Tốt nghiệp Đại học Y Dược Thái Nguyên, bác sĩ đã có nhiều năm kinh nghiệm khám chữa bệnh Chuyên khoa Nội và Nhi. Với kiến thức chuyên môn vững chắc, bác sĩ luôn tận tâm chăm sóc sức khỏe cho bệnh nhân. Đặc biệt, bác sĩ đã hoàn thành khóa học về An toàn và Quản lý Chất lượng tại Đại học Y Hà Nội, đảm bảo việc khám chữa bệnh diễn ra an toàn, hiệu quả.
:format(webp)/Left_item_112x150_afe892642b.png)
:format(webp)/Right_item_112x150_5cde60ede3.png)
:format(webp)/BG_c89b77382f.png)
:format(webp)/Bg_Header_LV_2_0ccea4c28c.png)
:format(webp)/Left_item_68x52_1_e410a5f1ee.png)
:format(webp)/Right_item_68x52_1_518f0730da.png)
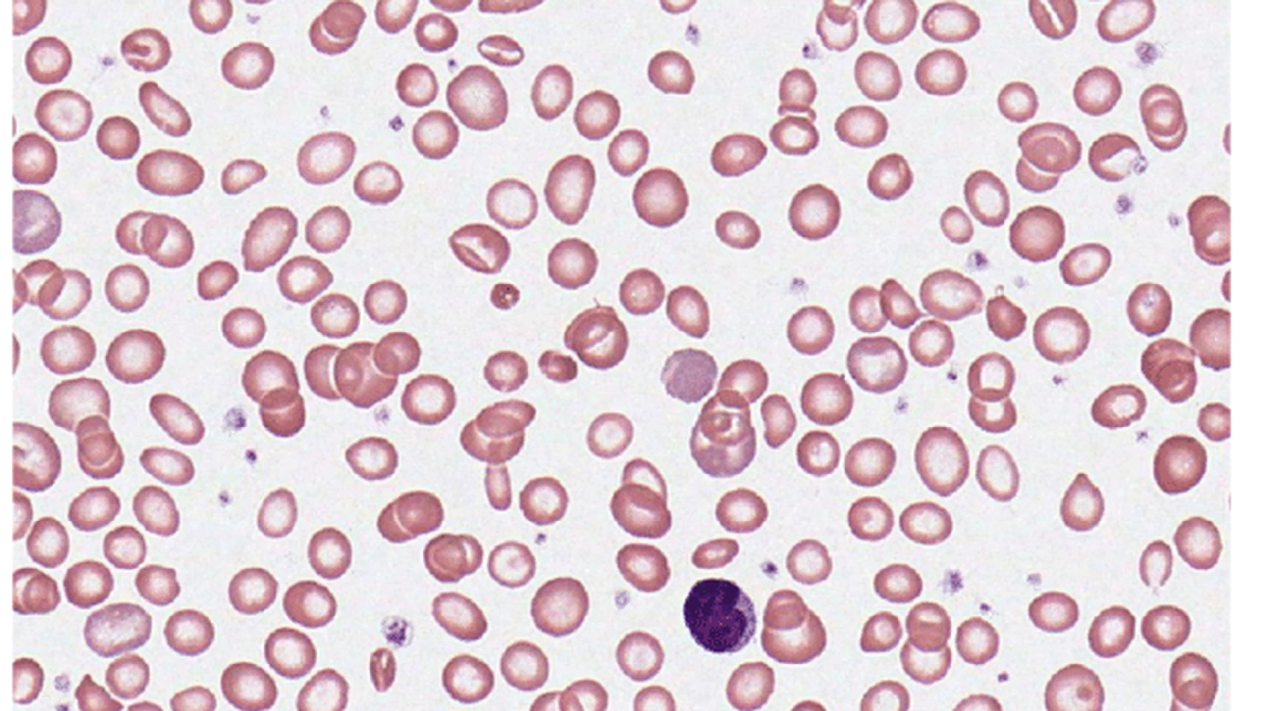
:format(webp)/thieu_mau_nhuoc_sac_la_gi_nhung_thong_tin_ban_can_biet_ve_benh_ly_3_502c8173d4.png)
:format(webp)/Nguyen_Thi_Thu_Thao_a79a31e9af.png)
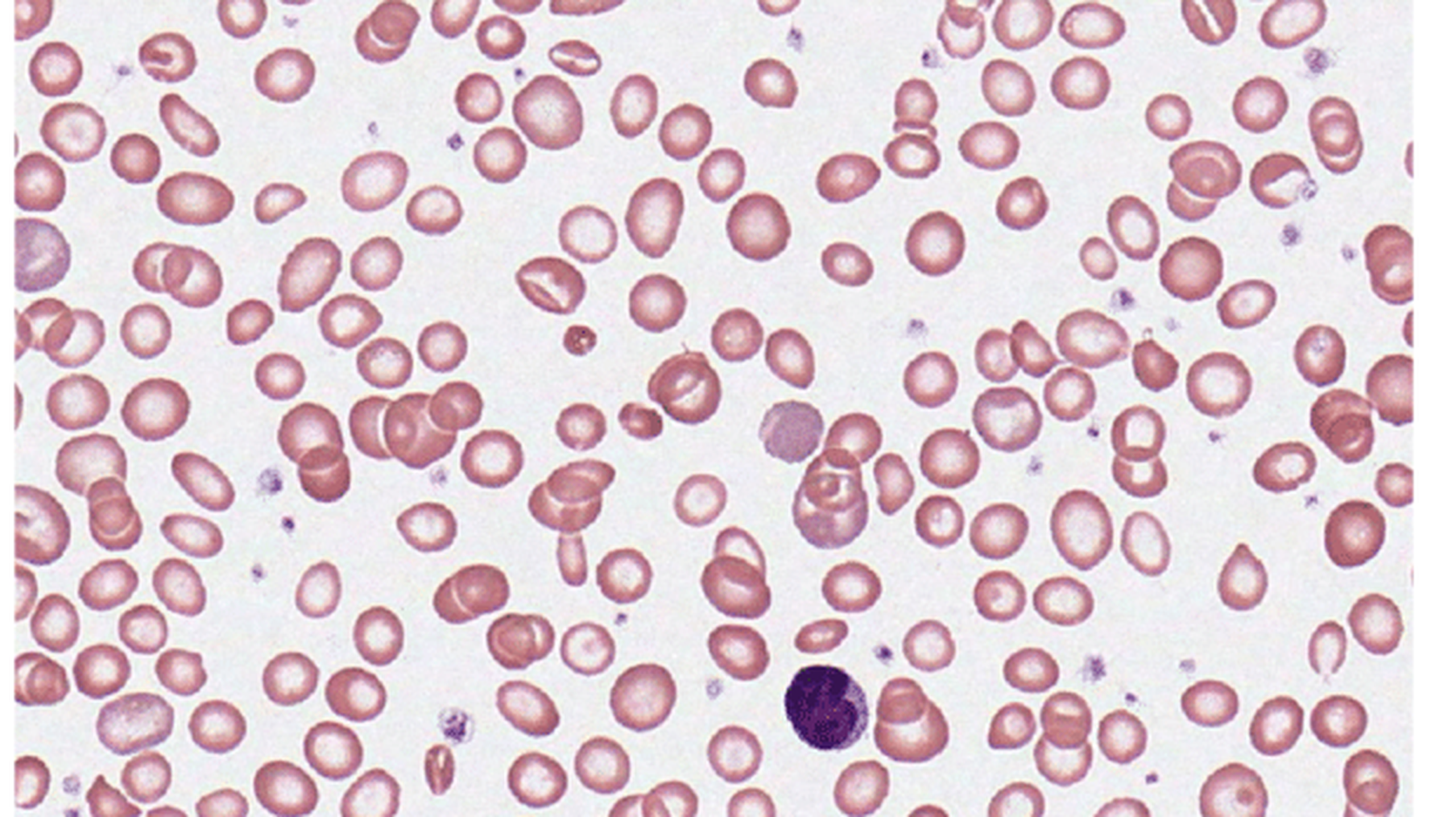
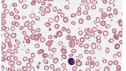
:format(webp)/thieu_mau_nhuoc_sac_la_gi_nhung_thong_tin_ban_can_biet_ve_benh_ly_1_c01f8bd39a.jpg)
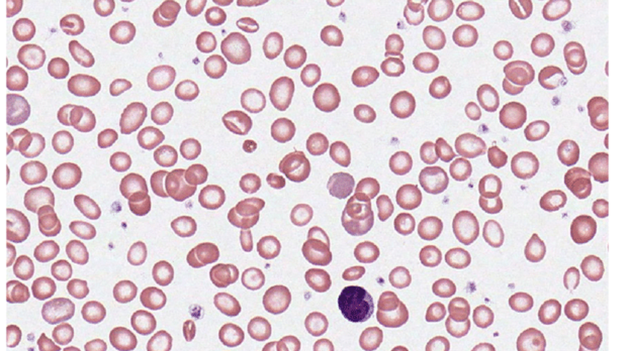
:format(webp)/thieu_mau_nhuoc_sac_la_gi_nhung_thong_tin_ban_can_biet_ve_benh_ly_3_9169c4cd00.png)
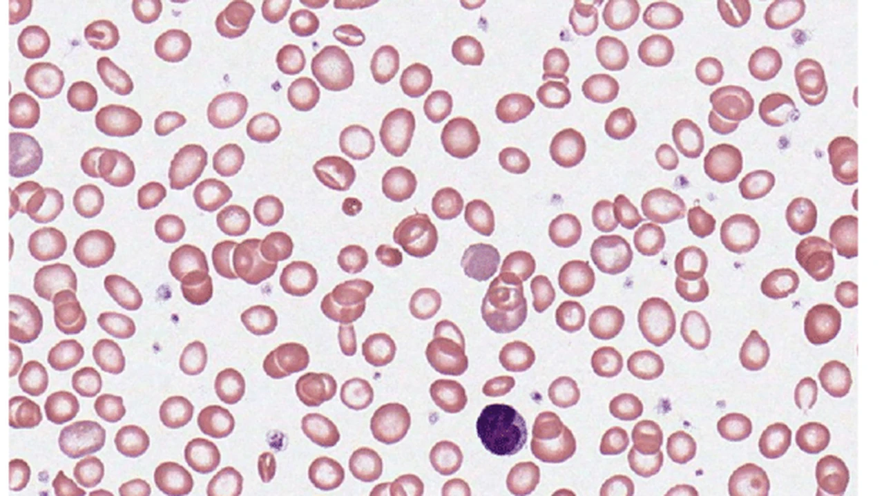
:format(webp)/thieu_mau_nhuoc_sac_la_gi_nhung_thong_tin_ban_can_biet_ve_benh_ly_2_b92e8cbfdb.jpg)
:format(webp)/thieu_mau_nhuoc_sac_la_gi_nhung_thong_tin_ban_can_biet_ve_benh_ly_1_c01f8bd39a.jpg)
:format(webp)/thieu_mau_nhuoc_sac_la_gi_nhung_thong_tin_ban_can_biet_ve_benh_ly_3_9169c4cd00.png)
:format(webp)/thieu_mau_nhuoc_sac_la_gi_nhung_thong_tin_ban_can_biet_ve_benh_ly_2_b92e8cbfdb.jpg)


:format(webp)/infographic_co_gi_trong_thanh_phan_mau_db8af80023.png)
:format(webp)/infographic_phong_ngua_thieu_mau_8247451eea.png)
:format(webp)/infographic_ban_biet_gi_ve_thieu_mau_e0b77cbcd6.png)
:format(webp)/tieu_cau_tang_bao_nhieu_la_nguy_hiem_nhung_luu_y_cho_nguoi_benh_tang_tieu_cau_la_gi_0_a15e1d2a11.jpg)
Hỏi đáp (0 bình luận)