Tốt nghiệp chương trình Sau Đại học Chuyên khoa I Nhi khoa tại Đại học Y Hà Nội. Bác sĩ có hơn 15 năm kinh nghiệm trong lĩnh vực khám và điều trị các bệnh lý Nhi khoa.
:format(webp)/ap_luc_noi_so_1_1b2ec86b16.jpg)
:format(webp)/ap_luc_noi_so_1_1b2ec86b16.jpg)
Bác sĩ Chuyên khoa 1Nguyễn Thị Hương Lan
Tốt nghiệp chương trình Sau Đại học Chuyên khoa I Nhi khoa tại Đại học Y Hà Nội. Bác sĩ có hơn 15 năm kinh nghiệm trong lĩnh vực khám và điều trị các bệnh lý Nhi khoa.
Áp lực nội sọ bình thường khoảng 7 – 15 mmHg. Nếu tăng lớn hơn 20 mgHg được gọi là tăng áp lực nội sọ. Tăng áp lực nội sọ là một trường hợp khẩn cấp đe dọa tính mạng và cần được chăm sóc y tế ngay lập tức để ngăn ngừa tổn thương vĩnh viễn hoặc tử vong.
Áp lực nội sọ (ICP) là áp lực gây ra bởi dịch não tủy, mô não và máu bên trong hộp sọ. Thể tích não chiếm 80%, máu 10% và dịch não tủy chiếm 10% trong hộp sọ. Áp lực nội sọ được đo bằng milimet thủy ngân (mmHg), thường là 7-15 mmHg.
Tăng huyết áp nội sọ khi áp lực lực nội sọ ở mức lớn hơn 20 mmHg. Để hiểu rõ về tăng áp lực nội sọ, hãy nghĩ hộp sọ như một cái hộp cứng. Sau chấn thương não, hộp sọ có thể bị lấp đầy bởi mô não, máu hoặc dịch não tủy. Hộp sọ sẽ không căng ra như da để đối phó với những thay đổi này. Hộp sọ có thể trở nên quá đầy và làm tăng áp lực lên mô não. Điều này được gọi là tăng áp lực nội sọ.
Não là cơ quan quan trọng nhất trong cơ thể, nếu áp lực nội sọ càng cao thì nguy cơ thiếu máu lên não, thoát vị não càng lớn. Hậu quả là mô não dần chết đi và có thể nguy hiểm đến tính mạng.
Tăng áp lực nội sọ thường gặp trong các tình huống chấn thương sọ não, u não,… Tuy nhiên cũng có nhiều trường hợp có thể không tìm ra nguyên nhân, còn được gọi là tăng áp lực nội sọ vô căn, những người có nguy cơ mắc tăng áp lực nội sọ vô căn thường là phụ nữ 20-50 tuổi, béo phì, hội chứng Cushing, suy giáp hoặc cường giáp. Áp lực nội sọ tăng kéo dài trong tăng áp nội sọ vô căn có thể dẫn đến mất thị lực vĩnh viễn.
:format(webp)/DAU_APLUCNOISO_CAROUSEL_240522_1_V1_5d27441891.png)
:format(webp)/DAU_APLUCNOISO_CAROUSEL_240522_3_V1_3b8addacfc.png)
:format(webp)/DAU_APLUCNOISO_CAROUSEL_240522_2_V1_d34fe2ad9e.png)
:format(webp)/DAU_APLUCNOISO_CAROUSEL_240522_4_V1_7aef1c06e9.png)
:format(webp)/DAU_APLUCNOISO_CAROUSEL_240522_5_V1_5fe0c59bef.png)
:format(webp)/DAU_APLUCNOISO_CAROUSEL_240522_6_V1_8c32b69e65.png)
:format(webp)/DAU_APLUCNOISO_CAROUSEL_240522_7_V1_b6d536a66c.png)
:format(webp)/DAU_APLUCNOISO_CAROUSEL_240522_8_V1_e87d0f6e97.png)
:format(webp)/DAU_APLUCNOISO_CAROUSEL_240522_1_V1_5d27441891.png)
:format(webp)/DAU_APLUCNOISO_CAROUSEL_240522_3_V1_3b8addacfc.png)
:format(webp)/DAU_APLUCNOISO_CAROUSEL_240522_2_V1_d34fe2ad9e.png)
:format(webp)/DAU_APLUCNOISO_CAROUSEL_240522_4_V1_7aef1c06e9.png)
:format(webp)/DAU_APLUCNOISO_CAROUSEL_240522_5_V1_5fe0c59bef.png)
:format(webp)/DAU_APLUCNOISO_CAROUSEL_240522_6_V1_8c32b69e65.png)
:format(webp)/DAU_APLUCNOISO_CAROUSEL_240522_7_V1_b6d536a66c.png)
:format(webp)/DAU_APLUCNOISO_CAROUSEL_240522_8_V1_e87d0f6e97.png)
Trẻ sơ sinh:
Trẻ lớn hơn và người lớn:
Nếu bạn có bất kỳ dấu hiệu nào của tăng áp lực nội sọ, đặc biệt là đau đầu đột ngột, nôn vọt, hãy đến bệnh viện cấp cứu gần nhất để được bác sĩ thăm khám và điều trị kịp thời.
Tăng áp lực nội sọ là một vấn đề y tế nghiêm trọng và đe dọa tính mạng. Áp lực lớn có thể làm tổn thương não hoặc tủy sống bằng cách đè lên các cấu trúc quan trọng và hạn chế lưu lượng máu vào não. Nhiều tình trạng có thể làm tăng áp lực nội sọ. Các nguyên nhân phổ biến bao gồm:

Bất kỳ ai bị chấn thương vùng đầu do té ngã hoặc mắc tai biến mạch máu não đều có nguy cơ cao mắc chứng tăng áp lực nội sọ.
Nếu tình trạng tăng áp lực nội sọ kéo dài, não sẽ bị tổn thương khó hồi phục và tiên lượng sẽ trở nên xấu hơn. Đối với người bị hôn mê do chấn thương sọ não, thời gian tăng áp lực nội sọ càng kéo dài thì khả năng hồi phục càng thấp. Nếu không được can thiệp kịp thời, áp lực nội sọ sẽ tiếp tục gia tăng gây co giật, đột quỵ và dẫn đến tổn thương não không thể hồi phục. Một trong những biến chứng nghiêm trọng nhất là hiện tượng tụt não dẫn đến tử vong nhanh chóng.
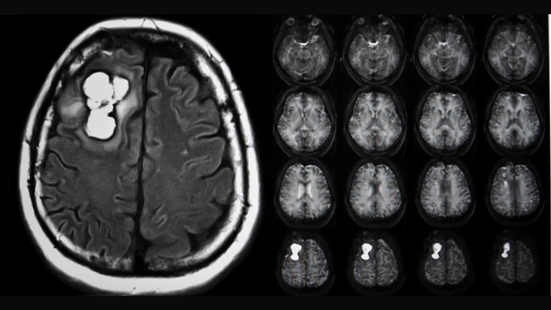
Khi xuất hiện triệu chứng đau đầu và nhìn mờ mà không rõ nguyên nhân, cần thực hiện chụp cắt lớp sọ não để loại trừ khả năng tăng áp lực nội sọ. Khi xác định tăng áp lực nội sọ, bệnh nhân phải được theo dõi chặt chẽ và xử lý nguyên nhân gây ra tình trạng này một cách kịp thời.
Thông thường, áp lực nội sọ duy trì ở mức dưới 20 mmHg. Tuy nhiên, trong các tình huống cấp cứu, việc đo chính xác áp lực này là rất khó khăn do yêu cầu sử dụng thiết bị monitor đo áp lực nội sọ chuyên dụng. Vì vậy, tình trạng tăng áp lực nội sọ thường được nhận diện thông qua các dấu hiệu, triệu chứng và cơ chế gây tổn thương.
Trong phác đồ điều trị tăng áp lực nội sọ, việc ưu tiên hàng đầu là đánh giá và quản lý hiệu quả đường thở cũng như hệ tuần hoàn. Các nguyên tắc điều trị bao gồm duy trì áp lực tưới máu bằng cách nâng cao áp lực động mạch trung bình (MAP), điều trị nguyên nhân cơ bản gây tăng áp lực nội sọ và áp dụng các biện pháp giảm áp lực nội sọ.
Hỏi đáp (0 bình luận)