Dược sĩ Đại học có nhiều năm kinh nghiệm trong việc tư vấn Dược phẩm và hỗ trợ giải đáp thắc mắc về Bệnh học. Hiện đang là giảng viên cho Dược sĩ tại Nhà thuốc Long Châu.
Kim Ngân
23/10/2024
Mặc định
Lớn hơn
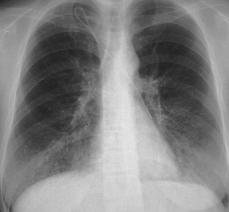
Thâm nhiễm phổi chỉ mức độ tổn thương trong giai đoạn lao phổi thứ phát hoặc khi khoảng không khí trong phế nang bị lấp đầy bởi các dịch tiết, mủ,... Tình trạng này dễ gặp ở bệnh nhân viêm phổi và lao phổi. Dấu hiệu tổn thương không có biểu hiện rõ ràng bên ngoài và cần phải chụp Xquang mới có thể phát hiện.
Tại Việt Nam, lao phổi là bệnh truyền nhiễm có tỷ lệ người mắc bệnh cao nhất nhì, nguy hiểm hơn vi khuẩn gây ra bệnh phổi còn có khả năng tấn công nhiều cơ quan khác gây ảnh hưởng đến tính mạng người bệnh. Bài viết sau đây sẽ giúp bạn tìm hiểu về mức độ tổn thương của phổi ở các giai đoạn, nổi bật là tình trạng thâm nhiễm phổi trong giai đoạn lao thứ phát.
Lao phổi từ lâu đã trở thành căn bệnh hô hấp nổi tiếng về mức độ nguy hiểm cùng với tốc độ lây lan cực kỳ nhanh trong môi trường không khí. Bệnh do vi khuẩn lao Mycobacterium Tuberculosis (MTB) gây ra và chúng sẽ ủ bệnh trong cơ thể một thời gian nên giai đoạn đầu rất khó phát hiện ra bệnh. Vì thế rất dễ lây lan qua đường nói chuyện trực tiếp, bắn nước bọt hoặc hít không khí có vi khuẩn do tiếp xúc gần.
Bệnh lao thường được chia thành lao nguyên phát và lao thứ phát, bao gồm:

Cách chẩn đoán mức độ tổn thương của phổi thường là hình ảnh chụp Xquang và CT phổi có thể dùng thuốc cản quang hoặc không và chụp độ phân giải cao.
Bác sĩ sẽ dựa vào hình ảnh của phim để đưa ra chẩn đoán mức độ tổn thương tùy theo thể lao hoặc các giai đoạn của bệnh lao.
Như đã đề cập lao nguyên phát dễ gặp ở nhóm trẻ em từ 1 - 5 tuổi và ở người lớn tuổi.
Giai đoạn lao phổi thứ phát có thể phát hiện những tổn thương nghiêm trọng ở phổi như:

Thâm nhiễm phổi là thuật ngữ được sử dụng để mô tả dấu hiệu tổn thương của phổi trên hình ảnh phim khi khoảng không khí trong phế nang bị lấp đầy bởi chất đặc hơn như dịch tiết từ phản ứng viêm bạch cầu, từ máu, từ mủ, từ dịch phù phổi hoặc từ các chất trong phản ứng miễn dịch,... làm tăng cảm giác về gia tăng mật độ của mô mềm trên vùng phế trường.
Bệnh thâm nhiễm phổi chiếm 5% các bệnh về đường hô hấp và người bệnh sẽ có các biểu hiện đặc trưng sau: Ho nhiều và kéo dài, khó thở, dễ sốt cao, tần suất khó thở và xơ phổi cũng xuất hiện nhiều.
Theo chẩn đoán lâm sàng, các triệu chứng bất thường về chức năng hô hấp như thiếu oxy lên máu, giảm tối đa áp lực hít vào, hội chứng giới hạn với giảm sự khuếch tán khí CO2,... Khi chụp Xquang và CT, bác sĩ sẽ đưa ra chẩn đoán dựa trên hình ảnh những vết mờ ở đáy phổi, hình ảnh tổ ong và các dải mờ mở rộng.

Hiện nay phương pháp phòng ngừa bệnh lao phổi hiệu quả nhất đó là chích ngừa vắc xin lao (BCG) với lợi ích giúp tạo miễn dịch chủ động cho cơ thể từ lúc chưa tiếp xúc với vi khuẩn. Ngoài việc chích ngừa vắc xin BCG, bản thân mỗi chúng ta cần chủ động bảo vệ mình qua các thói quen hàng ngày như:
Hy vọng qua bài viết bạn đọc sẽ hiểu được thâm nhiễm phổi của bệnh lao phổi (ho lao) là căn bệnh về hô hấp hiện rất phổ biến, mặc dù bệnh có thể chữa trị được nhưng sẽ mất nhiều thời gian và đặc biệt có mức độ nguy hiểm cao nếu phát hiện bệnh trễ. Vì thế nếu nhận thấy bản thân có bất kỳ dấu hiệu nào bất thường về hô hấp, bạn đọc nên đến ngay bệnh viện gần nhất để được kiểm tra, chẩn đoán và điều trị.
Xem thêm:
Dược sĩ Đại họcNguyễn Mỹ Huyền
Dược sĩ Đại học có nhiều năm kinh nghiệm trong việc tư vấn Dược phẩm và hỗ trợ giải đáp thắc mắc về Bệnh học. Hiện đang là giảng viên cho Dược sĩ tại Nhà thuốc Long Châu.