Từng làm ở Viện ISDS, nhiều năm cộng tác với CDC Thái Nguyên triển khai dự án phòng chống HIV/AIDS, 2 năm cộng tác với WHO.
Kim Toàn
30/09/2024
Mặc định
Lớn hơn
Sốt rét là một trong những bệnh truyền nhiễm phổ biến và rất nghiêm trọng đối với sức khỏe cộng đồng. Tại Việt Nam, bệnh sốt rét lưu hành chủ yếu ở khu vực miền Trung Tây Nguyên và miền Đông Nam Bộ. Vậy tác nhân gây bệnh sốt rét là gì? Hãy theo dõi bài viết dưới đây để biết thêm thông tin chi tiết về bệnh sốt rét nhé!
Sốt rét là một trong những căn bệnh truyền nhiễm nguy hiểm. Bệnh có thể gây ra nhiều biến chứng nặng và thậm chí là tử vong nếu không được điều trị kịp thời. Bài viết sẽ giới thiệu các dấu hiệu và triệu chứng thường gặp của bệnh sốt rét. Nhưng trước tiên chúng ta sẽ tìm hiểu xem tác nhân gây bệnh sốt rét là gì.
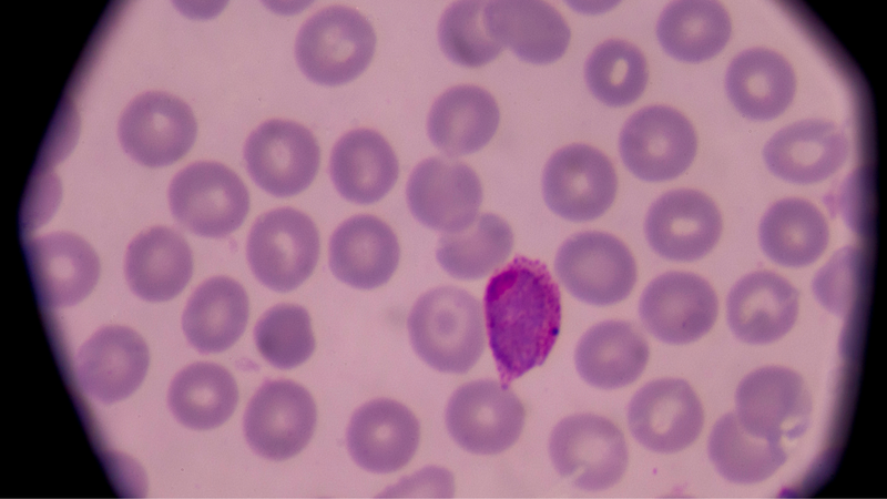
Tác nhân gây bệnh sốt rét là do các ký sinh trùng thuộc chi Plasmodium gây ra, bao gồm: Plasmodium vivax, Plasmodium falciparum, Plasmodium malariae, Plasmodium ovale và Plasmodium knowlesi. Mức độ nguy hiểm của bệnh phụ thuộc vào loại ký sinh trùng xâm nhập vào cơ thể.
Loại ký sinh trùng nguy hiểm: Plasmodium falciparum và Plasmodium vivax. Đây là loại cực kỳ nguy hiểm, tiềm ẩn nguy cơ tử vong cao nếu không được phát hiện và điều trị kịp thời.
Loại ký sinh trùng sốt rét ít nguy hiểm hơn:
Muỗi Anopheles là trung gian truyền bệnh. Mặc dù sốt rét rất nguy hiểm, ký sinh trùng chỉ tồn tại trong cơ thể muỗi và trong máu người, không tồn tại được ở môi trường bên ngoài. Do đó, việc tránh được muỗi đốt sẽ giúp bạn phòng ngừa bệnh hiệu quả.

Việc nhận biết sớm các dấu hiệu và triệu chứng của bệnh sốt rét là vô cùng quan trọng. Dưới đây sẽ cung cấp thông tin chi tiết về những dấu hiệu thường gặp để bạn có thể phát hiện sớm và điều trị hiệu quả:
Sốt rét thể thông thường là dạng bệnh không có biến chứng nguy hiểm. Bệnh nhân có thể xác định được mình bị sốt rét nhưng không có dấu hiệu đe dọa tính mạng. Triệu chứng lâm sàng của bệnh có thể xuất hiện hoặc không, tùy cá nhân.
Triệu chứng điển hình:
Triệu chứng khác: Thiếu máu, lách to, gan to,...
Sốt rét ác tính là dạng bệnh có biến chứng đe dọa tính mạng, thường gặp ở người nhiễm ký sinh trùng Plasmodium falciparum hoặc nhiễm phối hợp nhiều loại ký sinh trùng. Tuy nhiên, một số trường hợp nhiễm Plasmodium vivax hay Plasmodium knowlesi đơn thuần cũng có thể dẫn đến sốt rét ác tính. Dấu hiệu dự báo:

Sốt rét ác tính là dạng bệnh có biến chứng nguy hiểm, ảnh hưởng đến nhiều cơ quan trong cơ thể. Khi xuất hiện một trong những triệu chứng sau đây và đã loại trừ các nguyên nhân khác, cần nghi ngờ sốt rét ác tính và đưa bệnh nhân đến cơ sở y tế ngay lập tức:
Bệnh sốt rét có thể biến chuyển nhanh chóng, tiềm ẩn nguy cơ tử vong chỉ sau vài giờ hoặc vài ngày kể từ khi xác định.
Triệu chứng điển hình:
Biến chứng nguy hiểm: Sốt rét ác tính ảnh hưởng đến nhiều cơ quan trong cơ thể, bao gồm:

Khi phát hiện bất kỳ dấu hiệu, triệu chứng nào nghi ngờ sốt rét, việc đến ngay bệnh viện để được thăm khám, xét nghiệm và điều trị là vô cùng quan trọng. Tuyệt đối không được chủ quan hay thờ ơ trước các bất thường của cơ thể, vì điều này có thể khiến bệnh tiến triển nặng, việc điều trị trở nên khó khăn và dẫn đến nhiều biến chứng nguy hiểm, thậm chí tử vong.
Sốt rét có thể biến chuyển nhanh chóng, tiềm ẩn nguy cơ tử vong chỉ sau vài giờ hoặc vài ngày. Chẩn đoán và điều trị sớm giúp kiểm soát bệnh hiệu quả, hạn chế biến chứng. Bác sĩ chuyên khoa sẽ đưa ra hướng điều trị phù hợp với từng trường hợp.
Như vậy chúng ta đã biết tác nhân gây bệnh sốt rét là các ký sinh trùng thuộc chi Plasmodium và do muỗi Anopheles là trung gian truyền bệnh. Chính vì vậy, để bảo vệ bản thân và cộng đồng khỏi căn bệnh này, việc thực hiện các biện pháp phòng ngừa hiệu quả là vô cùng quan trọng.
Sốt rét tuy nguy hiểm nhưng hoàn toàn có thể kiểm soát được nếu thực hiện các biện pháp phòng ngừa hiệu quả. Sau đây là một số biện pháp thiết yếu:
Phòng chống muỗi truyền bệnh:

Mong rằng bài viết đã giải đáp được thắc mắc “Tác nhân gây bệnh sốt rét là gì?”. Thực hiện các biện pháp phòng chống bệnh sốt rét để bảo vệ sức khỏe bạn và người thân là rất cần thiết. Đừng quên nhấn theo dõi Nhà thuốc Long Châu để theo dõi những bài viết sức khỏe bổ ích.
Xem thêm:
Dược sĩ Đại học Nguyễn Tuấn Trịnh
Từng làm ở Viện ISDS, nhiều năm cộng tác với CDC Thái Nguyên triển khai dự án phòng chống HIV/AIDS, 2 năm cộng tác với WHO.