Tốt nghiệp chương trình Sau Đại học Chuyên khoa I Nhi khoa tại Đại học Y Hà Nội. Bác sĩ có hơn 15 năm kinh nghiệm trong lĩnh vực khám và điều trị các bệnh lý Nhi khoa.
:format(webp)/thoai_hoa_chat_trang_1_17229863a3.jpg)
:format(webp)/thoai_hoa_chat_trang_1_17229863a3.jpg)
Bác sĩ Chuyên khoa 1Nguyễn Thị Hương Lan
Tốt nghiệp chương trình Sau Đại học Chuyên khoa I Nhi khoa tại Đại học Y Hà Nội. Bác sĩ có hơn 15 năm kinh nghiệm trong lĩnh vực khám và điều trị các bệnh lý Nhi khoa.
Thoái hóa chất trắng là tổn thương chất trắng trong não do lưu lượng máu đến mô não giảm. Nó có thể gây ra các vấn đề về trí nhớ, sự cân bằng và khả năng di chuyển.
Chất trắng được tìm thấy khắp hệ thống thần kinh trung ương, nhưng phần lớn nằm ở bên trong não và tủy sống. Chất trắng được tạo thành từ một mạng lưới lớn các sợi thần kinh (sợi trục) trong não cho phép trao đổi thông tin và liên lạc giữa các vùng khác nhau trong não. Nó được gọi là “chất trắng” vì các sợi thần kinh được bao phủ trong một lớp vỏ bảo vệ gọi là myelin, giúp mô có màu trắng.
Để chất trắng của bạn hoạt động tốt, nó cần lưu lượng máu và chất dinh dưỡng tốt. Giảm lưu lượng máu (thiếu máu cục bộ) và chất dinh dưỡng đến chất trắng có thể gây tổn thương các sợi thần kinh (sợi trục) dẫn đến tình trạng sưng, gãy và mất hoàn toàn các sợi thần kinh. Giống như bãi cỏ có thể trông không khỏe mạnh nếu không được tưới nước và cung cấp chất dinh dưỡng (ánh sáng mặt trời và phân bón), não của bạn có thể bị tổn thương do lưu lượng máu kém và chế độ ăn uống không lành mạnh.
Bệnh thoái hóa chất trắng là một rối loạn tiến triển nặng dần, chủ yếu ảnh hưởng đến não và tủy sống (hệ thần kinh trung ương). Rối loạn này gây ra sự suy giảm chất trắng của hệ thần kinh trung ương. Bệnh thoái hóa chất trắng thường do các tổn thương mạch máu nhỏ. Tuy nhiên, cũng có rất nhiều nguyên nhân khác như di truyền, chấn thương, lão hóa, bệnh lý chuyển hóa,... Sự gia tăng tổn thương chất trắng trong hệ thần kinh làm tăng nguy cơ đột quỵ, suy giảm nhận thức, trầm cảm, khuyết tật và tử vong trong dân số.
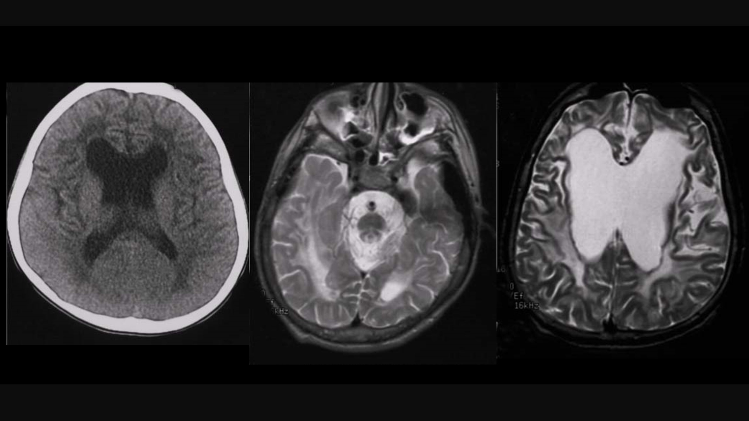
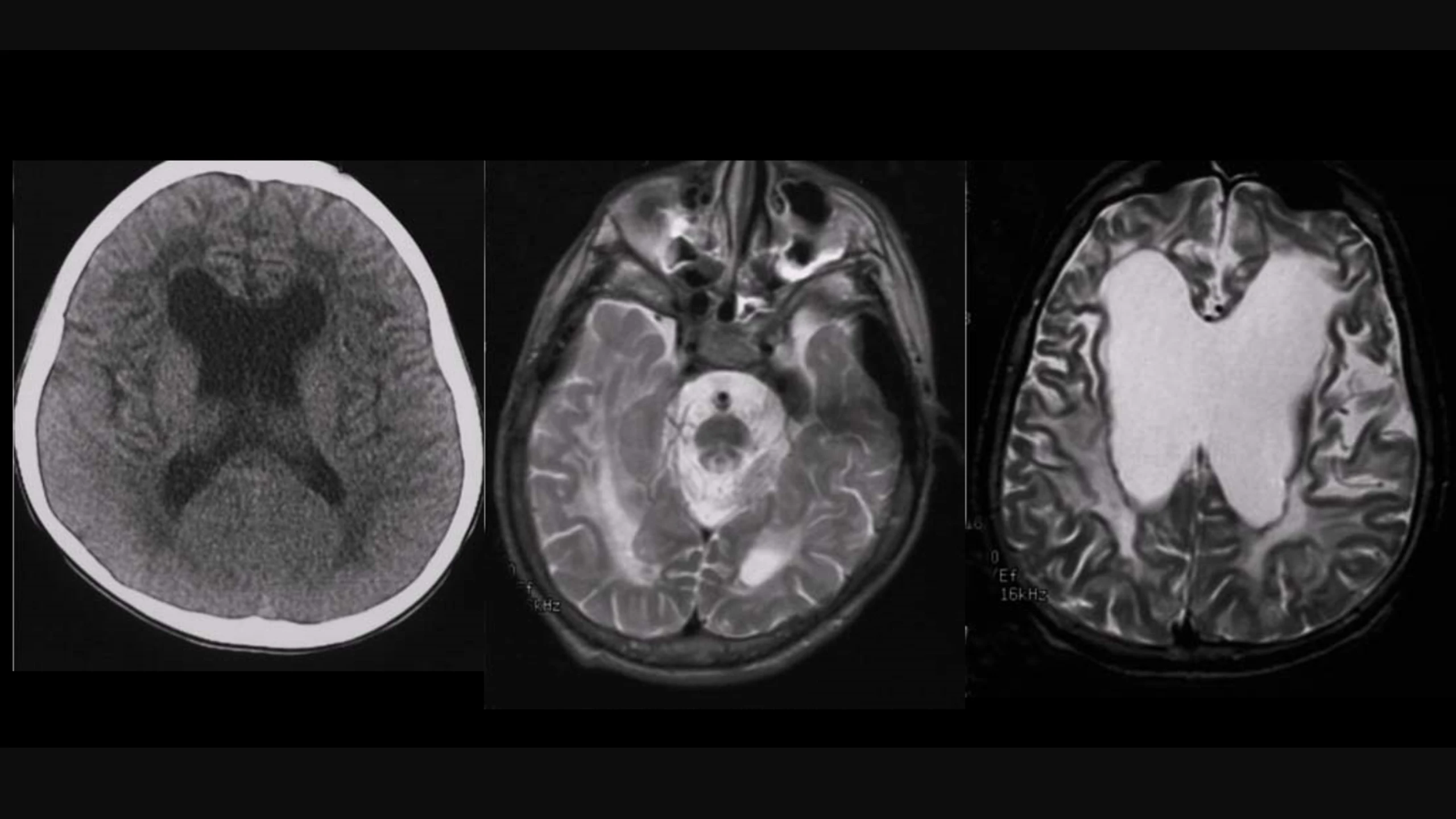
Các tổn thương chất trắng có thể được nhìn thấy bằng chụp cộng hưởng từ (MRI) với hình ảnh những điểm sáng trong não của bạn. Một số tổn thương chất trắng nếu nhỏ có thể không gây ra triệu chứng đáng chú ý. Nếu nhiều tổn thương chất trắng hơn sẽ biểu hiện nhiều triệu chứng hơn.
Bệnh thoái hóa chất trắng có thể ảnh hưởng đến bất kỳ ai, nhưng phổ biến hơn ở những người từ 60 tuổi trở lên và những người mắc bệnh tim mạch.
:format(webp)/DAU_THOAIHOACHATTRANG_CAROUSEL_240508_01_e0a9b2881a.jpg)
:format(webp)/DAU_THOAIHOACHATTRANG_CAROUSEL_240508_02_08748ada6e.jpg)
:format(webp)/DAU_THOAIHOACHATTRANG_CAROUSEL_240508_03_3902b212d1.jpg)
:format(webp)/DAU_THOAIHOACHATTRANG_CAROUSEL_240508_04_f62d79a6bb.jpg)
:format(webp)/DAU_THOAIHOACHATTRANG_CAROUSEL_240508_05_68556f0b11.jpg)
:format(webp)/DAU_THOAIHOACHATTRANG_CAROUSEL_240508_06_f8210674ab.jpg)
:format(webp)/DAU_THOAIHOACHATTRANG_CAROUSEL_240508_07_2e2014587f.jpg)
:format(webp)/DAU_THOAIHOACHATTRANG_CAROUSEL_240508_01_e0a9b2881a.jpg)
:format(webp)/DAU_THOAIHOACHATTRANG_CAROUSEL_240508_02_08748ada6e.jpg)
:format(webp)/DAU_THOAIHOACHATTRANG_CAROUSEL_240508_03_3902b212d1.jpg)
:format(webp)/DAU_THOAIHOACHATTRANG_CAROUSEL_240508_04_f62d79a6bb.jpg)
:format(webp)/DAU_THOAIHOACHATTRANG_CAROUSEL_240508_05_68556f0b11.jpg)
:format(webp)/DAU_THOAIHOACHATTRANG_CAROUSEL_240508_06_f8210674ab.jpg)
:format(webp)/DAU_THOAIHOACHATTRANG_CAROUSEL_240508_07_2e2014587f.jpg)
Ở một số người, thoái hóa chất trắng có thể không gây ra triệu chứng. Nếu tổn thương chất trắng nhiều có thể gây ra các dấu hiệu và triệu chứng gồm:

Khi bạn có bất kỳ triệu chứng nào của thoái hóa chất trắng, đặc biệt là các triệu chứng khó khăn trong đi lại, sinh hoạt hoặc trí nhớ giảm sút bất thường. Hãy đến gặp bác sĩ để được thăm khám và chẩn đoán chính xác. Bác sĩ cũng sẽ hướng dẫn bạn và người thân của bạn cách phòng ngừa mắc bệnh hoặc ngăn ngừa bệnh tiến triển nặng hơn.
Nguyên nhân thoái hóa chất trắng có thể chia ra thành 2 nhóm chính bao gồm nguyên nhân mạch máu và không mạch máu.
Nguyên nhân mạch máu bao gồm:
Nguyên nhân không liên quan đến mạch máu gây ra thoái hóa chất trắng bao gồm:

Để chẩn đoán bệnh thoái hóa chất trắng não, bác sĩ thường yêu cầu thực hiện chụp cộng hưởng từ (MRI) để quan sát rõ các tổn thương chất trắng trong não. Kết quả hình ảnh MRI cũng có thể giúp phát hiện các bất thường khác như khối u, xuất huyết não hoặc nhồi máu não. Ngoài ra, tùy vào từng trường hợp cụ thể mà bác sĩ có thể chỉ định thêm xét nghiệm như xét nghiệm lipid máu và đường huyết.
Bệnh thoái hóa chất trắng thường gặp ở người từ 60 tuổi trở lên nhưng cũng có thể xảy ra ở các lứa tuổi khác. Những người có nguy cơ cao bao gồm:
Hiện tại, bệnh thoái hóa chất trắng não chưa có phương pháp điều trị khỏi hoàn toàn. Mục tiêu chính của điều trị là làm chậm quá trình thoái hóa, ngăn bệnh tiến triển và giảm bớt triệu chứng cho người bệnh. Nếu người bệnh gặp vấn đề mất ngủ do thoái hóa chất trắng, có thể thực hiện các biện pháp sau:
Thoái hóa chất trắng trong não thường do các yếu tố di truyền chấn thương não hoặc quá trình lão hóa. Ở người trẻ, nguyên nhân chính có thể là loạn dưỡng tăng bạch cầu hoặc đa xơ cứng. Nghiên cứu cho thấy thoái hóa chất trắng tăng theo tuổi tác và liên quan đến bệnh lý tim mạch. Nó cũng dễ xuất hiện hơn ở những người có tiền sử đột quỵ, viêm mạch máu, cao huyết áp mạn, tiểu đường, Parkinson hoặc tăng cholesterol.
Thoái hóa chất trắng là bệnh liên quan đến lão hóa và khi tuổi tác tăng lên, bệnh thường trở nên nghiêm trọng hơn. Tuy không thể chữa khỏi hoàn toàn, bạn có thể làm chậm tiến trình bệnh và cải thiện chất lượng cuộc sống bằng cách:
Hỏi đáp (0 bình luận)