Tốt nghiệp loại xuất sắc bác sĩ Đa khoa tốt nghiệp tại Liên Bang Nga, với kinh nghiệm chuyên sâu về Sản Phụ khoa và chăm sóc sức khỏe bà mẹ và trẻ em.
:format(webp)/hoi_chung_demons_meigs_s1_60b8e84243.jpg)
:format(webp)/hoi_chung_demons_meigs_s1_60b8e84243.jpg)
Thu Thảo
11/11/2024
Bác sĩ Chuyên khoa 1Nguyễn Thị Khánh Vy
Tốt nghiệp loại xuất sắc bác sĩ Đa khoa tốt nghiệp tại Liên Bang Nga, với kinh nghiệm chuyên sâu về Sản Phụ khoa và chăm sóc sức khỏe bà mẹ và trẻ em.
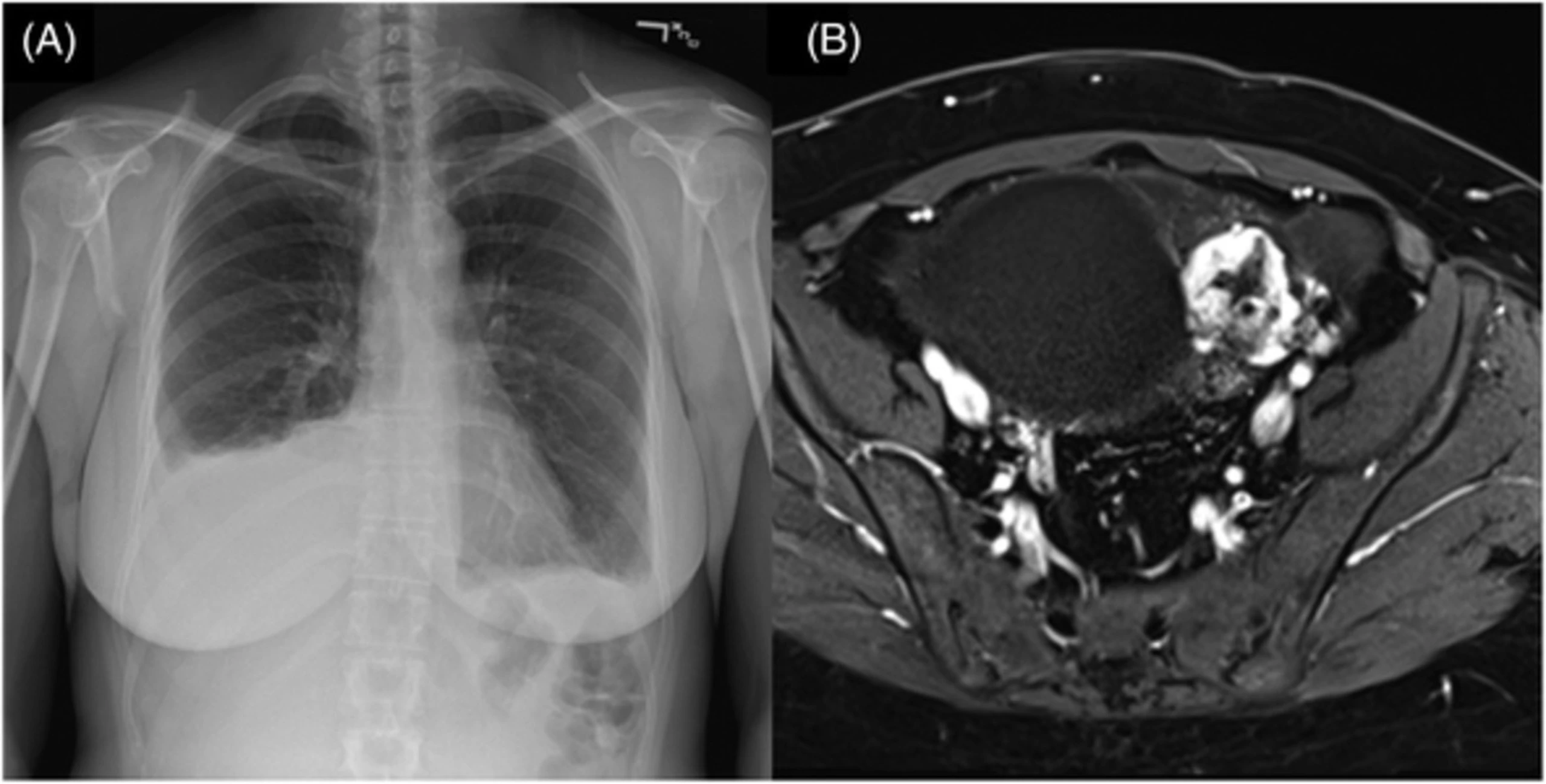
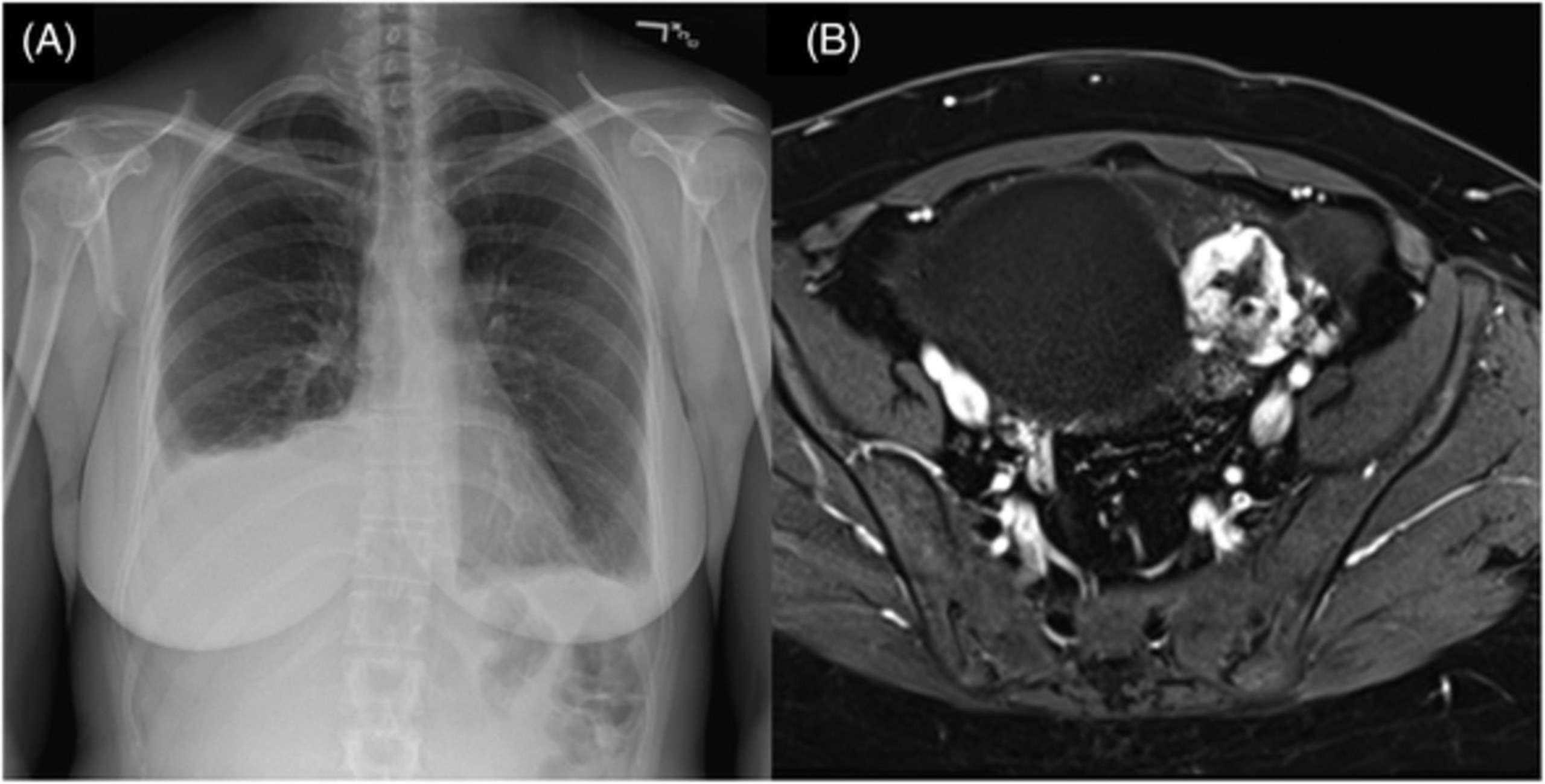
Hội chứng Demon Meigs rất hiếm gặp, hiện nay đang có xu hướng xảy ra thường xuyên ở phụ nữ hậu mãn kinh, đặc biệt là độ tuổi từ 50 trở lên. Khoảng 1% khối u buồng trứng có thể biểu hiện dưới dạng hội chứng Demon Meigs. Một số bệnh nhân chỉ bị cổ trướng hoặc tràn dịch màng phổi cùng với khối u buồng trứng lành tính được phân loại là hội chứng Demon Meigs không điển hình hoặc không đầy đủ vì không đủ tiêu chuẩn chẩn đoán. Bài viết sau cung cấp thông tin về hội chứng này.
Hội chứng Meigs là bộ ba dấu hiệu gồm khối u buồng trứng lành tính, cổ trướng và tràn dịch màng phổi - cả ba vấn đề này có thể giải quyết sau khi cắt bỏ khối u. Fibromas buồng trứng chiếm đa số các khối u lành tính trong hội chứng Meigs. Hội chứng Meigs là một chẩn đoán phụ chỉ được nghĩ đến sau khi loại trừ ung thư biểu mô buồng trứng.
Năm 1937, Joe Vincent Meigs và John W Cass đã báo cáo một loạt 7 trường hợp u xơ buồng trứng liên quan đến cổ trướng và tràn dịch màng phổi. Sau này bộ ba này được Rhodes và Terrell gọi là hội chứng Meigs. Nhà khoa học Meigs cuối cùng xác định lại hội chứng này vào năm 1954. Hội chứng này đôi khi được gọi là hội chứng Demons Meigs theo tên một tác giả khác đã mô tả tình trạng tương tự trước Meigs.
Các tiêu chí sau đây phải được đáp ứng để chẩn đoán hội chứng Demons Meigs:
Dịch cổ trướng và dịch màng phổi trong hội chứng Demons Meigs có thể là dịch thấm hoặc dịch tiết. Sinh lý bệnh của cổ trướng và tràn dịch màng phổi trong hội chứng Demons Meigs chưa được xác định rõ ràng. Meigs đưa ra giả thuyết rằng cổ trướng là do áp lực của khối u lên hệ bạch huyết ở bụng và dịch cổ trướng sau đó sẽ thấm vào khoang màng phổi. Phù nề mô đệm có thể dẫn đến dịch tiết do thay đổi hệ thống dẫn lưu tĩnh mạch và bạch huyết. Sự mất cân bằng giữa nguồn cung cấp máu cho một khối u và hệ thống thoát nước tĩnh mạch và bạch huyết có thể là nguyên nhân gây ra phù nề và tăng dịch tiết mô đệm.
Các lý thuyết được đề xuất khác là kích thích nội tiết tố, khối u xoắn và khối u sản xuất yếu tố tăng trưởng nội mô mạch máu (VEGF) làm tăng tính thấm mao mạch. Tuy nhiên, những lý thuyết này chưa được chứng minh và không có sự đồng thuận về sinh lý bệnh của hội chứng Demons Meigs.
Fibromas buồng trứng chiếm khoảng 2 - 5% các khối u buồng trứng cần phẫu thuật cắt bỏ và hội chứng Demons Meigs chỉ chiếm 1 - 2% các các trường hợp trên. Cổ trướng có mặt trong khoảng 10 - 15% phụ nữ bị u xơ buồng trứng và tràn dịch màng phổi có mặt trong 1% các trường hợp có tổn thương lớn.
:format(webp)/SKSS_HOICHUNGDEMONMEIGS_CAROUSEL_240622_1_V1_fd8a7bff6f.jpg)
:format(webp)/SKSS_HOICHUNGDEMONMEIGS_CAROUSEL_240622_2_V1_b15064b300.jpg)
:format(webp)/SKSS_HOICHUNGDEMONMEIGS_CAROUSEL_240622_3_V1_15cecea03a.jpg)
:format(webp)/SKSS_HOICHUNGDEMONMEIGS_CAROUSEL_240622_4_V1_022062aa37.jpg)
:format(webp)/SKSS_HOICHUNGDEMONMEIGS_CAROUSEL_240622_5_V1_56c4ce9e98.jpg)
:format(webp)/SKSS_HOICHUNGDEMONMEIGS_CAROUSEL_240622_6_V2_81b4d2b25e.jpg)
:format(webp)/SKSS_HOICHUNGDEMONMEIGS_CAROUSEL_240622_7_V1_5db06a8000.jpg)
:format(webp)/SKSS_HOICHUNGDEMONMEIGS_CAROUSEL_240622_8_V2_bf6b27711e.jpg)
:format(webp)/SKSS_HOICHUNGDEMONMEIGS_CAROUSEL_240622_1_V1_fd8a7bff6f.jpg)
:format(webp)/SKSS_HOICHUNGDEMONMEIGS_CAROUSEL_240622_2_V1_b15064b300.jpg)
:format(webp)/SKSS_HOICHUNGDEMONMEIGS_CAROUSEL_240622_3_V1_15cecea03a.jpg)
:format(webp)/SKSS_HOICHUNGDEMONMEIGS_CAROUSEL_240622_4_V1_022062aa37.jpg)
:format(webp)/SKSS_HOICHUNGDEMONMEIGS_CAROUSEL_240622_5_V1_56c4ce9e98.jpg)
:format(webp)/SKSS_HOICHUNGDEMONMEIGS_CAROUSEL_240622_6_V2_81b4d2b25e.jpg)
:format(webp)/SKSS_HOICHUNGDEMONMEIGS_CAROUSEL_240622_7_V1_5db06a8000.jpg)
:format(webp)/SKSS_HOICHUNGDEMONMEIGS_CAROUSEL_240622_8_V2_bf6b27711e.jpg)
Các triệu chứng liên quan đến khối u buồng trứng có thể biểu hiện âm thầm trong một thời gian dài trừ khi khối u tiết ra hormone steroid. Sự dư thừa androgen có thể biểu hiện dưới dạng nam hóa và sự dư thừa estrogen có thể biểu hiện dưới dạng chảy máu tử cung bất thường, u nội mạc tử cung và dậy thì sớm ở trẻ. Các triệu chứng khác liên quan đến khối u là chướng bụng do khối u lớn, sa tử cung, tiểu không tự chủ, mệt mỏi, sụt cân và phù chân.
Các triệu chứng liên quan đến tràn dịch màng phổi bao gồm khó thở, ho khan và viêm màng phổi. Tràn dịch màng phổi thường ở bên phải, mặc dù có thể xảy ra tràn dịch màng phổi bên trái và hai bên. Lượng dịch của tràn dịch màng phổi không phụ thuộc vào lượng dịch cổ trướng.

Các triệu chứng liên quan đến cổ trướng bao gồm chướng bụng, tiểu nhiều lần trong ngày, ăn mau no,...
Bệnh nhân mắc bệnh có thể gặp phải các vấn đề như suy mòn, huyết khối tĩnh mạch sâu, mệt mỏi nghiêm trọng, sa tử cung, tiểu nhiều lần và không tự chủ, thiếu máu do chảy máu tử cung bất thường và một số trường hợp hiếm gặp có thể có sự phát triển của ung thư nội mạc tử cung.
Những bệnh nhân không được chẩn đoán và được điều trị căn nguyên sẽ phải thực hiện chọc dịch màng phổi và chọc dịch màng bụng nhiều lần. Điều này có thể dẫn đến các biến chứng như nhiễm trùng, chảy máu, mất nước và giảm albumin máu.
Khi có những triệu chứng hay dấu hiệu kể trên, bạn nên đến gặp bác sĩ để được chẩn đoán và điều trị kịp thời.
Các khối u buồng trứng ở trẻ em và thanh thiếu niên có thể liên quan đến hội chứng Gorlin. Hội chứng Gorlin là một bệnh di truyền gen trội hiếm gặp. Nó được đặc trưng bởi sự phát triển của ung thư biểu mô tế bào đáy ở trẻ em và có liên quan đến các trường hợp mắc hội chứng Demons Meigs. Vì thế, di truyền được cho là có liên quan đến nguyên nhân hình thành hội chứng này.

Tại Mỹ, tỷ lệ u xơ buồng trứng (ovarian fibroma) chiếm 2 - 5%, tỷ lệ hội chứng Demons Meigs là 1%. Hội chứng Demons Meigs có tiên lượng tốt - đây là bệnh lý lành tính, tuy nhiên có thể lầm với bệnh lý ác tính do có kèm với tràn dịch màng bụng và màng phổi.
Hội chứng Demons Meigs không điển hình đặc trưng bởi một khối vùng chậu lành tính với tràn dịch màng phổi bên phải nhưng không có báng bụng. Phương pháp điều trị tương tự như hội chứng Demons Meigs tràn dịch màng phổi hết sau khi loại bỏ u vùng chậu.
Mặc dù không thể phòng ngừa hoàn toàn hội chứng Meigs, nhưng việc sống lành mạnh và khám sức khỏe định kỳ sẽ giúp bạn phát hiện bệnh sớm và điều trị hiệu quả.
Hội chứng Meigs thường liên quan đến các khối u lành tính ở buồng trứng, đặc biệt là u xơ-vỏ bào buồng trứng. Việc phẫu thuật cắt bỏ khối u này thường giúp giải quyết các triệu chứng của hội chứng và không gây tổn thương đến các cơ quan sinh sản khác.
Sau khi phẫu thuật cắt bỏ khối u, chức năng buồng trứng thường được phục hồi và khả năng sinh sản của người phụ nữ cũng trở lại bình thường.
Hội chứng Meigs là một hội chứng khá hiếm gặp, thường được chẩn đoán dựa trên các triệu chứng lâm sàng đặc trưng và kết quả các xét nghiệm hình ảnh.
Các xét nghiệm chẩn đoán:
Hỏi đáp (0 bình luận)