• Thực phẩm chức năng

  • Dược mỹ phẩm

  • Thuốc

  • Chăm sóc cá nhân

  • Thiết bị y tế

  • Tiêm chủng

  • Bệnh & Góc sức khỏe

  • Hệ thống nhà thuốc

    1. /
    2. Góc sức khỏe/
    3. Phòng bệnh & Sống khoẻ

    Gai xương gót: Nguyên nhân, triệu chứng và cách điều trị

    Thu Ngân

    20/03/2025

    Kích thước chữ

    Gai xương gót là tình trạng đau nhức ở gót chân, khiến cho bạn khởi động ngày mới với sự đau đớn, khó chịu. Vậy đâu là nguyên nhân gây ra bệnh gai xương gót? Triệu chứng gai xương gót là gì và cách điều trị như thế nào? Hãy cùng Long Châu theo dõi bài viết dưới đây nhé.

    Gai xương gót hoặc gai gót chân là tình trạng đau viêm ở gót chân. Đây là bệnh rất hay gặp ở tuổi trung niên, cũng như đây là bệnh lý cơ xương khớp phổ biến.

    Bệnh gai xương gót là gì?

    Bệnh gai xương gót trong y học còn được gọi là viêm cân gan chân. Gai xương gót thường xảy ra ở tuổi trung niên cả nam và nữ. Theo cấu trúc giải phẫu ta thấy có lớp mô đệm ở vùng cân gan chân. Khi lớn tuổi, lớp mô đệm này mỏng đi, kém đàn hồi, sức nặng từ cơ thể đè nén lên vùng gót chân dẫn đến sự tổn thương ở gót chân. Từ đó dễ gây ra viêm cân gan chân và quá trình viêm xảy ra thì sẽ gây đau, khó đi lại.

    Cơ chế gây ra gai xương gót

    Khi chúng ta vận động chân nhiều, cũng như đi lại hoặc mang vác vật nặng trong thời gian dài, lực sẽ tập trung vào cơ vùng gan chân, làm căng cơ vùng này. Điều này lâu ngày sẽ dễ dẫn đến viêm gan chân. Khi nghỉ ngơi, cơ vùng gan chân giãn ra và sẽ không thấy đau nữa. Tuy nhiên lâu ngày cơ thể chúng ta sẽ tạo thành lớp calci khắc phục tình trạng tổn thương ở vùng gót chân. Từ đó dẫn đến gai xương gót.

    Nhóm người dễ mắc gai xương gót bao gồm:

    • Người ở độ tuổi từ 40 trở lên. Đặc biệt nguy cơ cao nếu kèm bệnh béo phì, thừa cân.
    • Những người thường xuyên vận động chân nhiều như vận động viên, hoặc làm các công việc mang vác nặng, đi lại nhiều.
    Gai xương gót: Nguyên nhân, triệu chứng và cách điều trị 1
    Bệnh gai xương gót thường xuất hiện ở tuổi trung niên trở đi

    Triệu chứng của gai xương gót

    Triệu chứng điển hình của bệnh gai xương gót là cảm giác thốn hoặc đau ở phía gót chân. Các cơn đau này thường xuất hiện đặc trưng vào buổi sáng. Đặc biệt cảm giác ngủ dậy bị đau gót chân này rất khó chịu, như bước lên gai sầu riêng khi đặt chân xuống giường. Tuy nhiên triệu chứng đau cũng xuất hiện khi ngồi lâu rồi đứng lên hoặc khi đi trên nền cứng, khi mang vác nặng. Triệu chứng đau này sẽ giảm sau khoảng 10 phút. Nhưng sẽ đau trở lại nếu có tác động vào vùng gót chân như mang vác vật nặng hay đi lại nhiều.

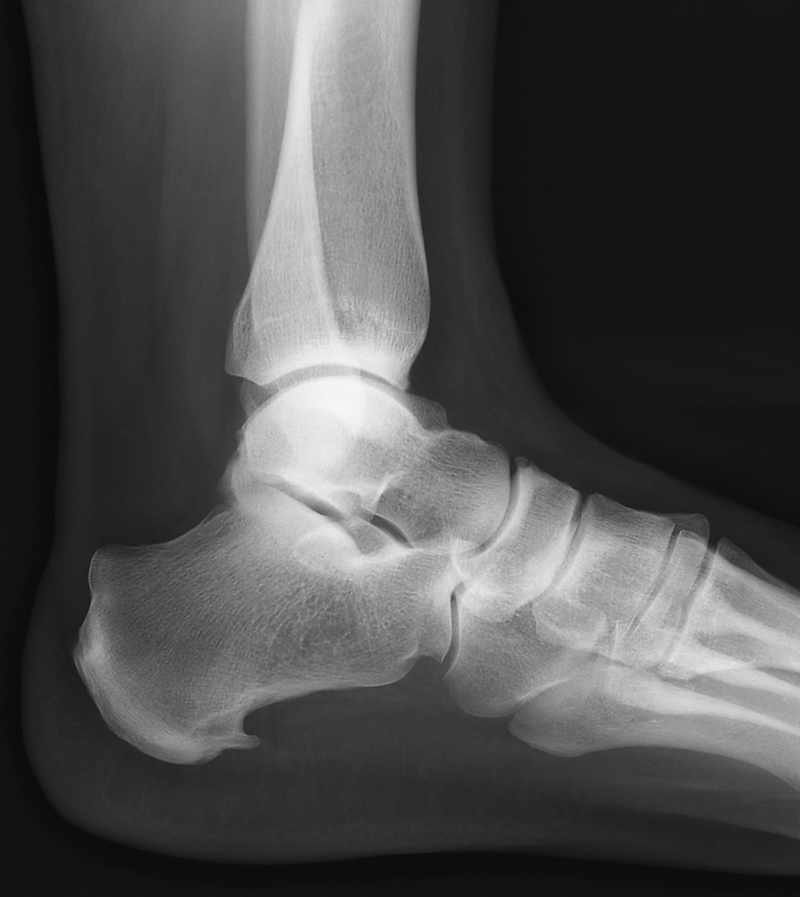
    Bác sĩ sẽ dùng X-quang để xác định có gai xương gót hay không. Nhưng kích thước của gai xương gót không quyết định cường độ đau, triệu chứng đau. Bởi vì có nhiều trường hợp không có gai xương gót trên phim X-quang vẫn đau. Hoặc ngược lại đã điều trị hết đau nhưng vẫn còn gai xương gót. Có trường hợp gai rất to nhưng người bệnh lại không cảm thấy đau gì cả, chỉ khi đi kiểm tra mới vô tình phát hiện ra có gai xương gót.

    Gai xương gót: Nguyên nhân, triệu chứng và cách điều trị 2
    Hình ảnh gai xương gót trên phim X quang

    Các triệu chứng của gai xương gót khác đặc trưng và không dễ nhầm lẫn với các bệnh lý khác. Ví dụ như bệnh viêm cột sống dính khớp cũng gây ra tình trạng đau ở gót chân. Tuy nhiên bệnh này lại kèm theo các triệu chứng khác chứ không đơn thuần là đau gót chân vào buổi sáng.

    Điều trị gai xương gót

    Việc điều trị gai xương gót sẽ được quyết định bởi bác sĩ chuyên khoa. Hiện tại phương pháp điều trị chủ yếu là điều trị nội khoa. Điều đó đồng nghĩa với việc bạn sẽ được kê các loại thuốc giảm đau, giảm viêm đường uống. Khi sử dụng các loại thuốc này sẽ phụ thuộc vào tình trạng bệnh lý đang mắc phải như huyết áp, đái tháo đường, viêm loét dạ dày,... Do đó khi được chỉ định phải tuyệt đối không được tự ý mua sử dụng, và phải tuân thủ đúng liều.

    Khi sử dụng các thuốc đường uống không hiệu quả, bác sĩ sẽ chỉ định corticoid đường tiêm. Mặc dù corticoid có tác dụng kháng viêm nhưng để hạn chế tác dụng phụ toàn thân nên sẽ không sử dụng đường uống. Việc dùng đường uống corticoid là không được khuyến cáo, phải hết sức thận trọng. Bởi vì các tác dụng không mong muốn gây ra bởi corticoid ảnh hưởng rất lớn đến sức khỏe của bạn.

    Lưu ý là các biện pháp điều trị nội khoa là do bác sĩ quyết định. Bạn nên đến bác sĩ thăm khám để có phương pháp điều trị tốt nhất. Tùy tình trạng mỗi người mà sẽ có các phương pháp điều trị khác nhau. Bạn không nên tự ý mua thuốc hoặc uống theo toa của người quen đang bị gai xương gót.

    Thời gian điều trị bao lâu cũng phụ thuộc vào tình trạng của mỗi người. Có thể từ 1 - 2 tuần, không kéo dài quá lâu. Phương pháp điều trị ngoại khoa không được khuyến cáo. Do đã phân tích ở trên là kích thước gai không ảnh hưởng đến tình trạng đau ít hay nhiều.

    Một số biện pháp điều trị hỗ trợ tại nhà

    Việc uống thuốc sẽ làm giảm các triệu chứng đau do viêm. Tuy nhiên tình trạng viêm có thể tái đi tái lại nhiều lần. Để tránh tình trạng này bạn có thể cần lưu ý một số vấn đề khi lựa chọn giày dép

    • Không nên đi chân trần ở mặt phẳng cứng. Nên chọn một đôi dép có đế mềm để mang trong nhà. Nên chọn đôi giày/dép có đế mềm cao khoảng 2 - 3 phân để giảm áp lực lên gót chân.
    • Không nên chọn giày búp bê đế bệt hoặc giày cao gót từ 7 phân. Bởi vì các đôi giày này không có độ đàn hồi, khi mang sẽ làm căng các gân gót chân, gây nghiêm trọng tình trạng gai xương gót.
    • Nên chọn đôi dép mềm để đi trong nhà.
    Gai xương gót: Nguyên nhân, triệu chứng và cách điều trị 3
    Nên chọn dép mềm đi trong nhà

    Ngoài ra bạn cũng nên thực hiện một số bài tập thả lỏng các cơ gân gót để giảm đau. Bạn nên khởi động các khớp chân, vươn chân để làm nóng các cơ. Tránh tình trạng đột ngột nhảy ra khỏi giường mỗi buổi sáng.

    Bạn có thể thực hiện các động tác xoay bàn chân, lắc chân để làm nóng cơ vùng đó lên. Hoặc bạn dựng đứng bàn chân lên kéo căng hết sức rồi kéo bàn chân về phía mình. Làm như vậy khoảng 5 - 10 lần để giảm đau.

    Chế độ dinh dưỡng cho người bị gai xương gót

    Nhiều người nghĩ rằng khi bị gai xương gót thì nên tránh tiêu thụ thực phẩm có chứa canxi. Bởi vì sẽ làm tăng kích thước của gai xương gót. Tuy nhiên không phải như vậy, việc gai xương gót to hay nhỏ không ảnh hưởng đến mức độ đau của bạn. Bạn là nên bổ sung đầy đủ chất dinh dưỡng cho cơ thể luôn khỏe mạnh, tăng cường sức đề kháng.

    Ngoài ra, bạn nên chú ý đến chế độ ăn cho cân đối do tình trạng thừa cân béo phì sẽ ảnh hưởng đến áp lực lên vùng gân gót. Bởi vì vùng gót chân sẽ chịu tải trọng của toàn bộ cơ thể khi hoạt động. Khi đó cân nặng của bạn càng lớn thì áp lực lên vùng gót chân càng lớn. Như vậy, bạn cần lưu ý là chọn chế độ ăn lành mạnh để kiểm soát cân nặng của mình nhé.

    gai-xuong-got-nguyen-nhan-trieu-chung-va-cach-dieu-tri-3
    Tập thể dục thường xuyên để kiểm soát cân nặng

    Qua bài viết trên, bạn đã biết được gai xương gót là gì và có thể điều trị như thế nào. Gai xương gót là bệnh có thể chữa được và không nguy hiểm đến tính mạng. Tuy nhiên bạn nên chú ý kết hợp uống thuốc và áp dụng các lưu ý từ bác sĩ khi điều trị. Ngoài ra bạn cũng có thể phòng ngừa bằng cách áp dụng các biện pháp hỗ trợ điều trị đã được nhắc đến trong bài viết nhé. Chúc bạn nhiều sức khỏe.

    Xem thêm:

    Thông tin và sản phẩm gợi ý trong bài viết chỉ mang tính chất tham khảo, vui lòng liên hệ với Bác sĩ, Dược sĩ hoặc chuyên viên y tế để được tư vấn cụ thể. Xem thêm

    Dược sĩ Đại họcTrần Huỳnh Minh Nhật

    Đã kiểm duyệt nội dung

    Dược sĩ chuyên khoa Dược lý - Dược lâm sàng. Tốt nghiệp 2 trường đại học Mở và Y Dược TP. Hồ Chí Minh. Có kinh nghiệm nghiên cứu về lĩnh vực sức khỏe, đạt được nhiều giải thưởng khoa học. Hiện là Dược sĩ chuyên môn phụ trách xây dựng nội dung và triển khai dự án đào tạo - Hội đồng chuyên môn tại Nhà thuốc Long Châu.

    Xem thêm thông tin