33 năm kinh nghiệm làm việc trong lĩnh vực tiêm chủng, bao gồm 21 năm quản lý. Từng đảm nhiệm vị trí Bác sĩ Trưởng tại Trạm Y tế xã Phan, Tây Ninh trước khi giữ vai trò Bác sĩ Trưởng tại Trung tâm Tiêm chủng Long Châu.
:format(webp)/hoi_chung_silver_russel2_d5080d249f.png)
:format(webp)/hoi_chung_silver_russel2_d5080d249f.png)
Bảo Quyên
09/09/2025
Bác sĩ Chuyên khoa 1Nguyễn Thị Nhiên
33 năm kinh nghiệm làm việc trong lĩnh vực tiêm chủng, bao gồm 21 năm quản lý. Từng đảm nhiệm vị trí Bác sĩ Trưởng tại Trạm Y tế xã Phan, Tây Ninh trước khi giữ vai trò Bác sĩ Trưởng tại Trung tâm Tiêm chủng Long Châu.
Hội chứng Silver - Russell là một rối loạn tăng trưởng di truyền hiếm gặp. Các triệu chứng bao gồm cân nặng khi sinh thấp và một số bất thường về thể chất. Tình trạng này được cho là do những thay đổi ở các gen kiểm soát sự tăng trưởng. Chẩn đoán hội chứng dựa trên khám lâm sàng và xét nghiệm di truyền.
Hội chứng Silver - Russell ban đầu được Silver và các đồng nghiệp mô tả vào năm 1953, và sau đó là Russell vào năm 1954. Hội chứng Silver - Russell đặc trưng bởi sự chậm phát triển của trẻ trong tử cung và sau khi sinh.
Trẻ mắc bệnh này có cân nặng khi sinh thấp và thường không tăng trưởng, tăng cân như mong đợi. Tuy nhiên, sự phát triển đầu là bình thường, do đó đầu sẽ to bất thường so với cơ thể. Trẻ mắc hội chứng Silver - Russell gầy gò, kém ăn, một số trẻ có các đợt hạ đường huyết do khó ăn uống. Người lớn mắc hội chứng Silver - Russell có chiều cao trung bình thấp (khoảng 151cm ở nam và 140cm ở nữ).
Đặc điểm chung của nhiều trẻ mắc hội chứng Silver - Russell là khuôn mặt nhỏ, hình tam giác, trán nổi bật, cằm hẹp, hàm nhỏ và khóe miệng trễ xuống. Các bất thường các có thể liên quan như bất thường hệ tiêu hóa, các vấn đề về ngôn ngữ cũng như khuyết tật học tập.
:format(webp)/TUCHI_HOICHUNGSILVER_RUSSEL_CAROUSEL_240711_1_V1_e1d69375a3.jpg)
:format(webp)/TUCHI_HOICHUNGSILVER_RUSSEL_CAROUSEL_240711_2_V1_1f26435b39.jpg)
:format(webp)/TUCHI_HOICHUNGSILVER_RUSSEL_CAROUSEL_240711_3_V1_c90b71da46.jpg)
:format(webp)/TUCHI_HOICHUNGSILVER_RUSSEL_CAROUSEL_240711_4_V1_880f30c712.jpg)
:format(webp)/TUCHI_HOICHUNGSILVER_RUSSEL_CAROUSEL_240711_5_V1_9bf9c82c97.jpg)
:format(webp)/TUCHI_HOICHUNGSILVER_RUSSEL_CAROUSEL_240711_6_V1_d4854b06eb.jpg)
:format(webp)/TUCHI_HOICHUNGSILVER_RUSSEL_CAROUSEL_240711_7_V1_8ec94a20d3.jpg)
:format(webp)/TUCHI_HOICHUNGSILVER_RUSSEL_CAROUSEL_240711_8_V1_f9d231faa4.jpg)
:format(webp)/TUCHI_HOICHUNGSILVER_RUSSEL_CAROUSEL_240711_1_V1_e1d69375a3.jpg)
:format(webp)/TUCHI_HOICHUNGSILVER_RUSSEL_CAROUSEL_240711_2_V1_1f26435b39.jpg)
:format(webp)/TUCHI_HOICHUNGSILVER_RUSSEL_CAROUSEL_240711_3_V1_c90b71da46.jpg)
:format(webp)/TUCHI_HOICHUNGSILVER_RUSSEL_CAROUSEL_240711_4_V1_880f30c712.jpg)
:format(webp)/TUCHI_HOICHUNGSILVER_RUSSEL_CAROUSEL_240711_5_V1_9bf9c82c97.jpg)
:format(webp)/TUCHI_HOICHUNGSILVER_RUSSEL_CAROUSEL_240711_6_V1_d4854b06eb.jpg)
:format(webp)/TUCHI_HOICHUNGSILVER_RUSSEL_CAROUSEL_240711_7_V1_8ec94a20d3.jpg)
:format(webp)/TUCHI_HOICHUNGSILVER_RUSSEL_CAROUSEL_240711_8_V1_f9d231faa4.jpg)
Các dấu hiệu và triệu chứng của hội chứng Silver - Russell rất khác nhau ở mỗi trẻ. Tình trạng này có thể ảnh hưởng đến nhiều bộ phận khác nhau trên cơ thể trẻ. Các dấu hiệu phổ biến của tình trạng này có thể bao gồm:

Do các ảnh hưởng về thể chất của hội chứng Silver - Russell, trẻ có thể gặp nhiều biến chứng khác nhau về sức khỏe, có thể bao gồm:
Người lớn mắc hội chứng Silver - Russell thường có vóc dáng thấp bé. Ngoài ra, họ cũng có thể mắc các biến chứng gồm:
Hội chứng Silver - Russell là tình trạng kéo dài suốt đời nhưng triển vọng chung là tích cực nếu được chẩn đoán và quản lý điều trị phù hợp. Bạn nên đưa trẻ đến gặp bác sĩ nhi khoa đúng hẹn vào các đợt tái khám để theo dõi sự tăng trưởng và phát triển của trẻ, hoặc khi phát hiện các dấu hiệu bất thường nghi ngờ hội chứng Silver - Russell. Trẻ có thể cần chăm sóc y tế ngay lập tức và theo dõi lâu dài nếu được chẩn đoán hội chứng Silver - Russell, việc điều trị sớm và thành công sẽ giúp trẻ có tuổi thọ bình thường.
Nguyên nhân di truyền của hội chứng Silver - Russell rất phức tạp. Rối loạn này là kết quả của bất thường một số gen kiểm soát sự tăng trưởng. Nghiên cứu đã tập trung vào các gen nằm ở các vùng cụ thể của nhiễm sắc thể số 7 và số 11. Tỷ lệ số người mắc bệnh có liên quan đến sự thay đổi di truyền ở nhiễm sắc thể số 7 và 11 là 60%.

Trong khi đó, 40% còn lại được chẩn đoán hội chứng Silver - Russell mà không tìm thấy nguyên nhân di truyền. Có khả năng có các thay đổi gen liên quan ngoài nhiễm sắc thể số 7 và số 11. Các nhà nghiên cứu vẫn đang tiếp tục nghiên cứu những thay đổi di truyền khác có thể dẫn đến hội chứng Silver - Russell.
Hội chứng Silver - Russell là một tình trạng di truyền có thể ảnh hưởng đến bất kỳ đứa trẻ nào. Rối loạn ảnh hưởng trên bé trai và bé gái như nhau. Đây là một bệnh lý vô cùng hiếm, tỷ lệ mắc chính xác của hội chứng Silver - Russell ước tính khoảng 1 trường hợp mắc trên 30.000 đến 100.000 ca sinh.
Hội chứng Silver - Russell cũng có thể di truyền ở trong gia đình. Di truyền có thể thuộc kiểu di truyền trội hoặc di truyền lặn trên nhiễm sắc thể thường.
Hội chứng Silver - Russell là kết quả của sự thay đổi di truyền và không có cách nào để ngăn ngừa tình trạng này. Nếu bạn dự định mang thai và muốn hiểu nguy cơ sinh con có mắc bệnh di truyền hay không, hãy đến gặp bác sĩ để được tư vấn hoặc làm các xét nghiệm di truyền nếu cần thiết.
Một số tình trạng bất thường có thể liên quan đến hội chứng Silver - Russell, chủ yếu là ở nữ giới như dậy thì sớm, phát triển sớm các đặc điểm sinh dục thứ cấp và niêm mạc âm đạo trưởng thành sớm trong khi không có sự phù hợp giữa tuổi xương và tuổi thực, nhưng khả năng sinh sản thường không bị ảnh hưởng.
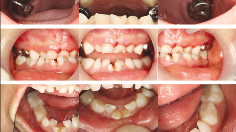
Để điều trị các triệu chứng về răng cho trẻ khi mắc hội chứng Silver - Russell, có thể cần đến nhiều thủ thuật nha khoa khác nhau, chẳng hạn như niềng răng hoặc phẫu thuật răng miệng.
Hỏi đáp (0 bình luận)