Tốt nghiệp đại học Khoa Dược. Có kinh nghiệm hơn 10 năm trong lĩnh vực Dược phẩm, tư vấn thuốc và thực phẩm chức năng. Hiện đang là giảng viên cho Dược sĩ tại Nhà thuốc Long Châu.
Trang0225
07/11/2023
Mặc định
Lớn hơn
Hội chứng Down là bệnh liên quan đến di truyền. Hiện nay, có rất nhiều liệu pháp thể chất và phát triển được thiết kế để giúp những người mắc hội chứng Down phát huy hết khả năng của họ.
Bệnh Down là một hội chứng di truyền với nhiều triệu chứng đặc trưng. Nhiều bậc cha mẹ lo lắng khi phát hiện ra con mình mắc hội chứng này với câu hỏi “Bệnh Down có chữa được không? Phải chăm sóc trẻ Down như thế nào?”. Hãy cùng chúng tôi tìm giải đáp cho thắc mắc này qua bài viết dưới đây.
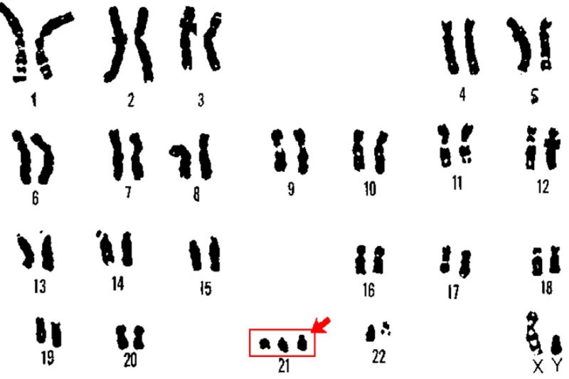
Hội chứng Down (trisomy 21) là một rối loạn di truyền do sự hiện diện của toàn bộ hay một phần bản sao thứ 3 của nhiễm sắc thể (NST) số 21.
Tên hội chứng được đặt theo John Langdon Down, một thầy thuốc đã mô tả hội chứng này vào năm 1866. Một số khía cạnh của hội chứng được mô tả trước đó bởi Jean-Étienne Dominique Esquirol vào năm 1838 và Édouard Séguin vào năm 1844. Nguyên nhân di truyền của hội chứng Down được phát hiện vào năm 1959.

Những người mắc hội chứng Down thường có một số đặc điểm chung về thể chất, ngoại hình khiến cho người khác có thể dễ dàng nhận ra. Những đặc điểm đó có thể bao gồm:
Nhiều người mắc hội chứng Down không có bất kỳ vấn đề sức khỏe nào khác, nhưng một số thì có. Các tình trạng phổ biến bao gồm các vấn đề về tim, giảm khả năng thính giác và thị giác.

Đối với hầu hết mọi người, mỗi tế bào trong cơ thể có 23 cặp nhiễm sắc thể. Mỗi nhiễm sắc thể trong một cặp đều có nguồn gốc khác nhau, từ bố và mẹ.
Nhưng với hội chứng Down, các tế bào nhận được thêm một bản sao của nhiễm sắc thể 21. Điều đó có nghĩa là có ba bản sao thay vì hai, dẫn đến các triệu chứng của hội chứng Down.
Phụ nữ từ 35 tuổi trở lên có nguy cơ sinh con mắc hội chứng Down cao hơn. Nếu trước đó, đã có tiền sử sinh con mắc hội chứng Down, thì khả năng bé tiếp theo mắc hội chứng Down sẽ tăng lên.
Mặc dù không phổ biến, nhưng hội chứng Down có thể di truyền từ cha mẹ sang con cái. Đôi khi, cha hoặc mẹ có hoán vị gen hoặc nhiễm sắc thể nhưng không biểu hiện thành bệnh, do đó, những nhiễm sắc thể mang gen chuyển vị này có thể được truyền cho con.

"Bệnh Down có chữa được không?" là thắc mắc phổ biến của phụ huynh trong quá trình tìm hiểu về căn bệnh này. Hội chứng Down không phải là tình trạng có thể được kiểm soát hoặc chữa khỏi bằng thuốc hoặc phẫu thuật. Do đó, mục tiêu của điều trị không phải là giải quyết hoàn toàn hội chứng, mà là giải quyết các vấn đề sức khỏe gây ra do bệnh Down, những thách thức về thể chất, phát triển và trí tuệ mà những người mắc hội chứng Down có thể gặp phải trong suốt cuộc đời của họ. Các phương pháp có thể bao gồm vật lý trị liệu, can thiệp sớm, các thiết bị hỗ trợ, sử dụng thuốc, và thậm chí cả phẫu thuật.
Trẻ em mắc hội chứng Down càng sớm nhận được sự quan tâm và chăm sóc cá nhân để giải quyết các vấn đề phát triển và sức khỏe cụ thể thì càng có nhiều khả năng phát huy hết tiềm năng của mình.
Can thiệp sớm thường bao gồm 3 loại trị liệu như sau:

Mục tiêu của cách tiếp cận nhiều này là giúp những người mắc chứng Down có thể sống độc lập nhất có thể khi trưởng thành.
Nhờ những tiến bộ công nghệ, ngày càng có nhiều thiết bị có thể giúp những người mắc hội chứng Down vượt qua những thử thách cá nhân một cách dễ dàng, chẳng hạn như máy trợ thính, kính… Ngoài ra, còn có các thiết bị hỗ trợ đặc biệt hữu ích cho việc học, bao gồm các vật dụng đơn giản như bút chì ba cạnh và kéo có lò xo dễ cầm và thao tác hơn, cho đến các thiết bị phức tạp hơn như máy tính có màn hình cảm ứng hoặc bàn phím có chữ cái lớn.
Nhiều vấn đề sức khỏe ảnh hưởng đến người mắc hội chứng Down có thể được kiểm soát bằng thuốc. Trong đó có suy giáp, khi đó, cần được bổ sung hormone tổng hợp (levothyroxine) bằng đường uống để kiểm soát tình trạng này.

Hội chứng Down cũng liên quan đến một số vấn đề sức khỏe có thể được điều trị bằng phẫu thuật. Ví dụ như bệnh tim bẩm sinh (khuyến vách ngăn nhĩ, hở van hai lá…), các vấn đề về đường tiêu hóa (Hẹp tá tràng, phình đại tràng bẩm sinh…)
Hiện nay, có rất nhiều các hỗ trợ và chăm sóc bé mắc hội chứng Down:
Thông tin trong bài viết đã cung cấp đến bạn đọc các nội dung xoay quanh thắc mắc "Bệnh down có chữa được không?" cũng như cách chăm sóc và hỗ trợ trẻ Down, qua đó hy vọng giúp mọi người hiểu hơn về căn bệnh này.
Xem thêm:
Dược sĩ Đại họcNguyễn Thị Hồng Nhung
Tốt nghiệp đại học Khoa Dược. Có kinh nghiệm hơn 10 năm trong lĩnh vực Dược phẩm, tư vấn thuốc và thực phẩm chức năng. Hiện đang là giảng viên cho Dược sĩ tại Nhà thuốc Long Châu.