Dược sĩ chuyên ngành Dược lâm sàng, với nhiều năm kinh nghiệm làm việc trong lĩnh vực dược phẩm. Là Dược sĩ Long Châu đạt được chứng chỉ bệnh học cấp quốc tế. Hiện đang là giảng viên tại Trung tâm Đào tạo FPT Long Châu.
Kim Toàn
12/06/2024
Mặc định
Lớn hơn
Bạn đã bao giờ tự hỏi cơ thể mình làm thế nào để hạ nhiệt khi trời nóng hoặc sau khi tập luyện? Câu trả lời chính là nhờ tuyến mồ hôi dưới da. Bài viết này sẽ giúp bạn hiểu rõ hơn về vai trò, cấu tạo và một số bệnh lý liên quan đến tuyến mồ hôi dưới da, một bộ phận quan trọng nhưng thường ít được quan tâm.
Tuyến mồ hôi dưới da, một bộ phận tưởng chừng nhỏ bé nhưng lại đóng vai trò vô cùng quan trọng trong việc duy trì sự cân bằng cho cơ thể. Bài viết này của Long Châu sẽ đưa bạn đi sâu vào khám phá cấu tạo, chức năng, cũng như những vấn đề thường gặp liên quan đến tuyến mồ hôi dưới da.
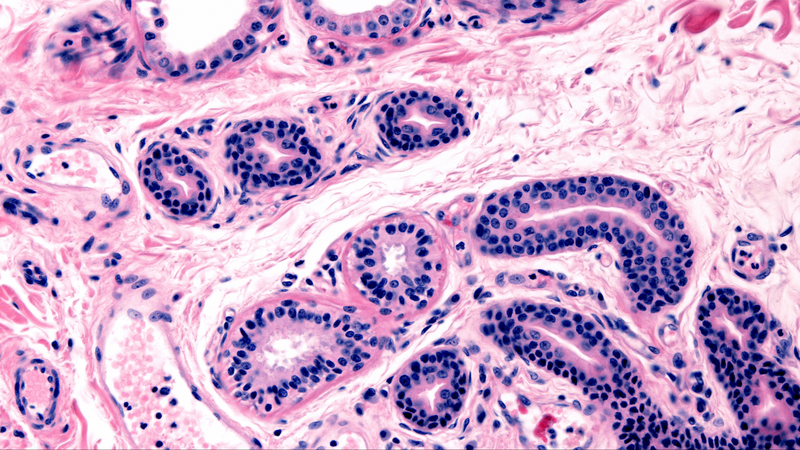
Tuyến mồ hôi dưới da là tuyến mồ hôi nằm dưới da. Chúng có ở khắp nơi trên cơ thể, nhưng nhiều nhất ở lòng bàn tay, lòng bàn chân, nách và bẹn. Cấu tạo của tuyến mồ hôi dưới da bao gồm:
Tuyến mồ hôi dưới da được chi phối bởi hệ thần kinh giao cảm. Khi hệ thần kinh giao cảm được kích hoạt, nó sẽ gửi tín hiệu đến tuyến mồ hôi ngoại tiết để tiết mồ hôi.

Tuyến mồ hôi dưới da đóng vai trò quan trọng trong việc điều hòa thân nhiệt và giúp cơ thể hoạt động hiệu quả. Dưới đây là một số chức năng chính của tuyến mồ hôi dưới da.
Tuyến mồ hôi dưới da đóng góp một phần vào quá trình đào thải độc tố của cơ thể. Mồ hôi chứa một số chất thải và độc tố được bài tiết ra khỏi cơ thể, giúp thanh lọc cơ thể và bảo vệ sức khỏe. Để tối ưu hóa chức năng đào thải của tuyến mồ hôi, cần chú trọng vào việc uống đủ nước, chế độ ăn uống lành mạnh, tập thể dục thường xuyên và giảm căng thẳng.
Tuyến mồ hôi dưới da đóng vai trò quan trọng trong việc giữ ẩm và bảo vệ da. Mồ hôi tạo ra một lớp axit nhẹ trên da, giúp bảo vệ da khỏi vi khuẩn và các tác nhân gây hại khác. Cần chú trọng vào việc giữ cho da đủ nước, sử dụng kem dưỡng ẩm và bảo vệ da khỏi ánh nắng mặt trời để tối ưu hóa chức năng của tuyến mồ hôi và duy trì làn da khỏe mạnh.
Tuyến mồ hôi dưới da đóng vai trò quan trọng trong việc giúp cơ thể vận động hiệu quả. Khi vận động, cơ thể sản sinh nhiều nhiệt lượng. Tuyến mồ hôi dưới da tiết ra mồ hôi để giúp cơ thể hạ nhiệt, duy trì thể lực và giúp bạn vận động hiệu quả hơn. Cần chú trọng vào việc khởi động kỹ, bổ sung nước và điện giải đầy đủ, và mặc trang phục phù hợp để tối ưu hóa chức năng hỗ trợ vận động của tuyến mồ hôi.
Ngoài những chức năng chính trên, tuyến mồ hôi dưới da còn có thể tham gia vào một số chức năng khác như:

Tuyến mồ hôi có vai trò quan trọng đối với cơ thể. Do đó, cần lưu ý đến những bệnh lý thường gặp ở tuyến mồ hôi.
Tăng tiết mồ hôi là tình trạng đổ mồ hôi quá nhiều, bất thường so với mức bình thường, không liên quan đến hoạt động thể chất hay môi trường nóng. Tình trạng này có thể xảy ra ở một số vùng cơ thể nhất định (tăng tiết mồ hôi khu trú) hoặc toàn bộ cơ thể (tăng tiết mồ hôi toàn thể).
Nguyên nhân
Nguyên nhân của tăng tiết mồ hôi nguyên phát:
Nguyên nhân của tăng tiết mồ hôi thứ phát:
Biểu hiện
Một số biểu hiện của tăng giảm tiết mồ hôi: Đổ mồ hôi quá nhiều, bất thường, không liên quan đến hoạt động thể chất hay môi trường nóng. Mồ hôi có thể chảy thành giọt, thấm ướt quần áo. Có thể gây ra các vấn đề như hăm da, nấm da, lo âu, tự ti.
Dựa vào các triệu chứng, tiền sử bệnh lý, các loại thuốc đang sử dụng. Đồng thời khám lâm sàng để tìm kiếm các dấu hiệu của bệnh lý tiềm ẩn. Có thể thực hiện một số xét nghiệm như: Xét nghiệm máu, xét nghiệm chức năng tuyến giáp,...
Điều trị
Tùy thuộc vào nguyên nhân:
Chăm sóc tại nhà: Giữ vệ sinh cơ thể sạch sẽ, sử dụng lăn khử mùi, mặc quần áo thoáng mát, uống nhiều nước.
Tránh các yếu tố kích thích như caffeine, rượu bia, thức ăn cay nóng. Giảm căng thẳng, lo âu.
Duy trì lối sống lành mạnh: tập thể dục thường xuyên, ăn uống cân bằng. Tăng tiết mồ hôi có thể ảnh hưởng đến chất lượng cuộc sống của người bệnh. Hãy đi khám bác sĩ nếu bạn gặp những dấu hiệu trên để tìm kiếm nguyên nhân và điều trị phù hợp.

Giảm tiết mồ hôi là tình trạng cơ thể tiết ra ít mồ hôi hơn bình thường, có thể ảnh hưởng đến khả năng điều hòa thân nhiệt của cơ thể.
Nguyên nhân
Nguyên nhân dẫn đến giảm tiết mồ hôi có thể là:
Biểu hiện
Một số biểu hiện của giảm tiết mồ hồi như: Da khô, nóng; nhức đầu; chóng mặt; mệt mỏi; buồn nôn;... Dựa vào các triệu chứng, tiền sử bệnh lý, các loại thuốc đang sử dụng. Đồng thời khám lâm sàng để tìm kiếm các dấu hiệu của bệnh lý tiềm ẩn. Có thể thực hiện một số xét nghiệm như: xét nghiệm máu, xét nghiệm chức năng tuyến giáp,...
Điều trị
Tùy thuộc vào nguyên nhân:
Bổ sung nước: Uống nhiều nước để giúp cơ thể bù lại lượng nước mất đi.
Mặc quần áo thoáng mát: Giúp cơ thể hạ nhiệt.
Tránh môi trường nóng: Tránh xa các hoạt động khiến bạn đổ mồ hôi nhiều.
Giảm tiết mồ hôi gây ảnh hưởng đến chất lượng cuộc sống của bạn. Hãy đi khám bác sĩ để tìm hiểu nguyên nhân và có phương án điều trị thích hợp.
Viêm tuyến mồ hôi là tình trạng viêm nhiễm các tuyến mồ hôi, thường gặp ở nách, bẹn và háng. Tình trạng này có thể gây ra các triệu chứng như sưng tấy, đau đớn, mẩn đỏ và tiết mồ hôi bất thường.
Nguyên nhân
Nguyên nhân có thể do nhiễm trùng, tắc nghẽn tuyến mồ hôi, chấn thương, rối loạn tự miễn dịch,... Viêm tuyến mồ hôi có các biểu hiện như sưng tấy, đau, mẩn đỏ ở vùng da bị ảnh hưởng. Tiết mồ hôi bất thường, có thể có mồ hôi. Ở một số trường hợp nhiễm trùng nặng có thể gây sốt, ớn lạnh, mệt mỏi.
Bác sĩ sẽ chẩn đoán dựa vào các triệu chứng, tiền sử bệnh lý và các loại thuốc đang sử dụng. Khám lâm sàng để tìm kiếm các dấu hiệu của viêm nhiễm. Có thể thực hiện một số xét nghiệm như xét nghiệm máu, xét nghiệm mủ, xét nghiệm chẩn đoán hình ảnh.
Điều trị
Tùy thuộc vào nguyên nhân:
Điều trị tại nhà: Chườm ấm, giữ vệ sinh cơ thể sạch sẽ, sử dụng thuốc giảm đau không kê đơn.
Để phòng ngừa viêm tuyến mồ hôi bạn nên mặc quần áo rộng rãi, thoáng mát. Giữ vệ sinh cơ thể sạch sẽ. Sử dụng lăn khử mùi hoặc chất khử mùi không chứa thành phần gây kích ứng. Tránh cạo râu hoặc nhổ lông nách quá sát. Hình thành thói quen tập thể dục.

Như vậy, bài viết đã cung cấp cho bạn những thông tin cơ bản về tuyến mồ hôi dưới da, một bộ phận quan trọng đóng vai trò thiết yếu trong việc điều hòa thân nhiệt và bài tiết chất độc. Hy vọng những thông tin này sẽ giúp bạn hiểu rõ hơn về tầm quan trọng của việc chăm sóc và bảo vệ tuyến mồ hôi dưới.
Xem thêm:
Dược sĩ Đại họcPhạm Nguyễn Hoàng Kim
Dược sĩ chuyên ngành Dược lâm sàng, với nhiều năm kinh nghiệm làm việc trong lĩnh vực dược phẩm. Là Dược sĩ Long Châu đạt được chứng chỉ bệnh học cấp quốc tế. Hiện đang là giảng viên tại Trung tâm Đào tạo FPT Long Châu.