Tốt nghiệp chương trình Sau Đại học Chuyên khoa I Nhi khoa tại Đại học Y Hà Nội. Bác sĩ có hơn 15 năm kinh nghiệm trong lĩnh vực khám và điều trị các bệnh lý Nhi khoa.
/https://cms-prod.s3-sgn09.fptcloud.com/thoai_hoa_tieu_nao_1_5bd03b094c.jpg)
/https://cms-prod.s3-sgn09.fptcloud.com/thoai_hoa_tieu_nao_1_5bd03b094c.jpg)
Bác sĩ Chuyên khoa 1Nguyễn Thị Hương Lan
Tốt nghiệp chương trình Sau Đại học Chuyên khoa I Nhi khoa tại Đại học Y Hà Nội. Bác sĩ có hơn 15 năm kinh nghiệm trong lĩnh vực khám và điều trị các bệnh lý Nhi khoa.
Thoái hóa tiểu não là sự mất dần dần các tế bào thần kinh ở tiểu não, phần não chịu trách nhiệm về sự cân bằng và phối hợp vận động. Nếu không được chẩn đoán và điều trị sớm, bệnh sẽ gây ảnh hưởng nhiều đến hoạt động sinh hoạt và công việc hằng ngày, nếu nặng có thể mất hoàn toàn khả năng vận động.
Tiểu não là một phần của bộ não nằm ở phía sau đầu, ngay phía trên và phía sau nơi tủy sống kết nối với đại não. Tiểu não liên quan đến chức năng vận động tinh vi, thăng bằng, tư thế, ngôn ngữ cũng như kiểm soát cảm xúc như điều chỉnh phản ứng sợ hãi và khoái cảm.
Thoái hóa tiểu não là một quá trình trong đó các tế bào thần kinh trong tiểu não suy thoái và chết đi. Vì tiểu não góp phần phối hợp và điều hòa các hoạt động vận động, cũng như kiểm soát trạng thái cân bằng của cơ thể con người, nên bất kỳ tổn thương nào của tiểu não đều có thể gây ra các triệu chứng bao gồm dáng đi vụng về, khó giữ thăng bằng, cử động cơ không kiểm soát và nói ngọng.
Nhiều nguyên nhân có thể gây thoái hóa tiểu não, bao gồm lạm dụng rượu, đột quỵ, khối u ở tiểu não, bệnh đa xơ cứng, một số loại thuốc và rối loạn di truyền. Thoái hóa tiểu não liên quan đến rượu là phổ biến nhất. Các nghiên cứu cho thấy khoảng 12% đến 27% số người nghiện rượu có mắc thoái hóa tiểu não.
Thoái hóa tiểu não thường xảy ra ở những người trong độ tuổi từ 45 đến 65, tuy nhiên độ tuổi khởi phát triệu chứng sẽ khác nhau tùy theo nguyên nhân gây bệnh. Đối với thoái hóa tiểu não cận ung thư, độ tuổi khởi phát trung bình là 50 tuổi, thường ảnh hưởng đến nam giới nhiều hơn nữ giới.
Triển vọng sống lâu dài của bệnh nhân bị thoái hóa tiểu não sẽ khác nhau tùy theo nguyên nhân cơ bản của bệnh. Tuy nhiên hầu hết đều diễn biến xấu, tiến triển nặng dần và thường gây tử vong.
/https://cms-prod.s3-sgn09.fptcloud.com/DAU_THOAIHOATIEUNAO_CAROUSEL_240515_1_V3_d2a35057a2.png)
/https://cms-prod.s3-sgn09.fptcloud.com/DAU_THAIHOATIEUNAO_CAROUSEL_240515_2_V2_df1f3761ce.png)
/https://cms-prod.s3-sgn09.fptcloud.com/DAU_THAIHOATIEUNAO_CAROUSEL_240515_3_V2_f4f61621ca.png)
/https://cms-prod.s3-sgn09.fptcloud.com/DAU_THAIHOATIEUNAO_CAROUSEL_240515_4_V2_a5d02f0b45.png)
/https://cms-prod.s3-sgn09.fptcloud.com/DAU_THAIHOATIEUNAO_CAROUSEL_240515_5_V2_42f256794c.png)
/https://cms-prod.s3-sgn09.fptcloud.com/DAU_THAIHOATIEUNAO_CAROUSEL_240515_6_V2_103f67ec01.png)
/https://cms-prod.s3-sgn09.fptcloud.com/DAU_THAIHOATIEUNAO_CAROUSEL_240515_7_V2_224c1e79fb.png)
/https://cms-prod.s3-sgn09.fptcloud.com/DAU_THOAIHOATIEUNAO_CAROUSEL_240515_1_V3_d2a35057a2.png)
/https://cms-prod.s3-sgn09.fptcloud.com/DAU_THAIHOATIEUNAO_CAROUSEL_240515_2_V2_df1f3761ce.png)
/https://cms-prod.s3-sgn09.fptcloud.com/DAU_THAIHOATIEUNAO_CAROUSEL_240515_3_V2_f4f61621ca.png)
/https://cms-prod.s3-sgn09.fptcloud.com/DAU_THAIHOATIEUNAO_CAROUSEL_240515_4_V2_a5d02f0b45.png)
/https://cms-prod.s3-sgn09.fptcloud.com/DAU_THAIHOATIEUNAO_CAROUSEL_240515_5_V2_42f256794c.png)
/https://cms-prod.s3-sgn09.fptcloud.com/DAU_THAIHOATIEUNAO_CAROUSEL_240515_6_V2_103f67ec01.png)
/https://cms-prod.s3-sgn09.fptcloud.com/DAU_THAIHOATIEUNAO_CAROUSEL_240515_7_V2_224c1e79fb.png)
Các triệu chứng thoái hóa tiểu não có thể bao gồm:
Những người bị thoái hóa tiểu não cũng có thể bị rối loạn sức khỏe tâm thần như:

Nếu bạn nhận thấy bất kỳ triệu chứng nào của thoái hóa tiểu não, đặc biệt là các bất thường về thăng bằng, lời nói, thị lực, hãy liên hệ ngay với bác sĩ để được bác sĩ thăm khám và chỉ định các xét nghiệm giúp chẩn đoán và loại trừ các nguyên nhân nguy hiểm đến tính mạng của bạn.
Nguyên nhân sâu xa của tình trạng thoái hóa tiểu não có thể là do một loạt các tình trạng di truyền hoặc mắc phải (không di truyền), bao gồm các bệnh lý thần kinh, rối loạn cận ung thư, thiếu hụt dinh dưỡng và nghiện rượu.

Tính đến nay vẫn chưa có phương pháp điều trị những dạng di truyền của bệnh thoái hóa tiểu não. Vì thế, đây được xem là căn bệnh nguy hiểm cần được nhận biết và điều trị kịp thời.
Nếu tình trạng thoái hóa tiểu não không được phát hiện và điều trị kịp thời có thể dẫn đến những biến chứng như: Đột quỵ, teo não, bệnh não xốp, bệnh đa xơ cứng, rối loạn tâm thần, suy giảm chức năng nhận thức,...
Nếu thoái hóa tiểu não được phát hiện và điều trị sớm, bệnh sẽ không nguy hiểm đến tính mạng. Tuy nhiên, nếu được phát hiện ở giai đoạn muộn, khi bệnh đã chuyển sang giai đoạn nặng, bệnh nhân thường chỉ sống được từ 5 đến 10 năm tính từ lúc chẩn đoán bệnh.
Những người có độ tuổi khoảng 45 đến 65 tuổi thường mắc bệnh thoái hóa não. Tuy nhiên, tùy theo nguyên nhân gây bệnh mà độ tuổi khởi phát triệu chứng bệnh sẽ khác nhau. Ví dụ, đối với tình trạng thoái hóa tiểu não cận ung thư, trung bình ở độ tuổi 50 sẽ khởi phát bệnh.
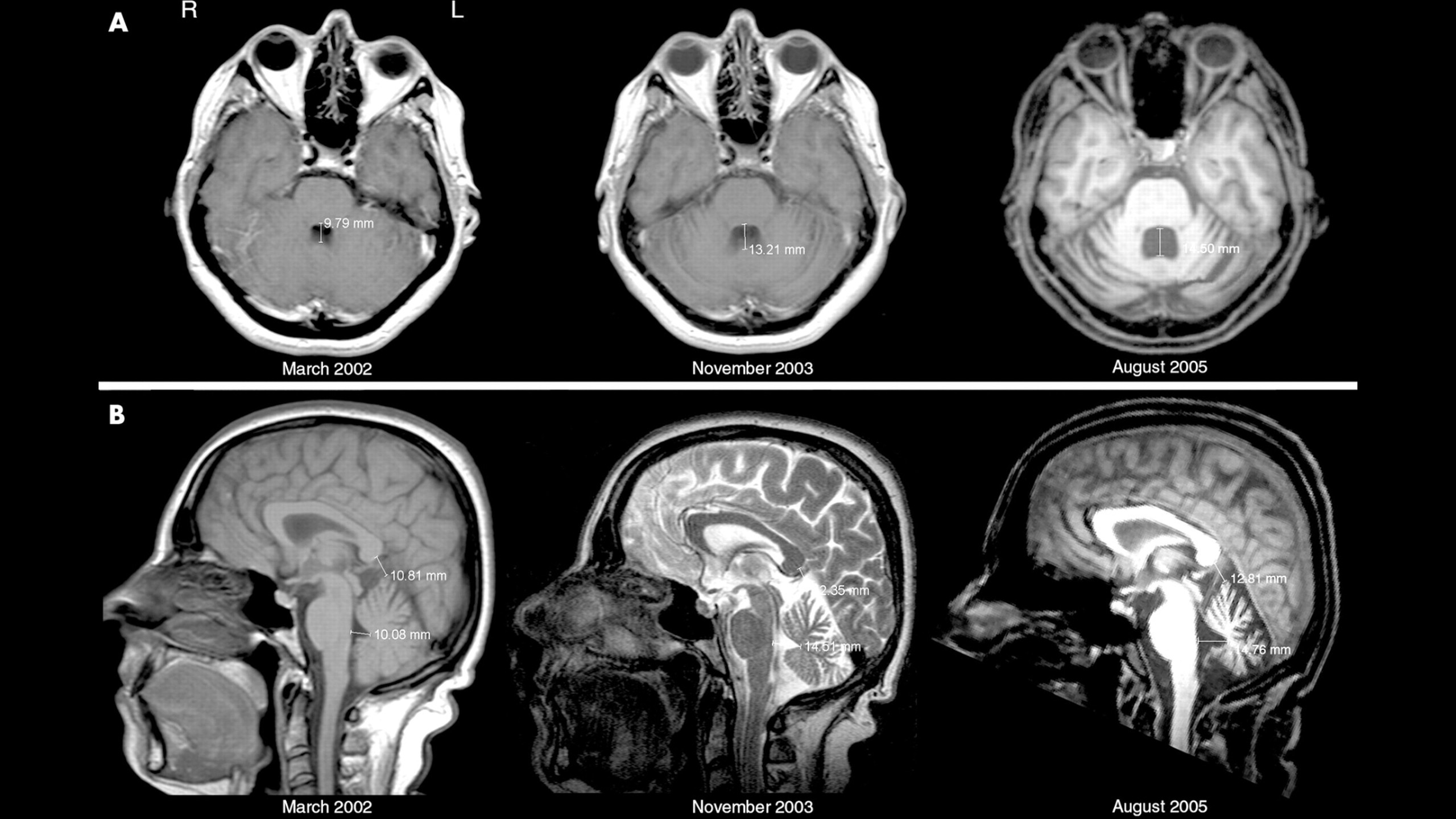
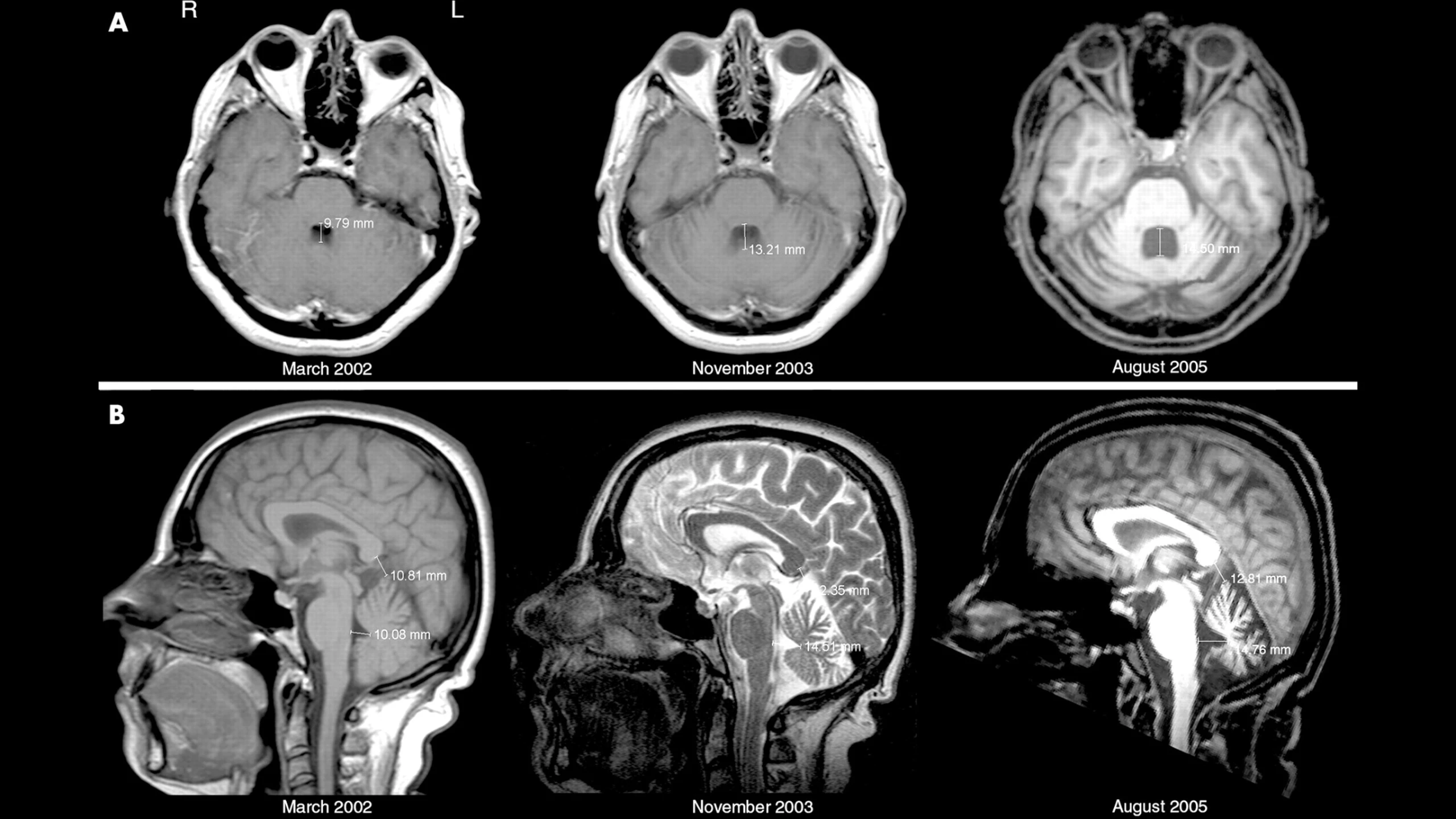
Khi có nghi ngờ thoái hóa tiểu não, bác sĩ sẽ tiến hành cho bệnh nhân chụp CT và MRI. Nếu có nghi ngờ viêm nhiễm ở tiểu não, bệnh nhân sẽ được làm xét nghiệm dịch não tủy. Bác sĩ cũng có thể cho bệnh nhân xét nghiệm tìm nồng độ của vitamin E, kháng thể chống ung thư như anti-Ri, anti-Yo,...
Hỏi đáp (0 bình luận)