Hoàn thành chương trình Thạc sĩ Y học cổ truyền tại Học viện Y dược học cổ truyền Việt Nam. Có nhiều năm kinh nghiệm làm việc trong lĩnh vực Cơ - Xương - Khớp và lĩnh vực Xét nghiệm.
:format(webp)/Hypophosphatasia_s1_c23cf14adc.png)
:format(webp)/Hypophosphatasia_s1_c23cf14adc.png)
05/11/2025
Thạc sĩ - Bác sĩTrần Thị Mỹ Linh
Hoàn thành chương trình Thạc sĩ Y học cổ truyền tại Học viện Y dược học cổ truyền Việt Nam. Có nhiều năm kinh nghiệm làm việc trong lĩnh vực Cơ - Xương - Khớp và lĩnh vực Xét nghiệm.
Bệnh Hypophosphatasia (HPP) bẩm sinh là tình trạng giảm hoặc không có emzym phosphatase kiềm trong máu do đột biến gen mã hoá phosphatse kiềm không đặc hiệu (TNSALP). Vì nồng độ enzym phosphatase kiềm trong huyết thanh thấp hoặc không có dẫn tới canxi không lắng đọng vào trong xương dẫn tới mật độ xương thấp và tăng calci máu. Thiếu phosphatase kiềm cũng dẫn tới sự thiếu hụt thiếu vitamin B6 gây co giật toàn thể. Bệnh thường gây tử vong lúc mới sinh, nếu người mắc bệnh còn sống thường có những dị dạng xương và tầm vóc ngắn.
Bệnh Hypophosphatasia (HPP) còn có các tên gọi khác như giảm phosphat, phosphoetanolamin niệu, Bệnh Rathbun, HOPS,... Hypophosphatasia là một rối loạn di truyền được đặc trưng bởi sự khoáng hóa xương và răng bị khiếm khuyết cũng như sự thiếu hụt hoạt động phosphatase kiềm trong huyết thanh và xương (AP).
Dựa trên điều tra tại một bệnh viện nhi ở Hoa Kỳ tỷ lệ sinh mắc chứng giảm phosphat nặng ở trẻ sơ sinh được ước tính là 1/100 000. Tỷ lệ mắc các dạng vừa có mức ảnh hưởng trung bình chưa được ước tính nhưng dự kiến sẽ cao hơn nhiều tỉ lệ trên.
:format(webp)/Hypophosphatasia_1_ca6043059c.png)
:format(webp)/Hypophosphatasia_2_b87734f1df.png)
:format(webp)/Hypophosphatasia_3_308a8bf2c9.png)
:format(webp)/Hypophosphatasia_4_9f1d197603.png)
:format(webp)/Hypophosphatasia_5_c414da5114.png)
:format(webp)/Hypophosphatasia_6_685b26e91f.png)
:format(webp)/Hypophosphatasia_7_2dc16bacfa.png)
:format(webp)/Hypophosphatasia_1_ca6043059c.png)
:format(webp)/Hypophosphatasia_2_b87734f1df.png)
:format(webp)/Hypophosphatasia_3_308a8bf2c9.png)
:format(webp)/Hypophosphatasia_4_9f1d197603.png)
:format(webp)/Hypophosphatasia_5_c414da5114.png)
:format(webp)/Hypophosphatasia_6_685b26e91f.png)
:format(webp)/Hypophosphatasia_7_2dc16bacfa.png)
Biểu hiện lâm sàng bao gồm từ thai chết lưu mà không có “xương khoáng hóa” đến gãy xương bệnh lý chỉ phát triển ở cuối tuổi trưởng thành. Tùy thuộc vào độ tuổi chẩn đoán có sáu dạng lâm sàng hiện được công nhận: Chu sinh (gây chết), trẻ sơ sinh, thời thơ ấu, người lớn, odontohypophosphatasia và một dạng trước sinh lành tính hiếm gặp được phát hiện trong tử cung nhưng tiên lượng tốt hơn nhiều so với các dạng trước khi sinh khác.
Tuy nhiên, cần lưu ý rằng các phân nhóm lâm sàng này chồng chéo lên nhau về mặc triệu chứng lâm sàng. Ví dụ như chứng giảm phosphat ở trẻ sơ sinh và trẻ nhỏ có chung một số triệu chứng lâm sàng và bệnh nhân mắc chứng giảm phosphat ở người trưởng thành thường có một số triệu chứng lâm sàng ở thời thơ ấu.

Dạng chu sinh gây chết thai có biểu hiện rõ rệt tình trạng khoáng hóa xương bị suy giảm trong tử cung. Chúng có các gai xương sụn được bao phủ bởi da nhô ra từ cẳng tay hoặc chân. Những gai này thường được chẩn đoán là chứng giảm phosphat.
Một số trẻ sơ sinh sống sót được vài ngày nhưng tử vong ngay sau đó vì mắc các biến chứng hô hấp do thiểu sản phổi và biến dạng lồng ngực. Các triệu chứng khác bao gồm ngưng thở, động kinh và các xương bị rút ngắn chiều dài.
Dạng lành tính trước khi sinh mặc dù có các triệu chứng trước khi sinh nhưng vẫn có sự cải thiện các khuyết tật về xương dù không cần điều trị. Các bệnh nhân có biểu hiện chân tay ngắn, cong vẹo và thường có lúm đồng tiền che phủ các biến dạng xương dài và một số kết quả siêu âm cho thấy sự cải thiện dần dần các dị tật xương và tình trạng khoáng hóa trong ba tháng thứ ba của thai kỳ.
Bệnh nhân ở dạng trẻ sơ sinh có thể trông bình thường khi mới sinh. Tuy nhiên, các dấu hiệu lâm sàng của chứng giảm phosphat sẽ xuất hiện trong sáu tháng đầu. Dạng này cũng có các biến chứng về hô hấp do biến dạng xương ở ngực. Chụp X quang cho thấy sự khử khoáng lan rộng. Tăng canxi máu cũng xuất hiện kèm bú kém, chán ăn, nôn mửa, hạ huyết áp, khát nước, đa niệu, mất nước và táo bón. Tăng bài tiết canxi có thể dẫn đến tổn thương thận.
Ở những trẻ sơ sinh sống sót thường cải thiện tự cải thiện quá trình khoáng hóa và các triệu chứng lâm sàng trên. Tầm vóc thấp ở tuổi trưởng thành và mất răng sữa sớm,… cũng là những biểu hiện lâm sàng xuất hiện muộn.
Dạng thời thơ ấu được đặc trưng bởi các dị tật về xương, tầm vóc thấp bé và dáng đi lạch bạch.
Dạng trưởng thành xuất hiện ở tuổi trung niên. Triệu chứng than phiền đầu tiên có thể là đau bàn chân hay đùi nguyên nhân là do gãy xương bàn chân. Ngoài ra người mắc bệnh còn có xu hướng mắc bệnh canxi hóa sụn và bệnh lý xương khớp.
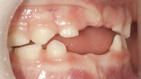
Dạng Odontohypophosphatasia được đặc trưng bởi tình trạng rụng răng sữa sớm dù đã có chân răng hoàn chỉnh và/hoặc sâu răng nghiêm trọng. X-quang xương hàm cho thấy xương ổ răng bị tiêu giảm, buồng tủy to và ống tủy mở rộng.
Các dạng giảm phosphat xuất hiện ở thời thơ ấu hoặc tuổi trưởng thành thường ít nghiêm trọng hơn so với những dạng xuất hiện ở trẻ nhỏ. Dạng odontohypophosphatasia ở người trưởng thành chỉ ảnh hưởng đến răng và có tuổi thọ bình thường.
Dạng chu sinh hầu như luôn tử vong trong vòng vài ngày hoặc vài tuần. Khoảng một nửa số bệnh nhân mắc bệnh dạng trẻ sơ sinh do biến chứng suy hô hấp cấp dẫn đến tử vong. Các biến chứng khác có thể kể đến bao gồm:

Nếu bạn hoặc con bạn có các triệu chứng của HPP bạn nên đến khám bác sĩ ngay để được chẩn đoán sớm và điều trị kịp thời.
Sự di truyền của bệnh này rất phức tạp do kiểu di truyền khác nhau (di truyền trội trên nhiễm sắc thể thường hoặc di truyền lặn trên nhiễm sắc thể thường). Bệnh này là do đột biến gen phosphatase kiềm ở gan/xương/thận (ALPL) mã hóa phosphatase kiềm không đặc hiệu cho mô (TNAP). Chẩn đoán bệnh dựa trên các xét nghiệm sinh hóa máu và giải trình tự DNA của gen ALPL.
Hoạt tính phosphatase kiềm (AP) trong huyết thanh giảm rõ rệt ở tình trạng giảm phosphatase, trong khi phosphoetanolamine (PEA) trong nước tiểu tăng lên. Bằng cách sử dụng phương pháp giải trình tự DNA có khoảng 95% đột biến được phát hiện ở tình trạng giảm phosphat nặng (chu sinh và trẻ sơ sinh).
Trẻ mắc bệnh HPP thường gặp tình trạng răng rụng sớm bất thường, đặc biệt là răng sữa. Răng thường yếu, men răng dễ bị tổn thương, và lợi không đủ chắc chắn để giữ răng. Tình trạng này không chỉ ảnh hưởng đến thẩm mỹ mà còn gây khó khăn trong việc nhai và phát âm.
Hypophosphatasia (HPP) bẩm sinh có nhiều thể, bao gồm thể sơ sinh, thể trẻ em, thể vị thành niên, thể người lớn và thể chỉ ảnh hưởng đến răng. Thể sơ sinh là nghiêm trọng nhất, gây suy hô hấp và tử vong sớm. Thể trẻ em thường liên quan đến chậm phát triển và gãy xương thường xuyên, trong khi thể vị thành niên và người lớn thường biểu hiện nhẹ hơn nhưng có thể gây đau xương mãn tính.
Bệnh có tính di truyền và thường liên quan đến đột biến gen ALPL. Nguy cơ tăng cao nếu cả cha và mẹ đều mang gen đột biến. Ngoài ra, một số yếu tố môi trường hoặc chế độ dinh dưỡng không phù hợp có thể làm trầm trọng thêm các triệu chứng bệnh.
Trẻ mắc bệnh cần nhận được sự hỗ trợ tâm lý từ gia đình và đội ngũ y tế. Cha mẹ cần động viên, hỗ trợ trẻ tham gia các hoạt động phù hợp và tạo môi trường an toàn. Việc kết nối với các nhóm hỗ trợ bệnh nhân HPP cũng giúp trẻ tự tin hơn trong cuộc sống.
Việc theo dõi bao gồm kiểm tra định kỳ nồng độ enzyme alkaline phosphatase, tình trạng xương khớp và sức khỏe răng miệng. Vật lý trị liệu, kiểm soát cơn đau và duy trì chế độ dinh dưỡng giàu vitamin D và canxi cũng rất quan trọng. Đồng thời, bác sĩ sẽ đánh giá thường xuyên để ngăn ngừa biến chứng.
Hỏi đáp (0 bình luận)