Từng đảm nhiệm vị trí Phó khoa Kiểm soát bệnh tật tại Trung tâm Y tế Quận 1 và sau đó là chuyên viên tại Sở Y tế tỉnh Ninh Thuận. Với hai bằng đại học Y khoa và Dược sĩ, bác sĩ có nhiều kinh nghiệm và am hiểu sâu về y học và dược phẩm.
:format(webp)/nhoi_mau_phoi_42e77a3d7c.png)
:format(webp)/nhoi_mau_phoi_42e77a3d7c.png)
Bác sĩ Chuyên khoa 1Nguyễn Thu Hà
Từng đảm nhiệm vị trí Phó khoa Kiểm soát bệnh tật tại Trung tâm Y tế Quận 1 và sau đó là chuyên viên tại Sở Y tế tỉnh Ninh Thuận. Với hai bằng đại học Y khoa và Dược sĩ, bác sĩ có nhiều kinh nghiệm và am hiểu sâu về y học và dược phẩm.
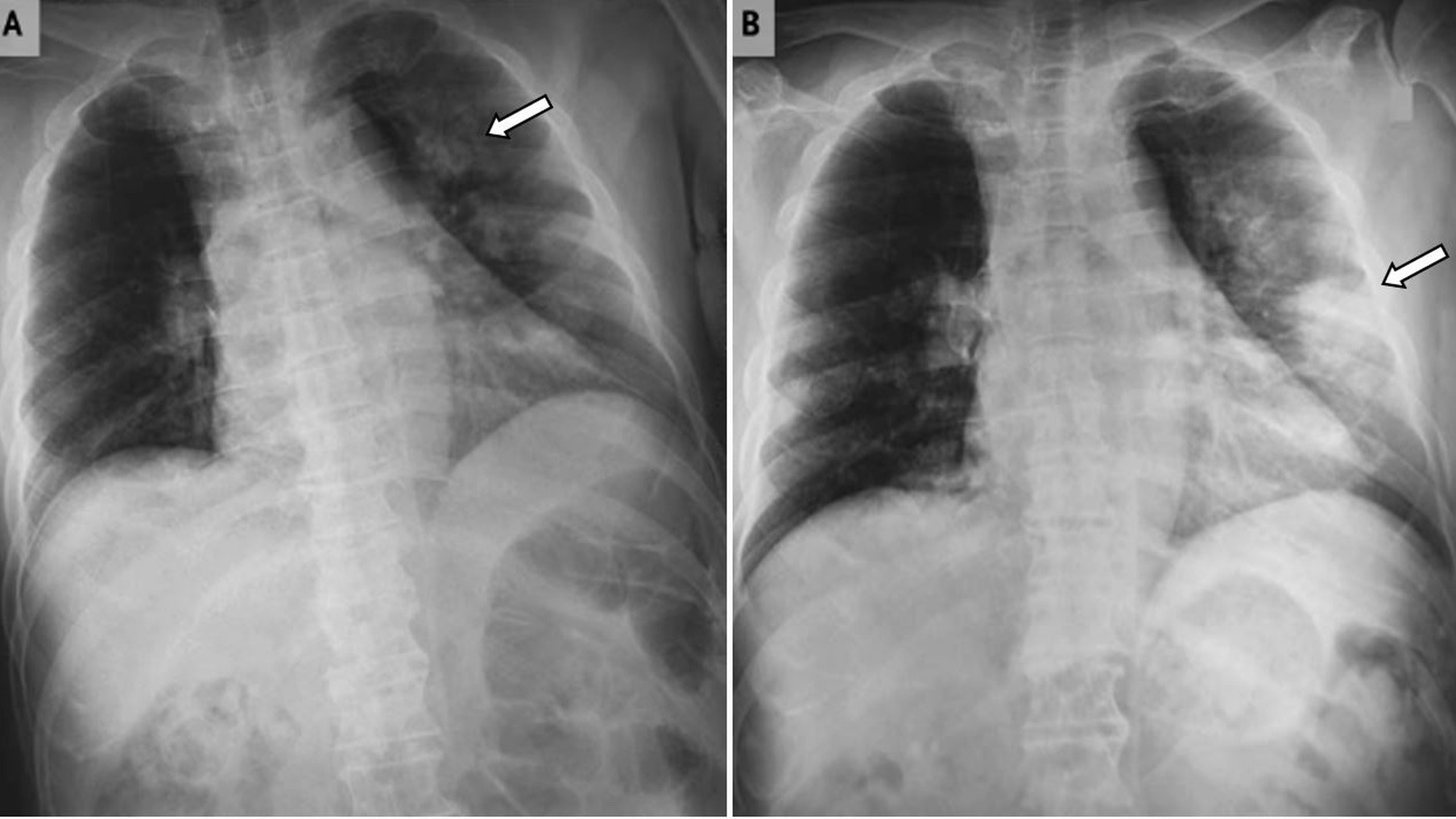
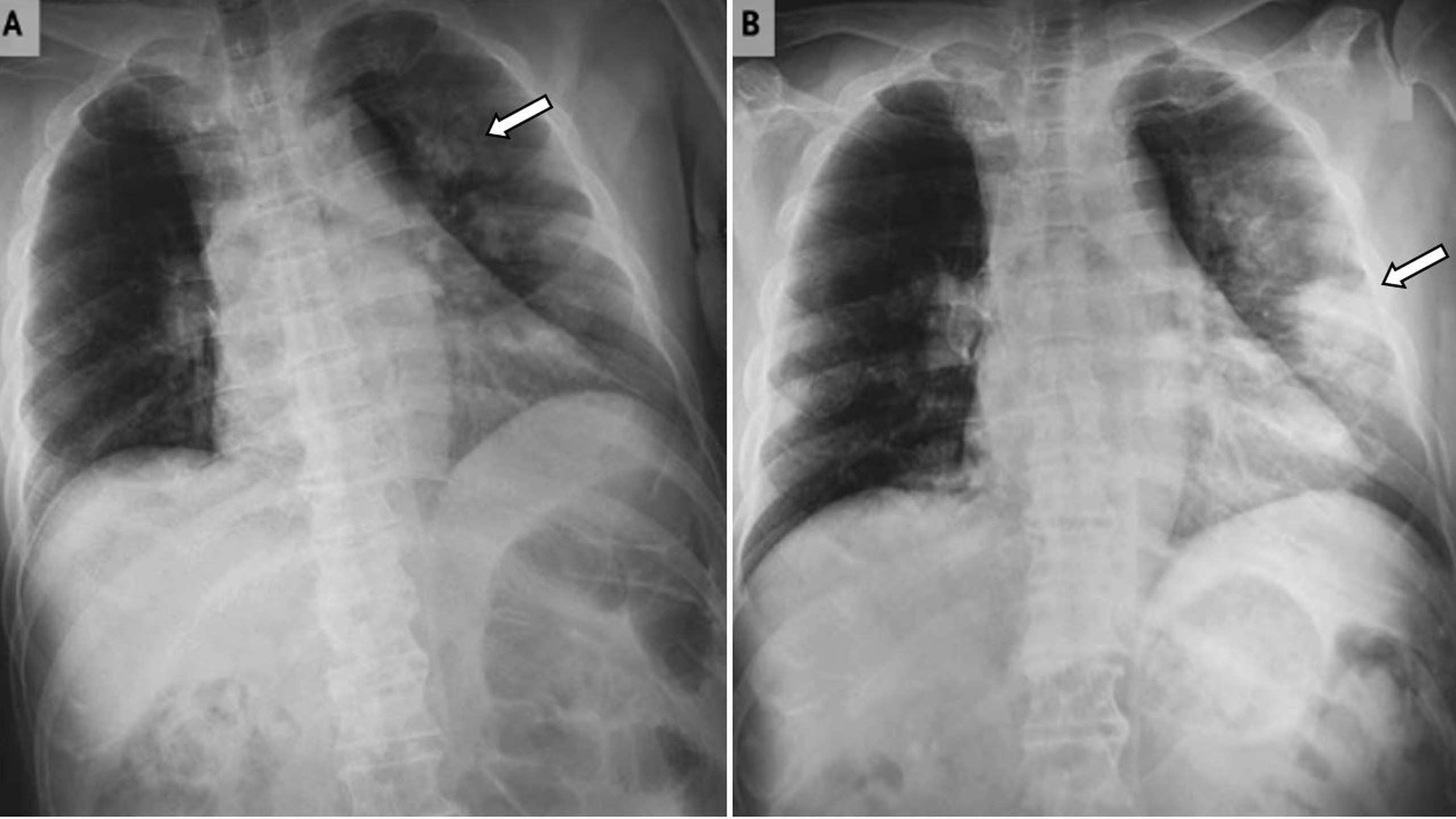
Nhồi máu phổi là do sự tắc nghẽn ở mạch máu phổi. Điều này sau đó dẫn đến thiếu máu cục bộ và có thể xuất huyết hoặc hoại tử mô của mô phổi. Nhồi máu phổi là bệnh lý tuy hiếm gặp nhưng rất nguy hiểm, cần chẩn đoán sớm và điều trị kịp thời để không ảnh hưởng đến tính mạng.
Nhồi máu phổi là do sự tắc nghẽn ở mạch máu phổi. Điều này sau đó dẫn đến thiếu máu cục bộ và có thể xuất huyết hoặc hoại tử mô phổi. Trong hầu hết các trường hợp, nguyên nhân dẫn đến nhồi máu phổi thường là do thuyên tắc phổi.
Tùy thuộc vào kích thước và vị trí, triệu chứng sẽ khác nhau ở mỗi người, từ nhẹ đến rất nghiêm trọng. Tuy nhiên, bất kể triệu chứng của nó là gì, khi nhồi máu phổi xảy ra, điều đó luôn có nghĩa là có một vấn đề y tế nghiêm trọng và cần được đánh giá và điều trị tích cực.
:format(webp)/nhoi_mau_phoi_2_925a904611.jpeg)
:format(webp)/nhoi_mau_phoi_1_4c767bebe1.jpeg)
:format(webp)/nhoi_mau_phoi_3_d485af4f63.jpg)
:format(webp)/nhoi_mau_phoi_2_925a904611.jpeg)
:format(webp)/nhoi_mau_phoi_1_4c767bebe1.jpeg)
:format(webp)/nhoi_mau_phoi_3_d485af4f63.jpg)
Các triệu chứng bao gồm:
Các triệu chứng của nhồi máu phổi có thể thay đổi liên quan đến kích thước của nhồi máu và vị trí của nhồi máu trong phổi. Nhồi máu phổi lớn hơn thường gây ra các triệu chứng nghiêm trọng hơn, cũng nhồi máu ảnh hưởng đến màng phổi (màng xơ bảo vệ và bao phủ phổi).
Nếu bạn có bất kỳ triệu chứng nào của nhồi máu phổi, hãy liên hệ ngay với bác sĩ nếu bạn bị khó thở, đau ngực hoặc ngất xỉu để được chẩn đoán và điều trị phù hợp.

Nguyên nhân thường gặp nhất của nhồi máu phổi là thuyên tắc phổi.
Một số nguyên nhân hiếm gặp khác có thể gây ra nhồi máu phổi. Chúng bao gồm ung thư, các bệnh tự miễn dịch như lupus, các bệnh nhiễm trùng khác nhau, bệnh hồng cầu hình liềm, bệnh phổi thâm nhiễm như bệnh amyloidosis, thuyên tắc khí,...
Nguyên nhân phổ biến nhất gây nhồi máu phổi là do thuyên tắc phổi.
Vớ áp lực giúp nén ép đều vào chân, giúp tĩnh mạch và cơ chân lưu thông máu hiệu quả hơn. Đây là một phương pháp an toàn, đơn giản và ít tốn kém để giữ cho máu không bị ứ đọng ở chân trong và sau phẫu thuật.
Xem thêm thông tin: Tất tần tật những điều cần biết về vớ giãn tĩnh mạch
Điều trị nhồi máu phổi chủ yếu bao gồm sử dụng thuốc chống đông máu (như heparin), thuốc tan huyết khối, hoặc phẫu thuật lấy cục máu đông trong những trường hợp nghiêm trọng. Điều trị cần được thực hiện dưới sự giám sát chặt chẽ của bác sĩ.
Chảy máu là một tác dụng phụ có thể xảy ra của thuốc điều trị nhồi máu phổi. Bác sĩ sẽ chỉ định cho bạn liều thuốc chống đông máu hoặc thuốc tan huyết khối phù hợp với tình trạng của bạn. Bạn phải nằm lại tại bệnh viện để bác sĩ theo dõi tình trạng của bạn.
Nhồi máu phổi là tình trạng mô phổi bị chết đi do cục máu đông tắc lòng mạch máu, làm máu và oxy không đến nuôi các mô phổi. Vì lý do đó mà điều trị chỉ giúp tổn thương chết mô phổi không lan rộng hoặc giữ an toàn tính mạng cho bạn và các mô phổi khi đã chết đi thì sẽ không hồi phục lại được như bình thường.
Chủ động phòng ngừa bệnh đường hô hấp với vắc xin
Làm sao ứng phó với "thời đại" của các bệnh hô hấp?
15 sự thật thú vị về phổi
Chủ động phòng ngừa bệnh đường hô hấp với vắc xin
Làm sao ứng phó với "thời đại" của các bệnh hô hấp?
15 sự thật thú vị về phổi
Hỏi đáp (0 bình luận)