Tốt nghiệp Đại học Y Hà Nội, có nhiều năm kinh nghiệm trong lĩnh vực chăm sóc sức khỏe da liễu, hiện tại đang công tác tại Trung tâm Tiêm chủng Long Châu.
Bác sĩNguyễn Văn Tường
Tốt nghiệp Đại học Y Hà Nội, có nhiều năm kinh nghiệm trong lĩnh vực chăm sóc sức khỏe da liễu, hiện tại đang công tác tại Trung tâm Tiêm chủng Long Châu.
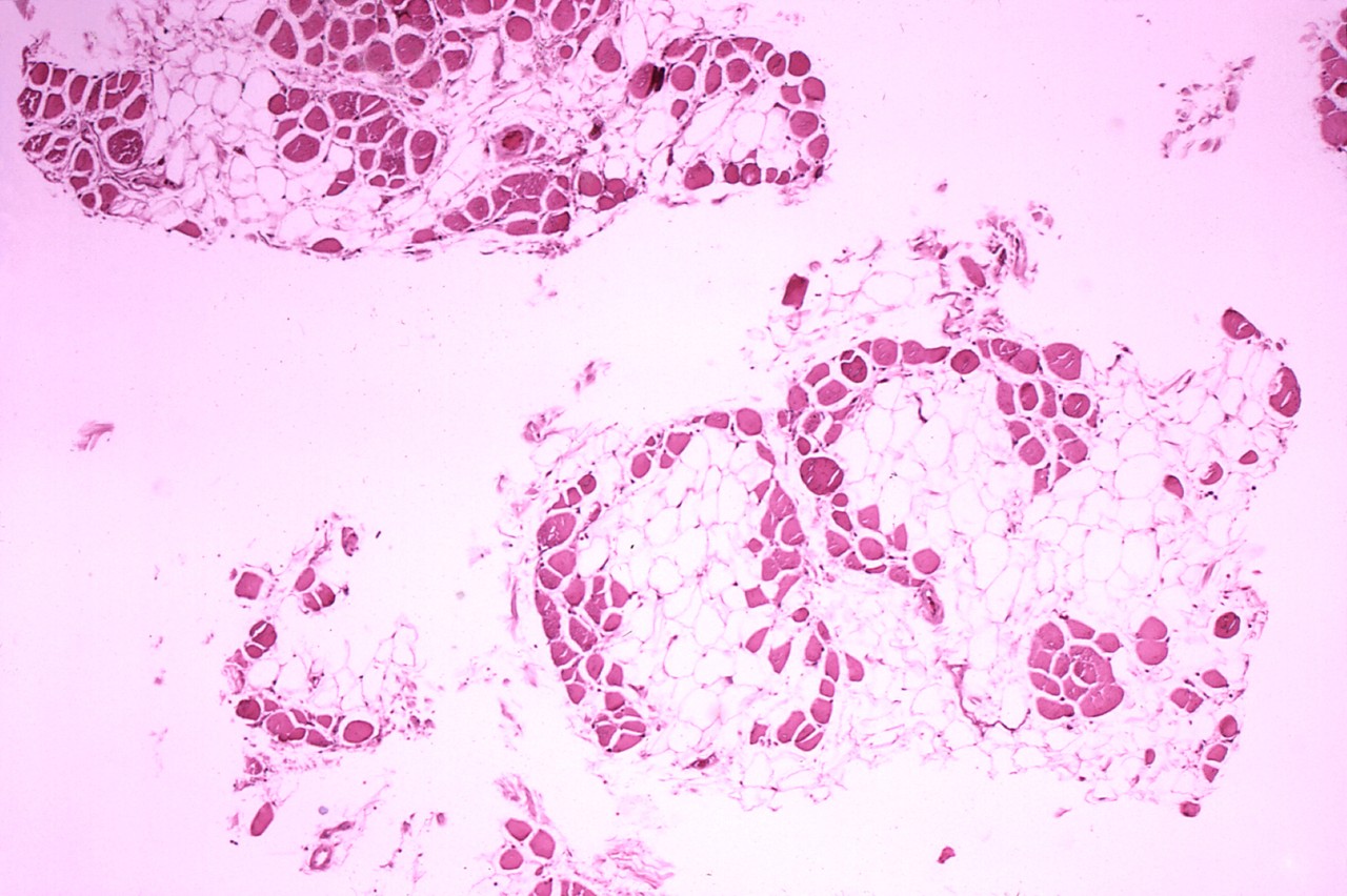
Loạn dưỡng cơ là tình trạng những cơ bị yếu do bệnh lý tiến triển, dẫn tới teo cơ và những biến chứng nguy hiểm như khó nuốt, cản trở hô hấp, rối loạn nhịp tim,… Loạn dưỡng cơ nguyên nhân thường do di truyền và có sự thúc đẩy của những yếu tố môi trường, dinh dưỡng. Vậy nguyên nhân nào gây ra loạn dưỡng cơ và điều trị như thế nào? Chúng ta có thể tham khảo bài viết dưới đây.
Loạn dưỡng cơ là một bệnh lý di truyền gây ra tình trạng cơ bị yếu dần và mất khối lượng. Người bệnh luôn cảm thấy ốm yếu và những cơ xương có nhiệm vụ điều khiển hoạt động đang thoái hóa dần.
Một số người bị loạn dưỡng cơ được biểu hiện rõ ràng từ lúc mới sinh ra hoặc phát triển trong thời thơ ấu. Một số khác thì phát triển muộn hơn ở trong thời kỳ trưởng thành. Hiện nay, vẫn chưa tìm ra cách điều trị tình trạng loạn dưỡng cơ. Tuy nhiên, thuốc và một số liệu pháp điều trị có thể giúp kiểm soát triệu chứng cũng như làm chậm diễn tiến của bệnh.
Có hơn 30 loại loạn dưỡng cơ khác nhau. Trong đó, một số loại loạn dưỡng cơ phổ biến là:
:format(webp)/19_loan_duong_co_9012_62bb_large_7e531b2006.png)
:format(webp)/19_loan_duong_co_8676_62bb_large_dee6b38afe.jpg)
:format(webp)/19_loan_duong_co_1821_62bb_large_3fef91ecf5.jpg)
:format(webp)/19_loan_duong_co_9012_62bb_large_7e531b2006.png)
:format(webp)/19_loan_duong_co_8676_62bb_large_dee6b38afe.jpg)
:format(webp)/19_loan_duong_co_1821_62bb_large_3fef91ecf5.jpg)
Triệu chứng chính của loạn dưỡng cơ chính là yếu cơ. Ngoài ra, tùy thuộc vào loại loạn dưỡng cơ cũng như những cơ quan bị ảnh hưởng mà người bệnh sẽ có những triệu chứng khác nhau, bao gồm:
Loạn dưỡng cơ thường ảnh hưởng tới cơ bắp, phổi và tim của người bệnh. Khi tình trạng bệnh tiến triển sẽ gây ra một số biến chứng như là:
Nếu có bất kỳ triệu chứng nào nêu trên xảy ra, bạn nên liên hệ ngay với bác sĩ để được kiểm tra và tư vấn. Chẩn đoán và điều trị sớm sẽ giảm nguy cơ tăng nặng của bệnh và giúp bạn mau chóng hồi phục sức khỏe.
Hàng ngàn gen chịu trách nhiệm về những protein quyết định tính toàn vẹn của cơ bắp. Khi một trong những gen này bị khiếm khuyết có thể gây ra tình trạng loạn dưỡng cơ. Nguyên nhân dẫn tới loạn dưỡng cơ thường do đột biến hoặc di truyền.
Rất hiếm khi một người phát triển tình trạng loạn dưỡng cơ một cách tự phát, tức là không rõ nguyên nhân.
https://my.clevelandclinic.org/health/diseases/14128-muscular-dystrophy
https://www.healthline.com/health/muscular-dystrophy#treatment
https://www.medicalnewstoday.com/articles/187618#causes
Loạn dưỡng cơ có thể gây yếu cơ và liệt dần dần, tùy thuộc vào loại và mức độ của bệnh. Các cơ bị ảnh hưởng sẽ trở nên yếu, dẫn đến khó khăn trong vận động. Nếu không được điều trị, tình trạng yếu cơ có thể tiến triển và gây liệt, đặc biệt là ở các cơ vận động chính như tay, chân.
Loạn dưỡng cơ có thể bẩm sinh hoặc phát triển dần dần trong suốt cuộc đời. Các dạng loạn dưỡng cơ bẩm sinh thường xuất hiện từ khi còn nhỏ, như bệnh loạn dưỡng cơ Duchenne, trong khi một số dạng khác có thể xuất hiện ở người trưởng thành. Các yếu tố di truyền đóng vai trò quan trọng trong sự phát triển của bệnh.
Hiện tại, loạn dưỡng cơ không có phương pháp chữa khỏi hoàn toàn. Tuy nhiên, có thể kiểm soát và làm chậm tiến triển của bệnh thông qua các phương pháp điều trị như vật lý trị liệu, thuốc và trong một số trường hợp, can thiệp phẫu thuật.
Đúng, loạn dưỡng cơ cần điều trị suốt đời để kiểm soát các triệu chứng và làm chậm sự tiến triển của bệnh. Tuy không chữa khỏi, nhưng điều trị đúng cách có thể kéo dài khả năng vận động và giảm thiểu các biến chứng.
Hầu hết các dạng loạn dưỡng cơ như bệnh loạn dưỡng cơ Duchenne và Becker, đều di truyền theo hình thức nhiễm sắc thể X. Điều này có nghĩa là bệnh thường ảnh hưởng đến nam giới nhiều hơn, vì nam chỉ có một nhiễm sắc thể X. Các dạng loạn dưỡng cơ khác cũng có thể di truyền theo các kiểu di truyền khác nhau như di truyền trội hoặc di truyền lặn.
Hỏi đáp (0 bình luận)