh vực Xét nghiệm.
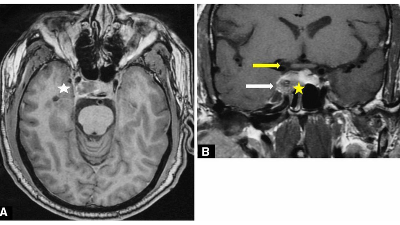
Tỷ lệ người bệnh mắc tình trạng liệt dây thần kinh số III được ước tính khoảng 4/100.000. Đây là một bệnh lý ảnh hưởng đến khả năng vận động của nhãn cầu. Nguyên nhân gây bệnh chủ yếu do các tổn thương tại não. Chẩn đoán sớm và điều trị kịp thời rất quan trọng trong việc phục hồi vận động của dây thần kinh số III.
Dây thần kinh số III, còn được gọi là dây thần kinh vận nhãn, là một trong 12 đôi dây thần kinh sọ. Dây thần kinh số III chi phối cho tất cả các cơ vận nhãn ngoại trừ cơ thẳng ngoài và cơ chéo trên, cùng với các dây thần kinh sọ khác kiểm soát các chuyển động (dây IV, dây VI). Ngoài ra, dây thần kinh số III cũng điều khiển cơ nâng mi và cung cấp hệ phó giao cảm cho cơ co đồng tử và cơ thể mi, hỗ trợ chức năng cảm giác của mắt.
Một số hoạt động của mắt do dây thần kinh số III kiểm soát gồm:
Liệt dây thần kinh số III hay còn gọi là liệt vận nhãn, xảy ra khi dây thần kinh sọ này bị tổn thương hoặc do các bệnh lý khác ảnh hưởng đến sự dẫn truyền thần kinh của nó. Trên thực tế, có một số trường hợp liệt dây thần kinh số III không hoàn toàn và gây ra những triệu chứng mơ hồ, khó có thể phát hiện và dễ bị bỏ qua.
:format(webp)/DAU_LIETDAYTHANKINHSO_3_CAROUSEL_240521_1_V1_d4334b57b5.png)
:format(webp)/DAU_LIETDAYTHANKINHSO_3_CAROUSEL_240521_2_V1_065ce9a530.png)
:format(webp)/DAU_LIETDAYTHANKINHSO_3_CAROUSEL_240521_3_V1_2a06194077.png)
:format(webp)/DAU_LIETDAYTHANKINHSO_3_CAROUSEL_240521_4_V1_254fe3a07a.png)
:format(webp)/DAU_LIETDAYTHANKINHSO_3_CAROUSEL_240521_5_V1_51942fd6ad.png)
:format(webp)/DAU_LIETDAYTHANKINHSO_3_CAROUSEL_240521_6_V1_da62b4f869.png)
:format(webp)/DAU_LIETDAYTHANKINHSO_3_CAROUSEL_240521_7_V1_e0108795a6.png)
:format(webp)/DAU_LIETDAYTHANKINHSO_3_CAROUSEL_240521_1_V1_d4334b57b5.png)
:format(webp)/DAU_LIETDAYTHANKINHSO_3_CAROUSEL_240521_2_V1_065ce9a530.png)
:format(webp)/DAU_LIETDAYTHANKINHSO_3_CAROUSEL_240521_3_V1_2a06194077.png)
:format(webp)/DAU_LIETDAYTHANKINHSO_3_CAROUSEL_240521_4_V1_254fe3a07a.png)
:format(webp)/DAU_LIETDAYTHANKINHSO_3_CAROUSEL_240521_5_V1_51942fd6ad.png)
:format(webp)/DAU_LIETDAYTHANKINHSO_3_CAROUSEL_240521_6_V1_da62b4f869.png)
:format(webp)/DAU_LIETDAYTHANKINHSO_3_CAROUSEL_240521_7_V1_e0108795a6.png)
Một số triệu chứng điển hình của liệt dây thần kinh số III bao gồm:

Liệt dây thần kinh số III là một dấu chứng thần kinh khu trú quan trọng khi đánh giá các tổn thương não bộ, đặc biệt là vùng thân não. Khi xuất hiện các triệu chứng của liệt dây thần kinh số III, cần đặc biệt lưu ý đến tình trạng tri giác của người bệnh vì có thể bệnh đang tiến triển:
Vẫn còn nhiều người bệnh chủ quan với những triệu chứng của liệt dây thần kinh số 3 như mắt lác, nhìn đôi hoặc sụp mi, nghĩ rằng chúng khá quen thuộc và sẽ tự khỏi. Tuy nhiên, bạn cần được bác sĩ đánh giá sớm mức độ tổn thương và các vấn đề thần kinh liên quan vì có thể đây là một trong những dấu hiệu khởi đầu của các bệnh lý thần kinh nghiêm trọng.
Liệt dây thần kinh số III có thể do bẩm sinh hoặc mắc phải. Nguyên nhân của liệt dây thần kinh số III do bẩm sinh cho đến nay vẫn chưa xác định được. Tuy nhiên, các nguyên nhân mắc phải dẫn đến liệt dây thần kinh số III đã được biết đến bao gồm:

Liệt dây thần kinh số III có thể gây hôn mê, phình động mạch não bị vỡ và gây xuất huyết não, chết não, nhồi máu chuyển sang xuất huyết não.
Liệt dây thần kinh số III được điều trị bằng phẫu thuật, liệu pháp thị giác, sử dụng kính lăng trụ, châm cứu kết hợp xoa bóp, sử dụng vitamin nhóm B (vitamin B1, vitamin B6, vitamin B12).
Liệt dây thần kinh số III có thể bị mờ mắt, lác mắt, sụp mí mắt, đồng tử giãn, song thị, đau đầu hoặc đau mắt.
Dây thần kinh số III bị liệt có thể do đột quỵ não, viêm não, viêm dây thần kinh, thiếu máu cục bộ vi mạch, u não, u màng não chèn ép,...
Những người có nguy cơ bị liệt dây thần kinh số III gồm bệnh nhân tăng huyết áp, rối loạn lipid máu, đái tháo đường, viêm mạch máu, viêm não, nhiễm trùng, chấn thương đầu, nhất là chấn thương ở vùng cổ gáy.
Những điều cần biết khi chăm sóc người bị liệt dây thần kinh tại nhà
Liệt dây thần kinh III - Triệu chứng và cách điều trị
Mắt lé bất thường? Đừng chủ quan - Đó có thể là dấu hiệu liệt dây thần kinh số VI!
Những điều cần biết khi chăm sóc người bị liệt dây thần kinh tại nhà
Liệt dây thần kinh III - Triệu chứng và cách điều trị
Mắt lé bất thường? Đừng chủ quan - Đó có thể là dấu hiệu liệt dây thần kinh số VI!
Hỏi đáp (0 bình luận)