Tốt nghiệp chương trình Sau Đại học Chuyên khoa I Nhi khoa tại Đại học Y Hà Nội. Bác sĩ có hơn 15 năm kinh nghiệm trong lĩnh vực khám và điều trị các bệnh lý Nhi khoa.
:format(webp)/benh_teo_da_he_thong_1_64c75a1723.jpg)
:format(webp)/benh_teo_da_he_thong_1_64c75a1723.jpg)
22/10/2024
Bác sĩ Chuyên khoa 1Nguyễn Thị Hương Lan
Tốt nghiệp chương trình Sau Đại học Chuyên khoa I Nhi khoa tại Đại học Y Hà Nội. Bác sĩ có hơn 15 năm kinh nghiệm trong lĩnh vực khám và điều trị các bệnh lý Nhi khoa.
Bệnh teo đa hệ thống (Multiple System Atrophy - MSA) là một tình trạng hiếm gặp của hệ thần kinh gây tổn thương dần dần cho các tế bào thần kinh ở não. Điều này ảnh hưởng đến sự cân bằng, khả năng di chuyển và hệ thần kinh tự chủ bị thay đổi, có thể dẫn đến khó thở, tiêu hóa và kiểm soát bàng quang.
Bệnh teo đa hệ thống là một chứng rối loạn thần kinh thoái hóa hiếm gặp, ảnh hưởng đến các chức năng không tự chủ của cơ thể, bao gồm huyết áp và kiểm soát vận động.
Bệnh teo đa hệ thống trước đây được gọi là hội chứng Shy-Drager, olivopontocerebellar atrophy hoặc thoái hóa thể vân. Bệnh teo đa hệ thống có nhiều triệu chứng giống bệnh Parkinson, chẳng hạn như cử động chậm, cơ bắp cứng và khả năng giữ thăng bằng kém. Điều trị bao gồm dùng thuốc và thay đổi lối sống để giúp kiểm soát các triệu chứng, nhưng không có cách chữa trị khỏi hoàn toàn. Bệnh sẽ tiến triển dần dần nặng hơn và cuối cùng dẫn đến tử vong.
:format(webp)/DAU_BENHTEODAHETHONG_CAROUSEL_240517_1_950e0328b0.jpg)
:format(webp)/DAU_BENHTEODAHETHONG_CAROUSEL_240517_2_99ff9f0928.jpg)
:format(webp)/DAU_BENHTEODAHETHONG_CAROUSEL_240517_3_d0eece772d.jpg)
:format(webp)/DAU_BENHTEODAHETHONG_CAROUSEL_240517_4_b2d54a570c.jpg)
:format(webp)/DAU_BENHTEODAHETHONG_CAROUSEL_240517_5_58e81cd33a.jpg)
:format(webp)/DAU_BENHTEODAHETHONG_CAROUSEL_240517_6_189c6ca787.jpg)
:format(webp)/DAU_BENHTEODAHETHONG_CAROUSEL_240517_7_8a20597cf1.jpg)
:format(webp)/DAU_BENHTEODAHETHONG_CAROUSEL_240517_1_950e0328b0.jpg)
:format(webp)/DAU_BENHTEODAHETHONG_CAROUSEL_240517_2_99ff9f0928.jpg)
:format(webp)/DAU_BENHTEODAHETHONG_CAROUSEL_240517_3_d0eece772d.jpg)
:format(webp)/DAU_BENHTEODAHETHONG_CAROUSEL_240517_4_b2d54a570c.jpg)
:format(webp)/DAU_BENHTEODAHETHONG_CAROUSEL_240517_5_58e81cd33a.jpg)
:format(webp)/DAU_BENHTEODAHETHONG_CAROUSEL_240517_6_189c6ca787.jpg)
:format(webp)/DAU_BENHTEODAHETHONG_CAROUSEL_240517_7_8a20597cf1.jpg)
Các triệu chứng của bệnh teo đa hệ thống khá đa dạng, liên quan đến nhiều cơ quan. Nhiều chức năng khác nhau của cơ thể có thể bị ảnh hưởng, bao gồm hệ tiết niệu, tim mạch - mạch máu, vấn đề về phối hợp, cân bằng, lời nói và hệ cơ xương khớp.
Hệ tiết niệu
Hệ tim mạch - mạch máu
Hạ huyết áp tư thế: Bệnh nhân teo đa hệ thống thường cảm thấy choáng váng, chóng mặt và ngất xỉu sau khi đứng lên. Điều này được gọi là hạ huyết áp tư thế và xảy ra do huyết áp giảm khi bạn đứng lên hoặc thay đổi tư thế đột ngột.
Các vấn đề về phối hợp, cân bằng và lời nói
Trong teo đa hệ thống, tiểu não bị tổn thương khiến người bệnh trở nên vụng về, không vững khi đi lại và cũng có thể gây ra tình trạng nói ngọng, lắp bắp. Những vấn đề này gọi là mất điều hòa tiểu não.
Chuyển động chậm và cảm giác cứng cơ
Người bị teo đa hệ thống có chuyển động chậm hơn nhiều so với bình thường (bradykinesia). Điều này gây khó khăn cho việc thực hiện các hoạt động hàng ngày. Người bệnh sẽ trở nên chậm chạp, khó khăn khi bắt đầu di chuyển, lê bước chân và bước đi rất nhỏ. Một số người cũng có thể bị cứng cơ, chuột rút đau cơ (loạn trương lực cơ).
Các dấu hiệu và triệu chứng khác
Những người bị teo đa hệ thống cũng có thể có:

Sự tiến triển của bệnh teo đa hệ thống khác nhau ở từng người nhưng tình trạng này sẽ trở nên nghiêm trọng hơn theo thời gian. Các biến chứng có thể xảy ra bao gồm:
Nếu có bất kỳ triệu chứng nào nêu trên xảy ra, bạn nên liên hệ ngay với bác sĩ để được kiểm tra và tư vấn. Chẩn đoán và điều trị sớm sẽ giảm nguy cơ tăng nặng của bệnh và giúp bạn mau chóng hồi phục sức khỏe.
Nguyên nhân của bệnh teo đa hệ thống chưa được hiểu rõ, vẫn chưa có bằng chứng cho thấy bệnh teo đa hệ thống có liên quan đến di truyền.
Các tế bào não của người bị teo đa hệ thống có chứa một loại protein gọi là alpha-synuclein. Sự tích tụ alpha-synuclein bất thường được cho là nguyên nhân gây tổn thương các vùng não kiểm soát sự cân bằng, chuyển động và các chức năng bình thường của cơ thể.
Hiện tại chưa có phương pháp điều trị đặc hiệu cho bệnh teo đa hệ thống mà chỉ có các biện pháp kiểm soát triệu chứng để cải thiện chất lượng cuộc sống. Điều trị triệu chứng bao gồm kiểm soát hạ huyết áp tư thế, quản lý tiểu không tự chủ, điều trị táo bón và điều trị rối loạn cương dương. Vật lý trị liệu cũng giúp duy trì khả năng di chuyển và sức mạnh cơ bắp.
Diễn tiến của bệnh teo đa hệ thống rất phức tạp và thường không thuyên giảm. Bệnh sẽ tiến triển nặng làm ảnh hưởng đến các hoạt động hàng ngày của người bệnh. Một số biến chứng có thể gặp bao gồm khó thở khi ngủ, chấn thương do té ngã vì giảm khả năng thăng bằng hay ngất xỉu, tổn thương da do nằm liệt giường, mất khả năng tự chăm sóc, khó nuốt, liệt dây thanh quản gây khó thở và khó nói.
Bệnh teo đa hệ thống (MSA) được phân thành hai loại là teo đa hệ thống thể parkinson và thể tiểu não. Các triệu chứng của bệnh sẽ khác nhau tùy thuộc vào loại MSA mà bệnh nhân mắc phải.
Người mắc bệnh teo đa hệ thống thường có thể sống từ 7 - 10 năm sau khi triệu chứng đầu tiên xuất hiện. Tuy nhiên, thời gian sống sẽ khác nhau ở từng người. Trong một số trường hợp hiếm gặp, người bệnh có thể sống hơn 15 năm. Nguyên nhân tử vong phổ biến là do suy hô hấp.
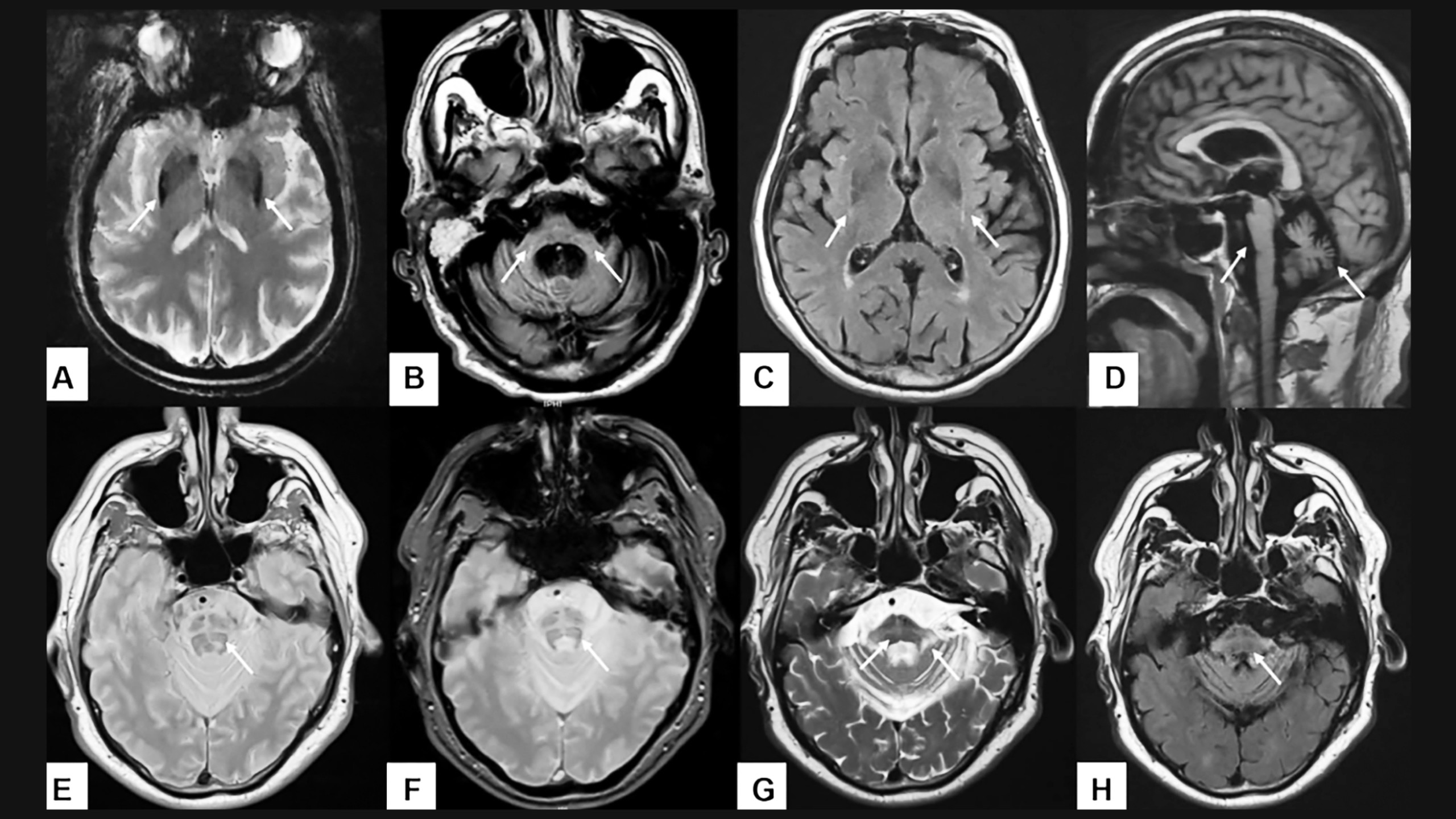
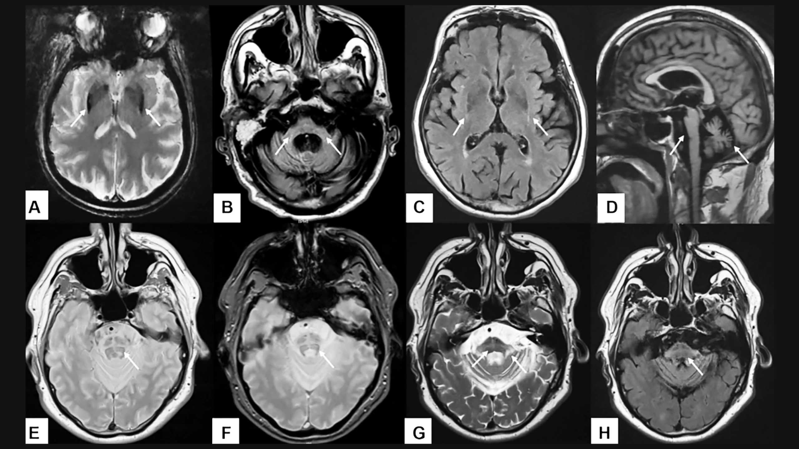
Chẩn đoán bệnh teo đa hệ thống thường dựa trên sự kết hợp giữa suy giảm thần kinh tự chủ và các triệu chứng liên quan đến tiểu não hoặc hội chứng parkinson. Khi nghi ngờ teo đa hệ thống, bác sĩ sẽ kiểm tra các phản xạ và chức năng cơ thể như bàng quang và huyết áp. Hiện tại, không có xét nghiệm cụ thể để chẩn đoán bệnh nhưng chụp MRI não thường được chỉ định để phát hiện tổn thương não và phân biệt MSA thể tiểu não và thể parkinson.
Hỏi đáp (0 bình luận)