Từng làm ở Viện ISDS, nhiều năm cộng tác với CDC Thái Nguyên triển khai dự án phòng chống HIV/AIDS, 2 năm cộng tác với WHO.
Thu Trang
19/04/2024
Mặc định
Lớn hơn
Phương pháp chụp CT thận ứ nước giúp các bác sĩ chẩn đoán các bệnh lý liên quan đến thận. Vậy khi nào người bệnh cần chụp CT thận ứ nước?
Thận là một trong những bộ phận quan trọng nhất của cơ thể con người. Nó góp phần to lớn vào quá trình đào thải độc tố ra khỏi cơ thể. Vì vậy, ngay khi phát hiện các dấu hiệu bất thường liên quan đến cơ quan này, các bác sĩ sẽ chỉ định bệnh nhân chụp CT thận ứ nước. Phương pháp này là gì? Khi nào cần thực hiện? Quy trình thực hiện được diễn ra như thế nào?
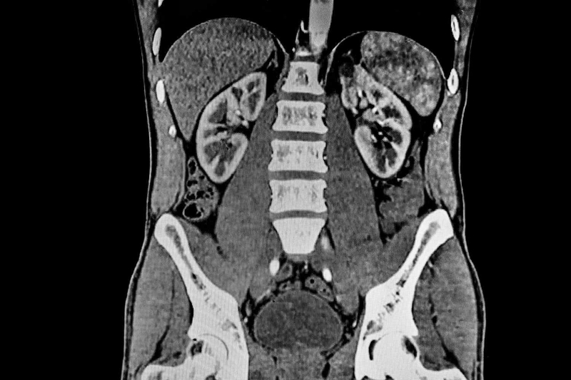
Chụp CT thận ứ nước là kỹ thuật chẩn đoán bệnh thông qua hình ảnh. Bằng cách chụp lại tình trạng của hai quả thận, đài thận, cuống thận và xương thận, các bác sĩ có thể phát hiện kịp thời dấu hiệu hệ thống thoát nước bị giãn nở bất thường. Nguyên nhân là do chức năng lọc máu của thận bị suy giảm, nước tiểu đọng lại bên trong thận gây tắc nghẽn đường tiết niệu.
Hầu hết các căn bệnh cần được chẩn đoán bằng phương pháp chụp CT thận ứ nước phổ biến nhất là: Sỏi thận, phì đại tuyến tiền liệt,... Ngoài ra, chụp CT thận cũng có thể báo hiệu nhiều bệnh lý nguy hiểm khác như: Xơ hóa sau phúc mạc, các khối u ác tính phát triển ở vùng chậu,...

Nhiều nghiên cứu đã chỉ ra rằng, kỹ thuật chụp cắt lớp vi tính cho độ nhạy khoảng 84.8%, độ đặc hiệu ở mức 70.8%. Nếu tình trạng thận bị ứ nước bắt nguồn từ sự tắc nghẽn đường tiết niệu, hình ảnh chụp CT sẽ xuất hiện các đặc điểm sau:
Ngoài ra, nếu thận ứ nước nhưng không tắc nghẽn có thể là biểu hiện cho thấy bệnh nhân bị thận ứ nước do mang thai, bẩm sinh hoặc nhiễm trùng thận,...
Thông thường, chụp CT thận ứ nước được sử dụng để chẩn đoán bệnh sỏi thận. Do đó, người bệnh cần thực hiện phương pháp này trong các trường hợp sau:

Phương pháp CT thận ứ nước được đánh giá là an toàn đối với sức khoẻ của người bệnh. Tuy nhiên, nếu thuộc vào một trong số các nhóm đối tượng sau, bạn cần hết sức lưu ý trước khi chụp CT thận ứ nước:
Quy trình chụp CT thận ứ nước được tiến hành qua 3 giai đoạn: chuẩn bị, thực hiện và sau khi chụp cắt lớp. Cụ thể:
Trước khi tiến hành, bệnh nhân sẽ được thăm khám lâm sàng. Bệnh nhân đang mang thai cần thông báo kỹ càng với bác sĩ.
Về trang phục, người bệnh được yêu cầu thay áo choàng chuyên dụng. Đồng thời, tháo bỏ toàn bộ trang sức và vật dụng kim loại ra khỏi cơ thể.
Chế độ dinh dưỡng của người bệnh trước khi chụp CT thận ứ nước không cần kiêng bất cứ loại thức ăn gì. Tuy nhiên, bạn cần nhịn ăn trong khoảng 3 giờ trước khi chụp. Nếu đang sử dụng thuốc điều trị bệnh, đặc biệt là bệnh tiểu đường, bạn cũng cần báo cáo với bác sĩ.

Quá trình chụp CT thận ứ nước đòi hỏi bác sĩ và nhân viên y tế lên kế hoạch và tuân thủ một cách nghiêm túc. Các bước chụp CT cơ bản có thể kể đến là:
Người bệnh tiếp tục di chuyển vào phòng chờ để theo dõi các tác dụng phụ sau khi chụp CT cắt lớp. Tình trạng ngứa, sưng, phát ban hoặc khó thở,... có thể là dấu hiệu cảnh báo người bệnh bị nhiễm trùng. Nếu sức khoẻ ở mức ổn định, bệnh nhân có thể ra về ngay và tiếp tục chế độ ăn uống, cũng như sinh hoạt hàng ngày một cách bình thường.
Mức giá chụp CT thận ứ nước thường có sự chênh lệch nhất định ở các cơ sở y tế khác nhau. Ở hầu hết các bệnh viện, giá chụp CT thận sẽ dao động trong khoảng 700.000 – 1.500.000 đồng. Bên cạnh đó, sự khác biệt về mức giá còn phụ thuộc vào nhiều yếu tố như: Việc sử dụng thuốc tương phản, thế hệ máy, số lát cắt CT, chất lượng dịch vụ của bệnh viện, cơ sở vật chất, kinh nghiệm chuyên môn của bác sĩ,...

Trên đây là những thông tin cơ bản nhất liên quan đến kỹ thuật chụp CT thận ứ nước. Nếu phát hiện bản thân gặp phải các dấu hiệu liên quan đến bệnh lý về thận, bạn cần thăm khám kịp thời để được chẩn đoán và chữa trị theo phương pháp phù hợp nhé!
Xem thêm:
Dược sĩ Đại học Nguyễn Tuấn Trịnh
Từng làm ở Viện ISDS, nhiều năm cộng tác với CDC Thái Nguyên triển khai dự án phòng chống HIV/AIDS, 2 năm cộng tác với WHO.